Metastatic urothelial carcinoma in multiple appendicular muscles of a cat.

IF 0.7 Q3 VETERINARY SCIENCES
Journal of Feline Medicine and Surgery Open Reports Pub Date : 2025-01-06 eCollection Date: 2025-01-01 DOI:10.1177/20551169241303217
Eduardo M Hernández, Pedro J Ginel, Beatriz Blanco, Yolanda Millán, Maria T Jiménez, Elena Mozos
{"title":"Metastatic urothelial carcinoma in multiple appendicular muscles of a cat.","authors":"Eduardo M Hernández, Pedro J Ginel, Beatriz Blanco, Yolanda Millán, Maria T Jiménez, Elena Mozos","doi":"10.1177/20551169241303217","DOIUrl":null,"url":null,"abstract":"<p><strong>Case summary: </strong>A 13-year-old male castrated domestic shorthair cat presented with a 2-month history of progressive lameness, poor appetite and constipation. Physical examination revealed palpable lesions in muscles of several extremities. Ultrasound examination confirmed the presence of round lesions with a hypo- or anechoic centre within the muscles. These lesions were characterised by an anechoic, occasionally trabeculated, central area surrounded by a hyperechoic band with heterogeneous echotexture. In total, seven lesions affecting six appendicular muscles were detected in different evolution stages, as suggested by their sizes and ultrasonographic features. Fine-needle aspiration of the muscle lesions revealed nests and isolated pleomorphic large neoplastic cells consistent with a carcinoma (vs sarcoma) and one mass was surgically removed. The histological and immunohistochemical studies confirmed a diagnosis of metastatic urothelial carcinoma. Although this neoplasia typically originates from the urothelium of the urinary bladder or renal pelvis, the primary tumour could not be detected in repeated abdominal ultrasound examinations. The cat was euthanased and further evaluations were declined by the author.</p><p><strong>Relevance and novel information: </strong>Urothelial carcinoma is a rare and highly aggressive neoplasia in the cat. While metastasis to regional lymph nodes and lungs are common in cats and dogs, to the authors' knowledge, there have been no reports of metastasis to multiple appendicular muscles in cats. This clinical presentation should be considered in the differential diagnoses of multiple nodular or cystic lesions affecting long muscles in cats.</p>","PeriodicalId":36588,"journal":{"name":"Journal of Feline Medicine and Surgery Open Reports","volume":"11 1","pages":"20551169241303217"},"PeriodicalIF":0.7000,"publicationDate":"2025-01-06","publicationTypes":"Journal Article","fieldsOfStudy":null,"isOpenAccess":false,"openAccessPdf":"https://www.ncbi.nlm.nih.gov/pmc/articles/PMC11705315/pdf/","citationCount":"0","resultStr":null,"platform":"Semanticscholar","paperid":null,"PeriodicalName":"Journal of Feline Medicine and Surgery Open Reports","FirstCategoryId":"1085","ListUrlMain":"https://doi.org/10.1177/20551169241303217","RegionNum":0,"RegionCategory":null,"ArticlePicture":[],"TitleCN":null,"AbstractTextCN":null,"PMCID":null,"EPubDate":"2025/1/1 0:00:00","PubModel":"eCollection","JCR":"Q3","JCRName":"VETERINARY SCIENCES","Score":null,"Total":0}
引用次数: 0

Abstract

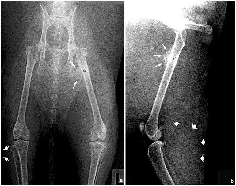
Case summary: A 13-year-old male castrated domestic shorthair cat presented with a 2-month history of progressive lameness, poor appetite and constipation. Physical examination revealed palpable lesions in muscles of several extremities. Ultrasound examination confirmed the presence of round lesions with a hypo- or anechoic centre within the muscles. These lesions were characterised by an anechoic, occasionally trabeculated, central area surrounded by a hyperechoic band with heterogeneous echotexture. In total, seven lesions affecting six appendicular muscles were detected in different evolution stages, as suggested by their sizes and ultrasonographic features. Fine-needle aspiration of the muscle lesions revealed nests and isolated pleomorphic large neoplastic cells consistent with a carcinoma (vs sarcoma) and one mass was surgically removed. The histological and immunohistochemical studies confirmed a diagnosis of metastatic urothelial carcinoma. Although this neoplasia typically originates from the urothelium of the urinary bladder or renal pelvis, the primary tumour could not be detected in repeated abdominal ultrasound examinations. The cat was euthanased and further evaluations were declined by the author.

Relevance and novel information: Urothelial carcinoma is a rare and highly aggressive neoplasia in the cat. While metastasis to regional lymph nodes and lungs are common in cats and dogs, to the authors' knowledge, there have been no reports of metastasis to multiple appendicular muscles in cats. This clinical presentation should be considered in the differential diagnoses of multiple nodular or cystic lesions affecting long muscles in cats.

Abstract Image

Abstract Image

Abstract Image

猫多尾肌转移性尿路上皮癌。
病例总结:一只13岁雄性阉割家养短毛猫,表现为2个月进行性跛行、食欲不振和便秘。体格检查发现数条四肢肌肉有明显病变。超声检查证实存在圆形病变,肌肉中心低回声或无回声。这些病变的特征是无回声,偶尔有小梁,中心区域被高回声带包围,回声结构不均匀。根据其大小和超声特征,共检测到7个病变,影响6个阑尾肌肉,病变处于不同的发展阶段。肌肉病变的细针穿刺显示巢状和孤立的多形性大肿瘤细胞,与癌(与肉瘤)一致,并手术切除了一个肿块。组织学和免疫组织化学研究证实了转移性尿路上皮癌的诊断。虽然这种肿瘤通常起源于膀胱或肾盂的尿路上皮,但反复腹部超声检查无法发现原发性肿瘤。猫被实施了安乐死,提交人拒绝了进一步的评估。相关性和新信息:猫的尿路上皮癌是一种罕见且高度侵袭性的肿瘤。虽然转移到局部淋巴结和肺部在猫和狗中很常见,但据作者所知,还没有报道转移到猫的多个阑尾肌肉。这种临床表现应考虑在鉴别诊断多发性结节或囊性病变影响长肌肉在猫。
本文章由计算机程序翻译,如有差异,请以英文原文为准。
求助全文
约1分钟内获得全文 求助全文
来源期刊
CiteScore
1.30
自引率
14.30%
发文量
57
审稿时长
15 weeks
×
引用
GB/T 7714-2015
复制
MLA
复制
APA
复制
导出至
BibTeX EndNote RefMan NoteFirst NoteExpress
×
提示
您的信息不完整,为了账户安全,请先补充。
现在去补充
×
提示
您因"违规操作"
具体请查看互助需知
我知道了
×
提示
确定
请完成安全验证×
copy
已复制链接
快去分享给好友吧!
我知道了
右上角分享
点击右上角分享
0
联系我们:info@booksci.cn Book学术提供免费学术资源搜索服务,方便国内外学者检索中英文文献。致力于提供最便捷和优质的服务体验。 Copyright © 2023 布克学术 All rights reserved.
京ICP备2023020795号-1
ghs 京公网安备 11010802042870号
Book学术文献互助
Book学术文献互助群
群 号:604180095
Book学术官方微信