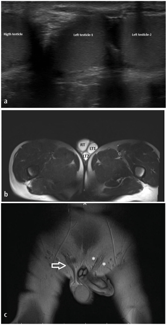
Supernumerary Testis (Polyorchidism)

IF 3.8 4区 医学 Q2 MEDICINE, GENERAL & INTERNAL
Balkan Medical Journal Pub Date : 2025-03-03 Epub Date: 2025-01-13 DOI:10.4274/balkanmedj.galenos.2024.2024-10-81
Şenay Bengin Ertem, Mustafa Reşorlu, Koray Öz
{"title":"Supernumerary Testis (Polyorchidism)","authors":"Şenay Bengin Ertem, Mustafa Reşorlu, Koray Öz","doi":"10.4274/balkanmedj.galenos.2024.2024-10-81","DOIUrl":null,"url":null,"abstract":"","PeriodicalId":8690,"journal":{"name":"Balkan Medical Journal","volume":" ","pages":"168-169"},"PeriodicalIF":3.8000,"publicationDate":"2025-03-03","publicationTypes":"Journal Article","fieldsOfStudy":null,"isOpenAccess":false,"openAccessPdf":"https://www.ncbi.nlm.nih.gov/pmc/articles/PMC11881549/pdf/","citationCount":"0","resultStr":null,"platform":"Semanticscholar","paperid":null,"PeriodicalName":"Balkan Medical Journal","FirstCategoryId":"3","ListUrlMain":"https://doi.org/10.4274/balkanmedj.galenos.2024.2024-10-81","RegionNum":4,"RegionCategory":"医学","ArticlePicture":[],"TitleCN":null,"AbstractTextCN":null,"PMCID":null,"EPubDate":"2025/1/13 0:00:00","PubModel":"Epub","JCR":"Q2","JCRName":"MEDICINE, GENERAL & INTERNAL","Score":null,"Total":0}
引用次数: 0

Abstract Image

多余睾丸(多精症)。
本文章由计算机程序翻译,如有差异,请以英文原文为准。
求助全文
约1分钟内获得全文 求助全文
来源期刊
Balkan Medical Journal
Balkan Medical Journal MEDICINE, GENERAL & INTERNAL-
CiteScore
4.10
自引率
6.70%
发文量
76
审稿时长
6-12 weeks
期刊介绍: The Balkan Medical Journal (Balkan Med J) is a peer-reviewed open-access international journal that publishes interesting clinical and experimental research conducted in all fields of medicine, interesting case reports and clinical images, invited reviews, editorials, letters, comments and letters to the Editor including reports on publication and research ethics. The journal is the official scientific publication of the Trakya University Faculty of Medicine, Edirne, Turkey and is printed six times a year, in January, March, May, July, September and November. The language of the journal is English. The journal is based on independent and unbiased double-blinded peer-reviewed principles. Only unpublished papers that are not under review for publication elsewhere can be submitted. Balkan Medical Journal does not accept multiple submission and duplicate submission even though the previous one was published in a different language. The authors are responsible for the scientific content of the material to be published. The Balkan Medical Journal reserves the right to request any research materials on which the paper is based. The Balkan Medical Journal encourages and enables academicians, researchers, specialists and primary care physicians of Balkan countries to publish their valuable research in all branches of medicine. The primary aim of the journal is to publish original articles with high scientific and ethical quality and serve as a good example of medical publications in the Balkans as well as in the World.
×
引用
GB/T 7714-2015
复制
MLA
复制
APA
复制
导出至
BibTeX EndNote RefMan NoteFirst NoteExpress
×
提示
您的信息不完整,为了账户安全,请先补充。
现在去补充
×
提示
您因"违规操作"
具体请查看互助需知
我知道了
×
提示
确定
请完成安全验证×
copy
已复制链接
快去分享给好友吧!
我知道了
右上角分享
点击右上角分享
0
联系我们:info@booksci.cn Book学术提供免费学术资源搜索服务,方便国内外学者检索中英文文献。致力于提供最便捷和优质的服务体验。 Copyright © 2023 布克学术 All rights reserved.
京ICP备2023020795号-1
ghs 京公网安备 11010802042870号
Book学术文献互助
Book学术文献互助群
群 号:604180095
Book学术官方微信