Insulinoma With Ambiguous Biochemistry, Positive 68Ga-DOTA-Exendin-4 PET-CT, and Effective Endoscopic Ablation.

JCEM case reports Pub Date : 2025-01-09 eCollection Date: 2025-01-01 DOI:10.1210/jcemcr/luae232
Fernando Jia Jing Loo, Melvin Kok Seng Lee, Hian Liang Huang, Charles Kien Fong Vu, Yin Chian Kon
{"title":"Insulinoma With Ambiguous Biochemistry, Positive <sup>68</sup>Ga-DOTA-Exendin-4 PET-CT, and Effective Endoscopic Ablation.","authors":"Fernando Jia Jing Loo, Melvin Kok Seng Lee, Hian Liang Huang, Charles Kien Fong Vu, Yin Chian Kon","doi":"10.1210/jcemcr/luae232","DOIUrl":null,"url":null,"abstract":"<p><p>A 75-year-old female presented with fasting hypoglycemic episodes. A supervised fast ended at 72 hours fulfilling Whipple triad, with suppressed insulin and C-peptide levels, but discordantly suppressed serum β-hydroxybutyrate levels. After 21 months of recurring symptoms, a repeat fast ended at 48 hours with Whipple triad, suppressed serum β-hydroxybutyrate level, and borderline nonsuppressed C-peptide level, suggesting endogenous hyperinsulinism. Serum insulin levels were discordantly suppressed. Computed tomography (CT) of the abdomen demonstrated an enhancing 1.36 × 0.93-cm nodule in the head of the pancreas. Endoscopic ultrasound (EUS)-guided fine-needle aspirate of the lesion derived cytology consistent with a neuroendocrine tumor, but fine-needle core biopsy returned normal pancreatic tissue. Because the results were equivocal, functional imaging with <sup>68</sup>Gallium-DOTA-exendin-4 positron emission tomography CT was performed, which confirmed the diagnosis of a single head-of-pancreas insulinoma. The patient declined surgical resection. Oral diazoxide therapy resulted in significant peripheral edema. Hence, EUS-guided radiofrequency ablation of the lesion was performed, and the patient remains symptom free 10 months postprocedure. This case illustrates that (1) exendin-4-based positron emission tomography may help one confidently diagnose and localize insulinoma when prior biochemical or endoscopic biopsy results are ambiguous; and (2) EUS-guided radiofrequency ablation is an efficacious alternative option to surgical resection in the frail, elderly patient with insulinoma.</p>","PeriodicalId":73540,"journal":{"name":"JCEM case reports","volume":"3 1","pages":"luae232"},"PeriodicalIF":0.0000,"publicationDate":"2025-01-09","publicationTypes":"Journal Article","fieldsOfStudy":null,"isOpenAccess":false,"openAccessPdf":"https://www.ncbi.nlm.nih.gov/pmc/articles/PMC11711475/pdf/","citationCount":"0","resultStr":null,"platform":"Semanticscholar","paperid":null,"PeriodicalName":"JCEM case reports","FirstCategoryId":"1085","ListUrlMain":"https://doi.org/10.1210/jcemcr/luae232","RegionNum":0,"RegionCategory":null,"ArticlePicture":[],"TitleCN":null,"AbstractTextCN":null,"PMCID":null,"EPubDate":"2025/1/1 0:00:00","PubModel":"eCollection","JCR":"","JCRName":"","Score":null,"Total":0}
引用次数: 0

Abstract

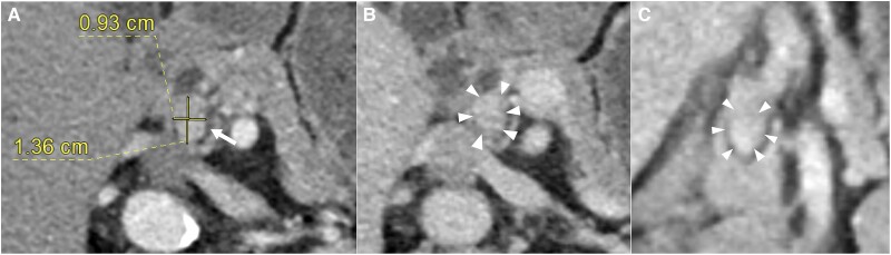
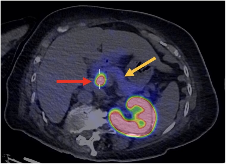
A 75-year-old female presented with fasting hypoglycemic episodes. A supervised fast ended at 72 hours fulfilling Whipple triad, with suppressed insulin and C-peptide levels, but discordantly suppressed serum β-hydroxybutyrate levels. After 21 months of recurring symptoms, a repeat fast ended at 48 hours with Whipple triad, suppressed serum β-hydroxybutyrate level, and borderline nonsuppressed C-peptide level, suggesting endogenous hyperinsulinism. Serum insulin levels were discordantly suppressed. Computed tomography (CT) of the abdomen demonstrated an enhancing 1.36 × 0.93-cm nodule in the head of the pancreas. Endoscopic ultrasound (EUS)-guided fine-needle aspirate of the lesion derived cytology consistent with a neuroendocrine tumor, but fine-needle core biopsy returned normal pancreatic tissue. Because the results were equivocal, functional imaging with 68Gallium-DOTA-exendin-4 positron emission tomography CT was performed, which confirmed the diagnosis of a single head-of-pancreas insulinoma. The patient declined surgical resection. Oral diazoxide therapy resulted in significant peripheral edema. Hence, EUS-guided radiofrequency ablation of the lesion was performed, and the patient remains symptom free 10 months postprocedure. This case illustrates that (1) exendin-4-based positron emission tomography may help one confidently diagnose and localize insulinoma when prior biochemical or endoscopic biopsy results are ambiguous; and (2) EUS-guided radiofrequency ablation is an efficacious alternative option to surgical resection in the frail, elderly patient with insulinoma.

Abstract Image

Abstract Image

Abstract Image

胰岛素瘤,生化不明确,68Ga-DOTA-Exendin-4 PET-CT阳性,内镜下有效消融。
一名75岁女性表现为空腹低血糖发作。监督禁食在72小时结束,满足惠普尔三联征,胰岛素和c肽水平受到抑制,但血清β-羟基丁酸水平受到不一致的抑制。症状复发21个月后,重复快速结束48小时,Whipple三联征,血清β-羟基丁酸水平抑制,边缘非抑制c肽水平,提示内源性高胰岛素血症。血清胰岛素水平被不一致地抑制。腹部计算机断层扫描(CT)显示胰腺头部一个1.36 × 0.93 cm的增强结节。超声内镜(EUS)引导下细针抽吸病变的细胞学表现与神经内分泌肿瘤一致,但细针核心活检显示胰腺组织正常。由于结果不明确,行68镓- dota -exendin-4正电子发射断层扫描CT功能显像,确诊为单发胰头胰岛素瘤。病人拒绝手术切除。口服二氮唑治疗导致明显的外周水肿。因此,eus引导下对病变进行射频消融,术后10个月患者仍无症状。该病例表明:(1)当先前的生化或内镜活检结果不明确时,基于exendin-4的正电子发射断层扫描可以帮助患者自信地诊断和定位胰岛素瘤;(2)超声引导下射频消融对于体弱的老年胰岛素瘤患者是手术切除的有效替代选择。
本文章由计算机程序翻译,如有差异,请以英文原文为准。
求助全文
约1分钟内获得全文 求助全文
来源期刊
自引率
0.00%
发文量
0
×
引用
GB/T 7714-2015
复制
MLA
复制
APA
复制
导出至
BibTeX EndNote RefMan NoteFirst NoteExpress
×
提示
您的信息不完整,为了账户安全,请先补充。
现在去补充
×
提示
您因"违规操作"
具体请查看互助需知
我知道了
×
提示
确定
请完成安全验证×
copy
已复制链接
快去分享给好友吧!
我知道了
右上角分享
点击右上角分享
0
联系我们:info@booksci.cn Book学术提供免费学术资源搜索服务,方便国内外学者检索中英文文献。致力于提供最便捷和优质的服务体验。 Copyright © 2023 布克学术 All rights reserved.
京ICP备2023020795号-1
ghs 京公网安备 11010802042870号
Book学术文献互助
Book学术文献互助群
群 号:604180095
Book学术官方微信