An IS element-driven antisense RNA attenuates the expression of serotype 2 fimbriae and the cytotoxicity of Bordetella pertussis.

IF 7.5 2区 医学 Q1 IMMUNOLOGY
Emerging Microbes & Infections Pub Date : 2025-12-01 Epub Date: 2025-01-27 DOI:10.1080/22221751.2025.2451718
Alexandre D'Halluin, Denisa Petráčková, Ivana Čurnová, Jakub Držmíšek, Jan Čapek, Peggy Bouquet, Loïc Henin, Rudy Antoine, Loïc Coutte, Camille Locht, Branislav Večerek, David Hot
{"title":"An IS element-driven antisense RNA attenuates the expression of serotype 2 fimbriae and the cytotoxicity of <i>Bordetella pertussis</i>.","authors":"Alexandre D'Halluin, Denisa Petráčková, Ivana Čurnová, Jakub Držmíšek, Jan Čapek, Peggy Bouquet, Loïc Henin, Rudy Antoine, Loïc Coutte, Camille Locht, Branislav Večerek, David Hot","doi":"10.1080/22221751.2025.2451718","DOIUrl":null,"url":null,"abstract":"<p><p>Insertion sequences (IS) represent mobile genetic elements that have been shown to be associated with bacterial evolution and adaptation due to their effects on genome plasticity. In <i>Bordetella pertussis</i>, the causative agent of whooping cough, the numerous IS elements induce genomic rearrangements and contribute to the diversity of the global <i>B. pertussis</i> population. Previously, we have shown that the majority of IS-specific endogenous promoters induce the synthesis of alternative transcripts and thereby affect the transcriptional landscape of <i>B. pertussis</i>. Here, we describe the regulatory RNA Rfi2, which is transcribed from the P<sub>out</sub> promoter of the IS<i>481</i> gene <i>BP1118</i> antisense to the adjacent <i>fim2</i> gene encoding the major serotype 2 fimbrial subunit of <i>B. pertussis</i>. Among the classical bordetellae, Rfi2 is unique to <i>B. pertussis</i>, suggesting its specific role in virulence. We show that Rfi2 RNA attenuates <i>fim2</i> transcription and, consequently, the production of the Fim2 protein. Interestingly, the mutant that does not produce Rfi2 displayed significantly increased cytotoxicity towards human macrophages compared to the parental strain. This observation suggests that the Rfi2-mediated reduction in cytotoxicity represents an evolutionary adaptation of <i>B. pertussis</i> that fine-tunes its interaction with the human host. Given the immunogenicity of Fim2, we further hypothesize that Rfi2-mediated modulation of Fim2 production contributes to immune evasion. To our knowledge, Rfi2 represents the first functionally characterized IS element-driven antisense RNA that modulates the expression of a virulence gene.</p>","PeriodicalId":11602,"journal":{"name":"Emerging Microbes & Infections","volume":" ","pages":"2451718"},"PeriodicalIF":7.5000,"publicationDate":"2025-12-01","publicationTypes":"Journal Article","fieldsOfStudy":null,"isOpenAccess":false,"openAccessPdf":"https://www.ncbi.nlm.nih.gov/pmc/articles/PMC11774165/pdf/","citationCount":"0","resultStr":null,"platform":"Semanticscholar","paperid":null,"PeriodicalName":"Emerging Microbes & Infections","FirstCategoryId":"3","ListUrlMain":"https://doi.org/10.1080/22221751.2025.2451718","RegionNum":2,"RegionCategory":"医学","ArticlePicture":[],"TitleCN":null,"AbstractTextCN":null,"PMCID":null,"EPubDate":"2025/1/27 0:00:00","PubModel":"Epub","JCR":"Q1","JCRName":"IMMUNOLOGY","Score":null,"Total":0}
引用次数: 0

Abstract

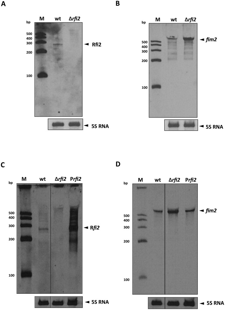
Insertion sequences (IS) represent mobile genetic elements that have been shown to be associated with bacterial evolution and adaptation due to their effects on genome plasticity. In Bordetella pertussis, the causative agent of whooping cough, the numerous IS elements induce genomic rearrangements and contribute to the diversity of the global B. pertussis population. Previously, we have shown that the majority of IS-specific endogenous promoters induce the synthesis of alternative transcripts and thereby affect the transcriptional landscape of B. pertussis. Here, we describe the regulatory RNA Rfi2, which is transcribed from the Pout promoter of the IS481 gene BP1118 antisense to the adjacent fim2 gene encoding the major serotype 2 fimbrial subunit of B. pertussis. Among the classical bordetellae, Rfi2 is unique to B. pertussis, suggesting its specific role in virulence. We show that Rfi2 RNA attenuates fim2 transcription and, consequently, the production of the Fim2 protein. Interestingly, the mutant that does not produce Rfi2 displayed significantly increased cytotoxicity towards human macrophages compared to the parental strain. This observation suggests that the Rfi2-mediated reduction in cytotoxicity represents an evolutionary adaptation of B. pertussis that fine-tunes its interaction with the human host. Given the immunogenicity of Fim2, we further hypothesize that Rfi2-mediated modulation of Fim2 production contributes to immune evasion. To our knowledge, Rfi2 represents the first functionally characterized IS element-driven antisense RNA that modulates the expression of a virulence gene.

Abstract Image

Abstract Image

Abstract Image

一种IS元件驱动的反义RNA减弱了血清2型菌毛的表达和百日咳博德泰拉的细胞毒性。
插入序列(插入序列)代表可移动的遗传元件,由于它们对基因组可塑性的影响,已被证明与细菌的进化和适应有关。在百日咳的病原体百日咳博德泰拉中,许多IS元素诱导基因组重排,并有助于全球百日咳人群的多样性。之前,我们已经证明大多数is特异性内源性启动子诱导替代转录物的合成,从而影响百日咳的转录景观。在这里,我们描述了调控RNA Rfi2,它是从IS481基因BP1118反义的Pout启动子转录到邻近的编码百日咳主要血清2型纤毛亚基的fim2基因。在经典的博德氏杆菌中,Rfi2是百日咳所特有的,这表明它在毒力中起着特殊的作用。我们发现Rfi2 RNA降低了fim2的转录,从而降低了fim2蛋白的产生。有趣的是,与亲本菌株相比,不产生Rfi2的突变体对人巨噬细胞的细胞毒性显着增加。这一观察结果表明,rfi2介导的细胞毒性降低代表了百日咳的进化适应,微调了它与人类宿主的相互作用。鉴于Fim2的免疫原性,我们进一步假设rfi2介导的对Fim2产生的调节有助于免疫逃避。据我们所知,Rfi2代表了第一个功能表征的IS元件驱动的反义RNA,它可以调节毒力基因的表达。
本文章由计算机程序翻译,如有差异,请以英文原文为准。
求助全文
约1分钟内获得全文 求助全文
来源期刊
Emerging Microbes & Infections
Emerging Microbes & Infections IMMUNOLOGY-MICROBIOLOGY
CiteScore
26.20
自引率
2.30%
发文量
276
审稿时长
20 weeks
期刊介绍: Emerging Microbes & Infections is a peer-reviewed, open-access journal dedicated to publishing research at the intersection of emerging immunology and microbiology viruses. The journal's mission is to share information on microbes and infections, particularly those gaining significance in both biological and clinical realms due to increased pathogenic frequency. Emerging Microbes & Infections is committed to bridging the scientific gap between developed and developing countries. This journal addresses topics of critical biological and clinical importance, including but not limited to: - Epidemic surveillance - Clinical manifestations - Diagnosis and management - Cellular and molecular pathogenesis - Innate and acquired immune responses between emerging microbes and their hosts - Drug discovery - Vaccine development research Emerging Microbes & Infections invites submissions of original research articles, review articles, letters, and commentaries, fostering a platform for the dissemination of impactful research in the field.
×
引用
GB/T 7714-2015
复制
MLA
复制
APA
复制
导出至
BibTeX EndNote RefMan NoteFirst NoteExpress
×
提示
您的信息不完整,为了账户安全,请先补充。
现在去补充
×
提示
您因"违规操作"
具体请查看互助需知
我知道了
×
提示
确定
请完成安全验证×
copy
已复制链接
快去分享给好友吧!
我知道了
右上角分享
点击右上角分享
0
联系我们:info@booksci.cn Book学术提供免费学术资源搜索服务,方便国内外学者检索中英文文献。致力于提供最便捷和优质的服务体验。 Copyright © 2023 布克学术 All rights reserved.
京ICP备2023020795号-1
ghs 京公网安备 11010802042870号
Book学术文献互助
Book学术文献互助群
群 号:604180095
Book学术官方微信