Ultrasonographic and Computed Tomographic Diagnosis of Urachal Diverticulum Concurrent With Pyometra in a Dog.

IF 1.5 2区 农林科学 Q2 VETERINARY SCIENCES
Nicole Norena, Ryan B Appleby, Alice Defarges, Lea Mehrkens, Jeff Biskup
{"title":"Ultrasonographic and Computed Tomographic Diagnosis of Urachal Diverticulum Concurrent With Pyometra in a Dog.","authors":"Nicole Norena, Ryan B Appleby, Alice Defarges, Lea Mehrkens, Jeff Biskup","doi":"10.1111/vru.70002","DOIUrl":null,"url":null,"abstract":"<p><p>A young, intact, female, American Bulldog was presented for hemorrhagic vaginal discharge. Anemia, thrombocytopenia, leukocytosis with neutrophilia, azotemia, and electrolyte disturbances were detected in the bloodwork. A urachal diverticulum with concurrent uterine distention was identified by ultrasonography and CT. The diverticulum was excised in surgery, and an ovariohysterectomy was performed. Histopathological examination confirmed an abscessed bladder wall with concurrent pyometra.</p>","PeriodicalId":23581,"journal":{"name":"Veterinary Radiology & Ultrasound","volume":"66 1","pages":"e70002"},"PeriodicalIF":1.5000,"publicationDate":"2025-01-01","publicationTypes":"Journal Article","fieldsOfStudy":null,"isOpenAccess":false,"openAccessPdf":"https://www.ncbi.nlm.nih.gov/pmc/articles/PMC11719760/pdf/","citationCount":"0","resultStr":null,"platform":"Semanticscholar","paperid":null,"PeriodicalName":"Veterinary Radiology & Ultrasound","FirstCategoryId":"97","ListUrlMain":"https://doi.org/10.1111/vru.70002","RegionNum":2,"RegionCategory":"农林科学","ArticlePicture":[],"TitleCN":null,"AbstractTextCN":null,"PMCID":null,"EPubDate":"","PubModel":"","JCR":"Q2","JCRName":"VETERINARY SCIENCES","Score":null,"Total":0}
引用次数: 0

Abstract

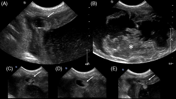
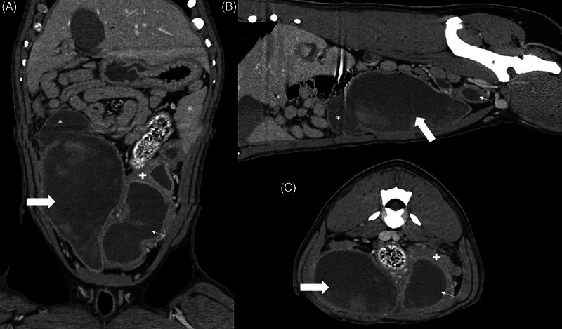
A young, intact, female, American Bulldog was presented for hemorrhagic vaginal discharge. Anemia, thrombocytopenia, leukocytosis with neutrophilia, azotemia, and electrolyte disturbances were detected in the bloodwork. A urachal diverticulum with concurrent uterine distention was identified by ultrasonography and CT. The diverticulum was excised in surgery, and an ovariohysterectomy was performed. Histopathological examination confirmed an abscessed bladder wall with concurrent pyometra.

Abstract Image

Abstract Image

犬尿管憩室合并脓脓症的超声及ct诊断。
一个年轻的,完整的,雌性,美国斗牛犬提出了出血性阴道分泌物。血液检查中发现贫血、血小板减少、白细胞增多伴中性粒细胞增多、氮血症和电解质紊乱。超声及CT检查发现尿管憩室伴子宫扩张。手术切除憩室,并行卵巢子宫切除术。组织病理学检查证实膀胱壁脓肿并发脓膜肿大。
本文章由计算机程序翻译,如有差异,请以英文原文为准。
求助全文
约1分钟内获得全文 求助全文
来源期刊
Veterinary Radiology & Ultrasound
Veterinary Radiology & Ultrasound 农林科学-兽医学
CiteScore
2.40
自引率
17.60%
发文量
133
审稿时长
8-16 weeks
期刊介绍: Veterinary Radiology & Ultrasound is a bimonthly, international, peer-reviewed, research journal devoted to the fields of veterinary diagnostic imaging and radiation oncology. Established in 1958, it is owned by the American College of Veterinary Radiology and is also the official journal for six affiliate veterinary organizations. Veterinary Radiology & Ultrasound is represented on the International Committee of Medical Journal Editors, World Association of Medical Editors, and Committee on Publication Ethics. The mission of Veterinary Radiology & Ultrasound is to serve as a leading resource for high quality articles that advance scientific knowledge and standards of clinical practice in the areas of veterinary diagnostic radiology, computed tomography, magnetic resonance imaging, ultrasonography, nuclear imaging, radiation oncology, and interventional radiology. Manuscript types include original investigations, imaging diagnosis reports, review articles, editorials and letters to the Editor. Acceptance criteria include originality, significance, quality, reader interest, composition and adherence to author guidelines.
×
引用
GB/T 7714-2015
复制
MLA
复制
APA
复制
导出至
BibTeX EndNote RefMan NoteFirst NoteExpress
×
提示
您的信息不完整,为了账户安全,请先补充。
现在去补充
×
提示
您因"违规操作"
具体请查看互助需知
我知道了
×
提示
确定
请完成安全验证×
copy
已复制链接
快去分享给好友吧!
我知道了
右上角分享
点击右上角分享
0
联系我们:info@booksci.cn Book学术提供免费学术资源搜索服务,方便国内外学者检索中英文文献。致力于提供最便捷和优质的服务体验。 Copyright © 2023 布克学术 All rights reserved.
京ICP备2023020795号-1
ghs 京公网安备 11010802042870号
Book学术文献互助
Book学术文献互助群
群 号:604180095
Book学术官方微信