Endovascular interventions in cancer patients with compromise of the mediastinal vasculature: a review.

Mediastinum (Hong Kong, China) Pub Date : 2024-05-17 eCollection Date: 2024-01-01 DOI:10.21037/med-22-43
Steven Yevich, Nicolas Cardenas, Rahul Sheth, Joshua Kuban, Milan Patel, Ketan Shah, Koustav Pal, Stephen R Chen, Alda Tam
{"title":"Endovascular interventions in cancer patients with compromise of the mediastinal vasculature: a review.","authors":"Steven Yevich, Nicolas Cardenas, Rahul Sheth, Joshua Kuban, Milan Patel, Ketan Shah, Koustav Pal, Stephen R Chen, Alda Tam","doi":"10.21037/med-22-43","DOIUrl":null,"url":null,"abstract":"<p><p>The mediastinal vasculature can be affected by various etiologies in cancer patients. Both direct and indirect sequela of cancer may result in life-threatening clinical presentations. Tumor growth may cause vessel narrowing and decreased blood flow from either extrinsic mass effect, invasion into the vascular wall, or tumor thrombus within the lumen. In addition, cancer patients are predisposed to indirect sequela to the mediastinal vasculature from an increased risk of benign thromboembolic events, tumor thrombus, or iatrogenic complications during cancer treatments. Benign thrombus may result in partial or complete occlusion of the superior vena cava (SVC) or pulmonary artery. Vascular damage such as pseudoaneurysm or stricture may result from iatrogenic complications from radiation therapy, surgery, or other interventions. The clinical presentation of the vascular compromise is dictated by the vascular anatomical structure that is affected and the type of injury. In the appropriate clinical scenario, endovascular treatments may be pursued. These minimally invasive procedures include balloon venoplasty and angioplasty, stent placement, catheter-directed thrombolysis, embolectomy, and embolization. This review discusses the most common endovascular interventions for vascular compromise based on the great vessel affected: the SVC, pulmonary artery, pulmonary vein, bronchial arteries, or the aorta and supra-aortic arteries. Indications for treatment are discussed, with particular attention to disease etiology and clinical presentation.</p>","PeriodicalId":74139,"journal":{"name":"Mediastinum (Hong Kong, China)","volume":"8 ","pages":"45"},"PeriodicalIF":0.0000,"publicationDate":"2024-05-17","publicationTypes":"Journal Article","fieldsOfStudy":null,"isOpenAccess":false,"openAccessPdf":"https://www.ncbi.nlm.nih.gov/pmc/articles/PMC11707439/pdf/","citationCount":"0","resultStr":null,"platform":"Semanticscholar","paperid":null,"PeriodicalName":"Mediastinum (Hong Kong, China)","FirstCategoryId":"1085","ListUrlMain":"https://doi.org/10.21037/med-22-43","RegionNum":0,"RegionCategory":null,"ArticlePicture":[],"TitleCN":null,"AbstractTextCN":null,"PMCID":null,"EPubDate":"2024/1/1 0:00:00","PubModel":"eCollection","JCR":"","JCRName":"","Score":null,"Total":0}
引用次数: 0

Abstract

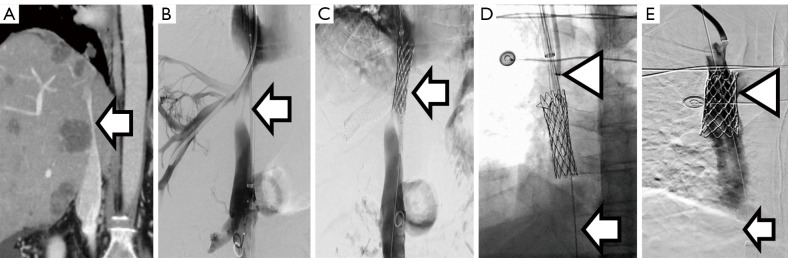
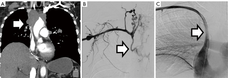
The mediastinal vasculature can be affected by various etiologies in cancer patients. Both direct and indirect sequela of cancer may result in life-threatening clinical presentations. Tumor growth may cause vessel narrowing and decreased blood flow from either extrinsic mass effect, invasion into the vascular wall, or tumor thrombus within the lumen. In addition, cancer patients are predisposed to indirect sequela to the mediastinal vasculature from an increased risk of benign thromboembolic events, tumor thrombus, or iatrogenic complications during cancer treatments. Benign thrombus may result in partial or complete occlusion of the superior vena cava (SVC) or pulmonary artery. Vascular damage such as pseudoaneurysm or stricture may result from iatrogenic complications from radiation therapy, surgery, or other interventions. The clinical presentation of the vascular compromise is dictated by the vascular anatomical structure that is affected and the type of injury. In the appropriate clinical scenario, endovascular treatments may be pursued. These minimally invasive procedures include balloon venoplasty and angioplasty, stent placement, catheter-directed thrombolysis, embolectomy, and embolization. This review discusses the most common endovascular interventions for vascular compromise based on the great vessel affected: the SVC, pulmonary artery, pulmonary vein, bronchial arteries, or the aorta and supra-aortic arteries. Indications for treatment are discussed, with particular attention to disease etiology and clinical presentation.

Abstract Image

Abstract Image

Abstract Image

纵隔血管受损的癌症患者的血管内干预:综述。
癌症患者的纵隔血管系统可受到各种病因的影响。癌症的直接和间接后遗症都可能导致危及生命的临床表现。肿瘤生长可引起血管狭窄和血流减少,原因可能是外在的肿块效应、侵入血管壁或肿瘤血栓在管腔内。此外,癌症患者易因癌症治疗期间良性血栓栓塞事件、肿瘤血栓或医源性并发症的风险增加而对纵隔血管系统产生间接后遗症。良性血栓可导致上腔静脉(SVC)或肺动脉部分或完全闭塞。血管损伤如假性动脉瘤或狭窄可能是由放射治疗、手术或其他干预的医源性并发症引起的。血管损伤的临床表现取决于受影响的血管解剖结构和损伤类型。在适当的临床情况下,可以进行血管内治疗。这些微创手术包括球囊静脉成形术和血管成形术、支架置入、导管定向溶栓、栓塞切除术和栓塞术。这篇综述讨论了基于受影响的大血管的血管妥协的最常见的血管内干预:SVC,肺动脉,肺静脉,支气管动脉,或主动脉和主动脉上动脉。讨论了治疗的适应症,特别注意疾病的病因和临床表现。
本文章由计算机程序翻译,如有差异,请以英文原文为准。
求助全文
约1分钟内获得全文 求助全文
来源期刊
CiteScore
1.20
自引率
0.00%
发文量
0
×
引用
GB/T 7714-2015
复制
MLA
复制
APA
复制
导出至
BibTeX EndNote RefMan NoteFirst NoteExpress
×
提示
您的信息不完整,为了账户安全,请先补充。
现在去补充
×
提示
您因"违规操作"
具体请查看互助需知
我知道了
×
提示
确定
请完成安全验证×
copy
已复制链接
快去分享给好友吧!
我知道了
右上角分享
点击右上角分享
0
联系我们:info@booksci.cn Book学术提供免费学术资源搜索服务,方便国内外学者检索中英文文献。致力于提供最便捷和优质的服务体验。 Copyright © 2023 布克学术 All rights reserved.
京ICP备2023020795号-1
ghs 京公网安备 11010802042870号
Book学术文献互助
Book学术文献互助群
群 号:604180095
Book学术官方微信