Seminal vesicle schwannoma with chronic hemorrhage.

IF 1.3 4区 医学 Q4 CLINICAL NEUROLOGY
Ting Li, Yong-Fang Zhang, Zhou-Liang Yang, Zhuo-Peng Ying
{"title":"Seminal vesicle schwannoma with chronic hemorrhage.","authors":"Ting Li, Yong-Fang Zhang, Zhou-Liang Yang, Zhuo-Peng Ying","doi":"10.17712/nsj.2025.1.20240073","DOIUrl":null,"url":null,"abstract":"<p><p>Schwannomas are benign tumors originating from Schwann cells, with seminal vesicle schwannomas being exceedingly rare. This report describes a 54-year-old man with an incidental discovery of a right-sided seminal vesicle mass during a routine ultrasound examination. Further imaging, including MRI and contrast-enhanced CT scans, revealed a well-defined, encapsulated mass with heterogeneous signal intensity suggestive of schwannoma. Histopathological examination confirmed schwannoma, marked by positive S-100 and NSE expression and a Ki67 index of 5%. The patient underwent successful laparoscopic resection without complications and remained asymptomatic for over a month. This case underscores the importance of integrating MRI and histopathological findings to accurately diagnose seminal vesicle schwannomas and guide appropriate surgical management, highlighting the need for increased clinician awareness of this rare tumor.</p>","PeriodicalId":19284,"journal":{"name":"Neurosciences","volume":"30 1","pages":"59-63"},"PeriodicalIF":1.3000,"publicationDate":"2025-01-01","publicationTypes":"Journal Article","fieldsOfStudy":null,"isOpenAccess":false,"openAccessPdf":"https://www.ncbi.nlm.nih.gov/pmc/articles/PMC11753593/pdf/","citationCount":"0","resultStr":null,"platform":"Semanticscholar","paperid":null,"PeriodicalName":"Neurosciences","FirstCategoryId":"3","ListUrlMain":"https://doi.org/10.17712/nsj.2025.1.20240073","RegionNum":4,"RegionCategory":"医学","ArticlePicture":[],"TitleCN":null,"AbstractTextCN":null,"PMCID":null,"EPubDate":"","PubModel":"","JCR":"Q4","JCRName":"CLINICAL NEUROLOGY","Score":null,"Total":0}
引用次数: 0

Abstract

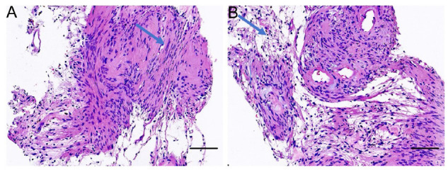
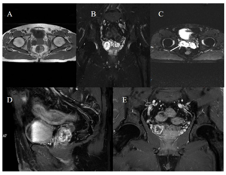
Schwannomas are benign tumors originating from Schwann cells, with seminal vesicle schwannomas being exceedingly rare. This report describes a 54-year-old man with an incidental discovery of a right-sided seminal vesicle mass during a routine ultrasound examination. Further imaging, including MRI and contrast-enhanced CT scans, revealed a well-defined, encapsulated mass with heterogeneous signal intensity suggestive of schwannoma. Histopathological examination confirmed schwannoma, marked by positive S-100 and NSE expression and a Ki67 index of 5%. The patient underwent successful laparoscopic resection without complications and remained asymptomatic for over a month. This case underscores the importance of integrating MRI and histopathological findings to accurately diagnose seminal vesicle schwannomas and guide appropriate surgical management, highlighting the need for increased clinician awareness of this rare tumor.

Abstract Image

Abstract Image

Abstract Image

精囊神经鞘瘤伴慢性出血。
许旺瘤是起源于许旺细胞的良性肿瘤,其中精囊许旺瘤极为罕见。本报告描述了一名 54 岁男子在常规超声检查中意外发现右侧精囊肿块。进一步的影像学检查,包括核磁共振成像和对比增强 CT 扫描,发现了一个界限清晰、包裹性肿块,信号强度不均,提示为分裂瘤。组织病理学检查证实为分裂瘤,S-100 和 NSE 表达阳性,Ki67 指数为 5%。患者成功接受了腹腔镜切除术,无并发症,一个多月后仍无症状。该病例强调了综合磁共振成像和组织病理学检查结果来准确诊断精囊分裂瘤并指导适当手术治疗的重要性,突出了临床医生提高对这种罕见肿瘤认识的必要性。
本文章由计算机程序翻译,如有差异,请以英文原文为准。
求助全文
约1分钟内获得全文 求助全文
来源期刊
Neurosciences
Neurosciences 医学-临床神经学
CiteScore
1.40
自引率
0.00%
发文量
54
审稿时长
4.5 months
期刊介绍: Neurosciences is an open access, peer-reviewed, quarterly publication. Authors are invited to submit for publication articles reporting original work related to the nervous system, e.g., neurology, neurophysiology, neuroradiology, neurosurgery, neurorehabilitation, neurooncology, neuropsychiatry, and neurogenetics, etc. Basic research withclear clinical implications will also be considered. Review articles of current interest and high standard are welcomed for consideration. Prospective workshould not be backdated. There are also sections for Case Reports, Brief Communication, Correspondence, and medical news items. To promote continuous education, training, and learning, we include Clinical Images and MCQ’s. Highlights of international and regional meetings of interest, and specialized supplements will also be considered. All submissions must conform to the Uniform Requirements.
×
引用
GB/T 7714-2015
复制
MLA
复制
APA
复制
导出至
BibTeX EndNote RefMan NoteFirst NoteExpress
×
提示
您的信息不完整,为了账户安全,请先补充。
现在去补充
×
提示
您因"违规操作"
具体请查看互助需知
我知道了
×
提示
确定
请完成安全验证×
copy
已复制链接
快去分享给好友吧!
我知道了
右上角分享
点击右上角分享
0
联系我们:info@booksci.cn Book学术提供免费学术资源搜索服务,方便国内外学者检索中英文文献。致力于提供最便捷和优质的服务体验。 Copyright © 2023 布克学术 All rights reserved.
京ICP备2023020795号-1
ghs 京公网安备 11010802042870号
Book学术文献互助
Book学术文献互助群
群 号:604180095
Book学术官方微信