Heterotopic pancreas of the gallbladder: A case report of a rare and commonly incidental finding.

IF 1.7 Q4 GASTROENTEROLOGY & HEPATOLOGY
Annals of hepato-biliary-pancreatic surgery Pub Date : 2025-05-31 Epub Date: 2025-01-13 DOI:10.14701/ahbps.24-190
Nelson Chen, Jessica Gu
{"title":"Heterotopic pancreas of the gallbladder: A case report of a rare and commonly incidental finding.","authors":"Nelson Chen, Jessica Gu","doi":"10.14701/ahbps.24-190","DOIUrl":null,"url":null,"abstract":"<p><p>Heterotopic pancreas (HP) refers to the presence of ectopic pancreatic tissue located outside of the normal pancreatic location without anatomical or vascular continuity with the pancreas. HP within the gallbladder (HPGB) was first described by Otschkin in 1916. It remains an exceedingly rare pathology with few reported cases. Here we describe a case of HPGB in a 42-year-old female following laparoscopic cholecystectomy for symptoms of biliary colic. She presented with epigastric pain, elevated levels in liver function tests, and gallbladder sludge on ultrasound. Her lipase and bilirubin levels were within normal limits. Histopathological assessment of the gallbladder identified mild chronic cholecystitis and pancreatic heterotopia adjacent to the cystic duct of the gallbladder with all three elements (ducts, acini, and endocrine islets) of the pancreas, consistent with type 1 based on the classification of Gaspar Fuentes et al. HPGB is often diagnosed incidentally during histopathological examination after cholecystectomy. Preoperative diagnosis is challenging due to its rarity. It is thought to be asymptomatic. Although the clinical significance of HPGB remains uncertain, it has been hypothesized that HPGB can cause acalculous cholecystitis and also have the potential for malignant transformation. Our case supports the theory that the exocrine function of an ectopic pancreatic tissue may contribute to chronic inflammation in the gallbladder. In conclusion, although HPGB is a rare finding with unclear clinical relevance, its potential for malignancy and association with cholecystitis warrant further investigation. Given its scarcity, most knowledge about HPGB comes from case reports and case series. This report adds to the existing literature.</p>","PeriodicalId":72220,"journal":{"name":"Annals of hepato-biliary-pancreatic surgery","volume":" ","pages":"205-208"},"PeriodicalIF":1.7000,"publicationDate":"2025-05-31","publicationTypes":"Journal Article","fieldsOfStudy":null,"isOpenAccess":false,"openAccessPdf":"https://www.ncbi.nlm.nih.gov/pmc/articles/PMC12093241/pdf/","citationCount":"0","resultStr":null,"platform":"Semanticscholar","paperid":null,"PeriodicalName":"Annals of hepato-biliary-pancreatic surgery","FirstCategoryId":"1085","ListUrlMain":"https://doi.org/10.14701/ahbps.24-190","RegionNum":0,"RegionCategory":null,"ArticlePicture":[],"TitleCN":null,"AbstractTextCN":null,"PMCID":null,"EPubDate":"2025/1/13 0:00:00","PubModel":"Epub","JCR":"Q4","JCRName":"GASTROENTEROLOGY & HEPATOLOGY","Score":null,"Total":0}
引用次数: 0

Abstract

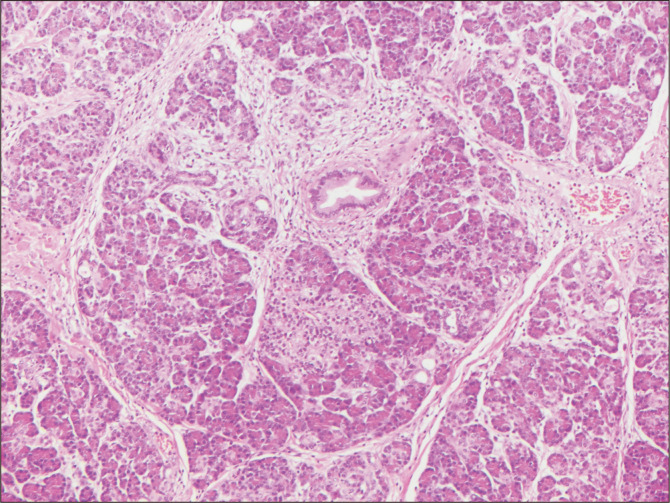
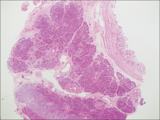
Heterotopic pancreas (HP) refers to the presence of ectopic pancreatic tissue located outside of the normal pancreatic location without anatomical or vascular continuity with the pancreas. HP within the gallbladder (HPGB) was first described by Otschkin in 1916. It remains an exceedingly rare pathology with few reported cases. Here we describe a case of HPGB in a 42-year-old female following laparoscopic cholecystectomy for symptoms of biliary colic. She presented with epigastric pain, elevated levels in liver function tests, and gallbladder sludge on ultrasound. Her lipase and bilirubin levels were within normal limits. Histopathological assessment of the gallbladder identified mild chronic cholecystitis and pancreatic heterotopia adjacent to the cystic duct of the gallbladder with all three elements (ducts, acini, and endocrine islets) of the pancreas, consistent with type 1 based on the classification of Gaspar Fuentes et al. HPGB is often diagnosed incidentally during histopathological examination after cholecystectomy. Preoperative diagnosis is challenging due to its rarity. It is thought to be asymptomatic. Although the clinical significance of HPGB remains uncertain, it has been hypothesized that HPGB can cause acalculous cholecystitis and also have the potential for malignant transformation. Our case supports the theory that the exocrine function of an ectopic pancreatic tissue may contribute to chronic inflammation in the gallbladder. In conclusion, although HPGB is a rare finding with unclear clinical relevance, its potential for malignancy and association with cholecystitis warrant further investigation. Given its scarcity, most knowledge about HPGB comes from case reports and case series. This report adds to the existing literature.

Abstract Image

Abstract Image

胆囊异位胰腺:一个罕见的和通常偶然发现的病例报告。
异位胰腺(HP)是指位于正常胰腺位置之外的异位胰腺组织与胰腺没有解剖或血管连续性。1916年,Otschkin首次描述了胆囊内HP (HPGB)。它仍然是一种极其罕见的病理,报告的病例很少。我们在此报告一例42岁女性因胆绞痛症状行腹腔镜胆囊切除术后的HPGB病例。她表现为胃脘痛,肝功能检查水平升高,超声显示胆囊淤积。她的脂肪酶和胆红素水平在正常范围内。胆囊的组织病理学评估发现轻度慢性胆囊炎和胆囊胆囊管附近的胰腺异位,并伴有胰腺的所有三种成分(导管、腺泡和内分泌胰岛),根据Gaspar Fuentes等人的分类,符合1型。HPGB常在胆囊切除术后的组织病理学检查中偶然发现。由于罕见,术前诊断具有挑战性。它被认为是无症状的。虽然HPGB的临床意义尚不确定,但已有假设HPGB可引起无结石性胆囊炎,也有恶性转化的可能。本病例支持异位胰腺组织的外分泌功能可能导致胆囊慢性炎症的理论。总之,尽管HPGB是一种罕见的发现,临床相关性不明确,但其潜在的恶性肿瘤及其与胆囊炎的关系值得进一步研究。鉴于其稀缺性,大多数关于HPGB的知识来自病例报告和病例系列。这份报告补充了现有的文献。
本文章由计算机程序翻译,如有差异,请以英文原文为准。
求助全文
约1分钟内获得全文 求助全文
来源期刊
CiteScore
0.80
自引率
0.00%
发文量
0
×
引用
GB/T 7714-2015
复制
MLA
复制
APA
复制
导出至
BibTeX EndNote RefMan NoteFirst NoteExpress
×
提示
您的信息不完整,为了账户安全,请先补充。
现在去补充
×
提示
您因"违规操作"
具体请查看互助需知
我知道了
×
提示
确定
请完成安全验证×
copy
已复制链接
快去分享给好友吧!
我知道了
右上角分享
点击右上角分享
0
联系我们:info@booksci.cn Book学术提供免费学术资源搜索服务,方便国内外学者检索中英文文献。致力于提供最便捷和优质的服务体验。 Copyright © 2023 布克学术 All rights reserved.
京ICP备2023020795号-1
ghs 京公网安备 11010802042870号
Book学术文献互助
Book学术文献互助群
群 号:604180095
Book学术官方微信