Preliminary evaluation of FAPI-04-PET/CT for differentiating recurrence and post-treatment changes in high-grade gliomas.

Q3 Medicine
Exploration of targeted anti-tumor therapy Pub Date : 2024-01-01 Epub Date: 2024-10-31 DOI:10.37349/etat.2024.00276
Indraja D Dev, Ameya D Puranik, Venkatesh Rangarajan, Sukriti Patra, Nilendu Purandare, Arpita Sahu, Amitkumar Choudhary, Kajari Bhattacharya, Tejpal Gupta, Abhishek Chatterjee, Archya Dasgupta, Aliasgar Moiyadi, Prakash Shetty, Vikas Singh, Epari Sridhar, Ayushi Sahay, Aekta Shah, Suchismita Ghosh, Sayak Choudhury, Sneha Shah, Archi Agrawal
{"title":"Preliminary evaluation of FAPI-04-PET/CT for differentiating recurrence and post-treatment changes in high-grade gliomas.","authors":"Indraja D Dev, Ameya D Puranik, Venkatesh Rangarajan, Sukriti Patra, Nilendu Purandare, Arpita Sahu, Amitkumar Choudhary, Kajari Bhattacharya, Tejpal Gupta, Abhishek Chatterjee, Archya Dasgupta, Aliasgar Moiyadi, Prakash Shetty, Vikas Singh, Epari Sridhar, Ayushi Sahay, Aekta Shah, Suchismita Ghosh, Sayak Choudhury, Sneha Shah, Archi Agrawal","doi":"10.37349/etat.2024.00276","DOIUrl":null,"url":null,"abstract":"<p><p>Fibroblast-activated protein (FAP) expression in glial cells is attributed to FAP-positive foci on tumor vessels and neoplastic cells. Preclinical and pilot studies have shown FAP expression in high-grade gliomas. We aimed at comparing PET imaging with FAP-inhibitor (FAPI-PET) with current standard, i.e., fluoro-ethyl tyrosine (FET) PET in post-treatment setting to differentiate recurrence and post-treatment changes. 6 patients with WHO Grade III and IV glioma who received standard treatment underwent Ga-68-FAPI-04 PET/CT (FAPI-PET/CT). Tracer uptake greater than background was considered positive. FET PET was performed and interpreted as per institutional standards, which formed the basis of treatment decision. There was concordance between FAPI expression and FET uptake in 5 patients suggestive of disease recurrence. There was no FAPI expression seen in 1 patient, in whom FET PET was suggestive of post-treatment changes. FAPI PET uptake correlated with amino acid expression to differentiate post treatment changes from recurrence in high-grade glial tumors; further validation with prospective study and histopathological confirmation is needed.</p>","PeriodicalId":73002,"journal":{"name":"Exploration of targeted anti-tumor therapy","volume":"5 6","pages":"1289-1296"},"PeriodicalIF":0.0000,"publicationDate":"2024-01-01","publicationTypes":"Journal Article","fieldsOfStudy":null,"isOpenAccess":false,"openAccessPdf":"https://www.ncbi.nlm.nih.gov/pmc/articles/PMC11700622/pdf/","citationCount":"0","resultStr":null,"platform":"Semanticscholar","paperid":null,"PeriodicalName":"Exploration of targeted anti-tumor therapy","FirstCategoryId":"1085","ListUrlMain":"https://doi.org/10.37349/etat.2024.00276","RegionNum":0,"RegionCategory":null,"ArticlePicture":[],"TitleCN":null,"AbstractTextCN":null,"PMCID":null,"EPubDate":"2024/10/31 0:00:00","PubModel":"Epub","JCR":"Q3","JCRName":"Medicine","Score":null,"Total":0}
引用次数: 0

Abstract

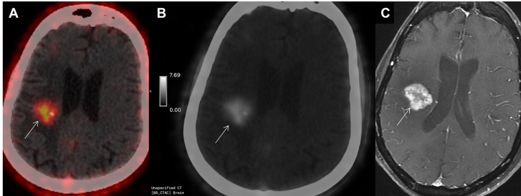
Fibroblast-activated protein (FAP) expression in glial cells is attributed to FAP-positive foci on tumor vessels and neoplastic cells. Preclinical and pilot studies have shown FAP expression in high-grade gliomas. We aimed at comparing PET imaging with FAP-inhibitor (FAPI-PET) with current standard, i.e., fluoro-ethyl tyrosine (FET) PET in post-treatment setting to differentiate recurrence and post-treatment changes. 6 patients with WHO Grade III and IV glioma who received standard treatment underwent Ga-68-FAPI-04 PET/CT (FAPI-PET/CT). Tracer uptake greater than background was considered positive. FET PET was performed and interpreted as per institutional standards, which formed the basis of treatment decision. There was concordance between FAPI expression and FET uptake in 5 patients suggestive of disease recurrence. There was no FAPI expression seen in 1 patient, in whom FET PET was suggestive of post-treatment changes. FAPI PET uptake correlated with amino acid expression to differentiate post treatment changes from recurrence in high-grade glial tumors; further validation with prospective study and histopathological confirmation is needed.

Abstract Image

Abstract Image

Abstract Image

FAPI-04-PET/CT鉴别高级别胶质瘤复发及治疗后变化的初步评价
成纤维细胞活化蛋白(FAP)在神经胶质细胞中的表达归因于FAP在肿瘤血管和肿瘤细胞中的阳性灶。临床前和前期研究显示FAP在高级别胶质瘤中表达。我们的目的是比较PET成像与fap抑制剂(FAPI-PET)与现行标准,即氟乙基酪氨酸(FET) PET在治疗后的情况,以区分复发和治疗后的变化。6例接受标准治疗的WHO III级和IV级胶质瘤患者行Ga-68-FAPI-04 PET/CT (FAPI-PET/CT)检查。示踪剂摄取大于背景被认为是阳性的。FET PET按照机构标准进行和解释,这构成了治疗决策的基础。5例患者FAPI表达与FET摄取具有一致性,提示疾病复发。1例患者未见FAPI表达,FET PET提示治疗后变化。FAPI PET摄取与氨基酸表达相关,用于区分高级别胶质肿瘤治疗后的变化与复发需要进一步的前瞻性研究和组织病理学证实。
本文章由计算机程序翻译,如有差异,请以英文原文为准。
求助全文
约1分钟内获得全文 求助全文
来源期刊
CiteScore
2.80
自引率
0.00%
发文量
0
审稿时长
13 weeks
×
引用
GB/T 7714-2015
复制
MLA
复制
APA
复制
导出至
BibTeX EndNote RefMan NoteFirst NoteExpress
×
提示
您的信息不完整,为了账户安全,请先补充。
现在去补充
×
提示
您因"违规操作"
具体请查看互助需知
我知道了
×
提示
确定
请完成安全验证×
copy
已复制链接
快去分享给好友吧!
我知道了
右上角分享
点击右上角分享
0
联系我们:info@booksci.cn Book学术提供免费学术资源搜索服务,方便国内外学者检索中英文文献。致力于提供最便捷和优质的服务体验。 Copyright © 2023 布克学术 All rights reserved.
京ICP备2023020795号-1
ghs 京公网安备 11010802042870号
Book学术文献互助
Book学术文献互助群
群 号:604180095
Book学术官方微信