Phenotype and genetic spectrum of six Indian patients with bestrophinopathy.

IF 1.2 Q4 OPHTHALMOLOGY
Taiwan Journal of Ophthalmology Pub Date : 2024-12-03 eCollection Date: 2024-10-01 DOI:10.4103/tjo.TJO-D-24-00080
Areeba Shakeel, Darshan M Bhatt, Lingam Gopal, Rajiv Raman, Chetan Rao, S Sripriya, Muna Bhende
{"title":"Phenotype and genetic spectrum of six Indian patients with bestrophinopathy.","authors":"Areeba Shakeel, Darshan M Bhatt, Lingam Gopal, Rajiv Raman, Chetan Rao, S Sripriya, Muna Bhende","doi":"10.4103/tjo.TJO-D-24-00080","DOIUrl":null,"url":null,"abstract":"<p><p>The aim of this study is to describe genotype and phenotype of patients with bestrophinopathy. The case records were reviewed retrospectively, findings of multimodal imaging such as color fundus photograph, optical coherence tomography (OCT), fundus autofluorescence, electrophysiological, and genetic tests were noted. Twelve eyes of six patients from distinct Indian families with molecular diagnosis were enrolled. Exon 4 of <i>BEST1</i> was mutated in 3 cases, while exons 2, 3, and 7 in others. Deletion is seen in Exon 7 and missense mutation in other exons. Sporadic autosomal dominant and recessive inheritance was observed in these families. Two patients had primary angle closure glaucoma with a history of consanguineous marriage and glaucoma in the family. Based on our findings, multifocal vitelliform subretinal deposits were the most common fundus finding in patients with autosomal recessive mutation while macular vitelliform lesion was seen with sporadic or autosomal dominant mutation; however, cosegregation analysis was not done. Baseline OCT showed macular and extramacular subretinal exudates, subretinal fluid, intraretinal cystic and schitic spaces, and thickened photoreceptors outer segment tips. Two patients developed abnormal vasculature and focal choroidal excavation in OCT. A severe reduction in the electro-oculogram Ardens ratio was noted while electroretinography was normal. Bestrophinopathy has a varied presentation with complex genotype-phenotype relationships. OCT is a noninvasive tool for monitoring and prognostication. Genetic testing of other family members should be facilitated.</p>","PeriodicalId":44978,"journal":{"name":"Taiwan Journal of Ophthalmology","volume":"14 4","pages":"602-608"},"PeriodicalIF":1.2000,"publicationDate":"2024-12-03","publicationTypes":"Journal Article","fieldsOfStudy":null,"isOpenAccess":false,"openAccessPdf":"https://www.ncbi.nlm.nih.gov/pmc/articles/PMC11717330/pdf/","citationCount":"0","resultStr":null,"platform":"Semanticscholar","paperid":null,"PeriodicalName":"Taiwan Journal of Ophthalmology","FirstCategoryId":"1085","ListUrlMain":"https://doi.org/10.4103/tjo.TJO-D-24-00080","RegionNum":0,"RegionCategory":null,"ArticlePicture":[],"TitleCN":null,"AbstractTextCN":null,"PMCID":null,"EPubDate":"2024/10/1 0:00:00","PubModel":"eCollection","JCR":"Q4","JCRName":"OPHTHALMOLOGY","Score":null,"Total":0}
引用次数: 0

Abstract

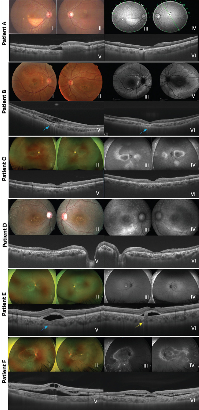
The aim of this study is to describe genotype and phenotype of patients with bestrophinopathy. The case records were reviewed retrospectively, findings of multimodal imaging such as color fundus photograph, optical coherence tomography (OCT), fundus autofluorescence, electrophysiological, and genetic tests were noted. Twelve eyes of six patients from distinct Indian families with molecular diagnosis were enrolled. Exon 4 of BEST1 was mutated in 3 cases, while exons 2, 3, and 7 in others. Deletion is seen in Exon 7 and missense mutation in other exons. Sporadic autosomal dominant and recessive inheritance was observed in these families. Two patients had primary angle closure glaucoma with a history of consanguineous marriage and glaucoma in the family. Based on our findings, multifocal vitelliform subretinal deposits were the most common fundus finding in patients with autosomal recessive mutation while macular vitelliform lesion was seen with sporadic or autosomal dominant mutation; however, cosegregation analysis was not done. Baseline OCT showed macular and extramacular subretinal exudates, subretinal fluid, intraretinal cystic and schitic spaces, and thickened photoreceptors outer segment tips. Two patients developed abnormal vasculature and focal choroidal excavation in OCT. A severe reduction in the electro-oculogram Ardens ratio was noted while electroretinography was normal. Bestrophinopathy has a varied presentation with complex genotype-phenotype relationships. OCT is a noninvasive tool for monitoring and prognostication. Genetic testing of other family members should be facilitated.

Abstract Image

Abstract Image

6例印度性视病患者的表型和遗传谱分析。
本研究的目的是描述基因型和表现型的患者与异性恋。我们回顾了病例记录,并记录了眼底彩色照片、光学相干断层扫描(OCT)、眼底自身荧光、电生理和基因检测等多模态成像结果。来自不同印度家庭的6名患者的12只眼睛被纳入分子诊断。3例BEST1外显子4突变,2、3、7外显子突变。外显子7缺失,其他外显子错义突变。这些家族中存在散发性常染色体显性遗传和隐性遗传。2例原发性闭角型青光眼,有近亲结婚史,家族有青光眼病史。根据我们的研究结果,在常染色体隐性突变的患者中,多灶性卵黄样视网膜下沉积是最常见的眼底发现,而黄斑卵黄样病变见于散发性或常染色体显性突变;但未进行共分离分析。基线OCT显示黄斑和黄斑外视网膜下渗出物,视网膜下积液,视网膜内囊状和裂片状间隙,光感受器外节尖端增厚。两例患者在10月出现血管异常和局灶性脉络膜挖掘。眼电图arden比值严重降低,而视网膜电图正常。Bestrophinopathy具有多种表现形式,具有复杂的基因型-表型关系。OCT是一种无创的监测和预测工具。应便利对其他家庭成员进行基因检测。
本文章由计算机程序翻译,如有差异,请以英文原文为准。
求助全文
约1分钟内获得全文 求助全文
来源期刊
CiteScore
1.80
自引率
9.10%
发文量
68
审稿时长
19 weeks
×
引用
GB/T 7714-2015
复制
MLA
复制
APA
复制
导出至
BibTeX EndNote RefMan NoteFirst NoteExpress
×
提示
您的信息不完整,为了账户安全,请先补充。
现在去补充
×
提示
您因"违规操作"
具体请查看互助需知
我知道了
×
提示
确定
请完成安全验证×
copy
已复制链接
快去分享给好友吧!
我知道了
右上角分享
点击右上角分享
0
联系我们:info@booksci.cn Book学术提供免费学术资源搜索服务,方便国内外学者检索中英文文献。致力于提供最便捷和优质的服务体验。 Copyright © 2023 布克学术 All rights reserved.
京ICP备2023020795号-1
ghs 京公网安备 11010802042870号
Book学术文献互助
Book学术文献互助群
群 号:604180095
Book学术官方微信