Current advances in multimodal imaging in geographic atrophy secondary to age-related macular degeneration: A review.

IF 1.2 Q4 OPHTHALMOLOGY
Taiwan Journal of Ophthalmology Pub Date : 2024-11-06 eCollection Date: 2024-10-01 DOI:10.4103/tjo.TJO-D-24-00065
Amy C Cohn, Robyn H Guymer
{"title":"Current advances in multimodal imaging in geographic atrophy secondary to age-related macular degeneration: A review.","authors":"Amy C Cohn, Robyn H Guymer","doi":"10.4103/tjo.TJO-D-24-00065","DOIUrl":null,"url":null,"abstract":"<p><p>As we move toward an era in which there will be treatment options for geographic atrophy (GA) secondary to age-related macular degeneration, the need to accurately understand and interpret multimodal imaging (MMI) for the condition is paramount. This review discusses the evolution of MMI in GA and how it has led to a greater understanding of different phenotypes and risk factors for progression. These advancements have allowed novel imaging biomarkers to be used as end points in large interventional studies exploring new therapies for GA treatment. Due to differences in drug approval timing, ophthalmologists in some jurisdictions are already treating patients with complement inhibiting intravitreal therapies and using MMI to guide management. Cementing knowledge of how GA appears on MMI and evolves over time will be vital for best practice as these interventions become more widely available.</p>","PeriodicalId":44978,"journal":{"name":"Taiwan Journal of Ophthalmology","volume":"14 4","pages":"464-472"},"PeriodicalIF":1.2000,"publicationDate":"2024-11-06","publicationTypes":"Journal Article","fieldsOfStudy":null,"isOpenAccess":false,"openAccessPdf":"https://www.ncbi.nlm.nih.gov/pmc/articles/PMC11717336/pdf/","citationCount":"0","resultStr":null,"platform":"Semanticscholar","paperid":null,"PeriodicalName":"Taiwan Journal of Ophthalmology","FirstCategoryId":"1085","ListUrlMain":"https://doi.org/10.4103/tjo.TJO-D-24-00065","RegionNum":0,"RegionCategory":null,"ArticlePicture":[],"TitleCN":null,"AbstractTextCN":null,"PMCID":null,"EPubDate":"2024/10/1 0:00:00","PubModel":"eCollection","JCR":"Q4","JCRName":"OPHTHALMOLOGY","Score":null,"Total":0}
引用次数: 0

Abstract

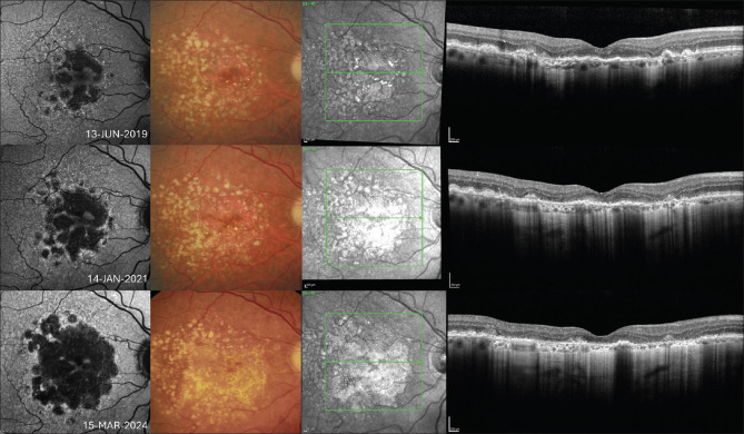
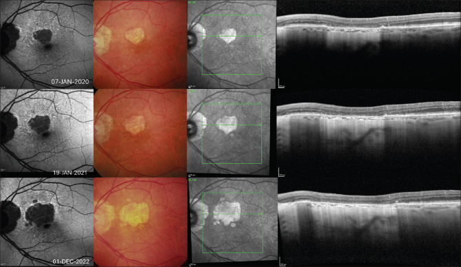
As we move toward an era in which there will be treatment options for geographic atrophy (GA) secondary to age-related macular degeneration, the need to accurately understand and interpret multimodal imaging (MMI) for the condition is paramount. This review discusses the evolution of MMI in GA and how it has led to a greater understanding of different phenotypes and risk factors for progression. These advancements have allowed novel imaging biomarkers to be used as end points in large interventional studies exploring new therapies for GA treatment. Due to differences in drug approval timing, ophthalmologists in some jurisdictions are already treating patients with complement inhibiting intravitreal therapies and using MMI to guide management. Cementing knowledge of how GA appears on MMI and evolves over time will be vital for best practice as these interventions become more widely available.

Abstract Image

Abstract Image

年龄相关性黄斑变性继发地理萎缩的多模态成像研究进展综述。
随着老年黄斑变性继发地理萎缩(GA)的治疗方案逐渐增多,准确理解和解释该病症的多模态成像(MMI)就显得尤为重要。这篇综述讨论了多模态成像(MMI)在老年性黄斑变性中的演变,以及它如何使人们对不同的表型和进展的风险因素有了更深入的了解。这些进展使得新型成像生物标志物在探索 GA 治疗新疗法的大型介入研究中被用作终点。由于药物审批时间的不同,一些地区的眼科医生已经在使用补体抑制玻璃体内疗法治疗患者,并使用 MMI 指导治疗。随着这些干预措施的普及,巩固有关 GA 如何在 MMI 上显现以及随着时间推移如何演变的知识对最佳实践至关重要。
本文章由计算机程序翻译,如有差异,请以英文原文为准。
求助全文
约1分钟内获得全文 求助全文
来源期刊
CiteScore
1.80
自引率
9.10%
发文量
68
审稿时长
19 weeks
×
引用
GB/T 7714-2015
复制
MLA
复制
APA
复制
导出至
BibTeX EndNote RefMan NoteFirst NoteExpress
×
提示
您的信息不完整,为了账户安全,请先补充。
现在去补充
×
提示
您因"违规操作"
具体请查看互助需知
我知道了
×
提示
确定
请完成安全验证×
copy
已复制链接
快去分享给好友吧!
我知道了
右上角分享
点击右上角分享
0
联系我们:info@booksci.cn Book学术提供免费学术资源搜索服务,方便国内外学者检索中英文文献。致力于提供最便捷和优质的服务体验。 Copyright © 2023 布克学术 All rights reserved.
京ICP备2023020795号-1
ghs 京公网安备 11010802042870号
Book学术文献互助
Book学术文献互助群
群 号:604180095
Book学术官方微信