Redo Minimally Invasive Right Atrial Mass Removal After Surgical Atrial Septal Defect Closure.

IF 1.3 Q4 CARDIAC & CARDIOVASCULAR SYSTEMS
Journal of the Saudi Heart Association Pub Date : 2024-12-03 eCollection Date: 2024-01-01 DOI:10.37616/2212-5043.1406
Chirag Doshi, Pratyaksha Rana, Vidur Bansal, Megha M Sheth, Dinesh Patel
{"title":"Redo Minimally Invasive Right Atrial Mass Removal After Surgical Atrial Septal Defect Closure.","authors":"Chirag Doshi, Pratyaksha Rana, Vidur Bansal, Megha M Sheth, Dinesh Patel","doi":"10.37616/2212-5043.1406","DOIUrl":null,"url":null,"abstract":"<p><p>Atrial septal defects are among the most prevalent congenital anomalies necessitating surgical intervention. Thrombus formation is a recognized complication that is typically characterized by an embolic event following patch-based repair. However, thromboembolic complications following primary repair of atrial septal defects are exceedingly uncommon. Minimally invasive surgery is a suitable alternative to redo sternotomy. We present a 46-year-old man who was diagnosed with a right atrial mass eight years following the patch repair of an atrial septal defect and underwent a successful minimally invasive redo surgery.</p>","PeriodicalId":17319,"journal":{"name":"Journal of the Saudi Heart Association","volume":"36 4","pages":"381-384"},"PeriodicalIF":1.3000,"publicationDate":"2024-12-03","publicationTypes":"Journal Article","fieldsOfStudy":null,"isOpenAccess":false,"openAccessPdf":"https://www.ncbi.nlm.nih.gov/pmc/articles/PMC11708904/pdf/","citationCount":"0","resultStr":null,"platform":"Semanticscholar","paperid":null,"PeriodicalName":"Journal of the Saudi Heart Association","FirstCategoryId":"1085","ListUrlMain":"https://doi.org/10.37616/2212-5043.1406","RegionNum":0,"RegionCategory":null,"ArticlePicture":[],"TitleCN":null,"AbstractTextCN":null,"PMCID":null,"EPubDate":"2024/1/1 0:00:00","PubModel":"eCollection","JCR":"Q4","JCRName":"CARDIAC & CARDIOVASCULAR SYSTEMS","Score":null,"Total":0}
引用次数: 0

Abstract

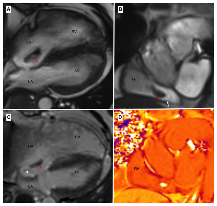
Atrial septal defects are among the most prevalent congenital anomalies necessitating surgical intervention. Thrombus formation is a recognized complication that is typically characterized by an embolic event following patch-based repair. However, thromboembolic complications following primary repair of atrial septal defects are exceedingly uncommon. Minimally invasive surgery is a suitable alternative to redo sternotomy. We present a 46-year-old man who was diagnosed with a right atrial mass eight years following the patch repair of an atrial septal defect and underwent a successful minimally invasive redo surgery.

Abstract Image

Abstract Image

Abstract Image

房间隔缺损闭合术后再做微创右心房肿块切除。
房间隔缺损是最普遍的先天性畸形,需要手术干预。血栓形成是公认的并发症,其典型特征是在贴片修复后发生栓塞事件。然而,房间隔缺损初次修复后的血栓栓塞并发症是非常罕见的。微创手术是重做胸骨切开术的合适选择。我们报告了一位46岁的男性,他在房间隔缺损补片修复8年后被诊断为右心房肿块,并进行了成功的微创重做手术。
本文章由计算机程序翻译,如有差异,请以英文原文为准。
求助全文
约1分钟内获得全文 求助全文
来源期刊
Journal of the Saudi Heart Association
Journal of the Saudi Heart Association CARDIAC & CARDIOVASCULAR SYSTEMS-
CiteScore
1.40
自引率
0.00%
发文量
30
审稿时长
15 weeks
×
引用
GB/T 7714-2015
复制
MLA
复制
APA
复制
导出至
BibTeX EndNote RefMan NoteFirst NoteExpress
×
提示
您的信息不完整,为了账户安全,请先补充。
现在去补充
×
提示
您因"违规操作"
具体请查看互助需知
我知道了
×
提示
确定
请完成安全验证×
copy
已复制链接
快去分享给好友吧!
我知道了
右上角分享
点击右上角分享
0
联系我们:info@booksci.cn Book学术提供免费学术资源搜索服务,方便国内外学者检索中英文文献。致力于提供最便捷和优质的服务体验。 Copyright © 2023 布克学术 All rights reserved.
京ICP备2023020795号-1
ghs 京公网安备 11010802042870号
Book学术文献互助
Book学术文献互助群
群 号:604180095
Book学术官方微信