Desmoid fibromatosis post-cervical spine surgical intervention.

IF 0.5 Q4 RADIOLOGY, NUCLEAR MEDICINE & MEDICAL IMAGING
BJR Case Reports Pub Date : 2024-12-17 eCollection Date: 2025-01-01 DOI:10.1093/bjrcr/uaae050
Dana AlNuaimi, Shareefa Abdulghaffar, Reem AlKetbi, Badreya Khadim, Khalid Ibrahim
{"title":"Desmoid fibromatosis post-cervical spine surgical intervention.","authors":"Dana AlNuaimi, Shareefa Abdulghaffar, Reem AlKetbi, Badreya Khadim, Khalid Ibrahim","doi":"10.1093/bjrcr/uaae050","DOIUrl":null,"url":null,"abstract":"<p><p>Desmoid tumours are rare benign tumours that show locally aggressive and invasive features leading to potential complications. They can be quite challenging for the treating surgeon if they occur adjacent to neurovascular structures. The aetiology of these tumours is still unclear, but the incidence is higher in females and in patients with a history of trauma or surgical procedures, raising the possibility of genetic and hormonal factors as well as post-traumatic or post-operative inflammatory changes promoting the formation of desmoid fibromatosis. We report a case of a 34-year-old Asian female who presented to our hospital with a history of difficulty in swallowing due to an enlarging lump on the left side of her neck. Patient had a past medical history of previous cervical spinal disc surgery due to a herniated disc. Diagnostic imaging showed a large soft tissue mass centred between the left common carotid artery and the cervical vertebrae displacing the trachea and oesophagus to the right side. A biopsy was obtained, and histopathological examination was suggestive of a desmoid tumour. The patient underwent surgical resection of the tumour but returned later with recurrence and had to undergo the surgery again to achieve full cure.</p>","PeriodicalId":45216,"journal":{"name":"BJR Case Reports","volume":"11 1","pages":"uaae050"},"PeriodicalIF":0.5000,"publicationDate":"2024-12-17","publicationTypes":"Journal Article","fieldsOfStudy":null,"isOpenAccess":false,"openAccessPdf":"https://www.ncbi.nlm.nih.gov/pmc/articles/PMC11697182/pdf/","citationCount":"0","resultStr":null,"platform":"Semanticscholar","paperid":null,"PeriodicalName":"BJR Case Reports","FirstCategoryId":"1085","ListUrlMain":"https://doi.org/10.1093/bjrcr/uaae050","RegionNum":0,"RegionCategory":null,"ArticlePicture":[],"TitleCN":null,"AbstractTextCN":null,"PMCID":null,"EPubDate":"2025/1/1 0:00:00","PubModel":"eCollection","JCR":"Q4","JCRName":"RADIOLOGY, NUCLEAR MEDICINE & MEDICAL IMAGING","Score":null,"Total":0}
引用次数: 0

Abstract

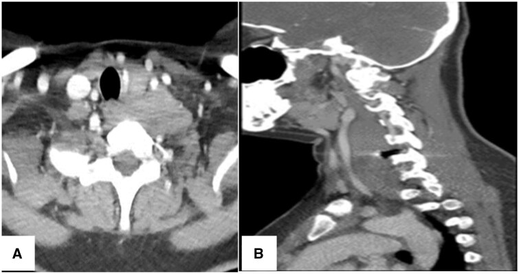
Desmoid tumours are rare benign tumours that show locally aggressive and invasive features leading to potential complications. They can be quite challenging for the treating surgeon if they occur adjacent to neurovascular structures. The aetiology of these tumours is still unclear, but the incidence is higher in females and in patients with a history of trauma or surgical procedures, raising the possibility of genetic and hormonal factors as well as post-traumatic or post-operative inflammatory changes promoting the formation of desmoid fibromatosis. We report a case of a 34-year-old Asian female who presented to our hospital with a history of difficulty in swallowing due to an enlarging lump on the left side of her neck. Patient had a past medical history of previous cervical spinal disc surgery due to a herniated disc. Diagnostic imaging showed a large soft tissue mass centred between the left common carotid artery and the cervical vertebrae displacing the trachea and oesophagus to the right side. A biopsy was obtained, and histopathological examination was suggestive of a desmoid tumour. The patient underwent surgical resection of the tumour but returned later with recurrence and had to undergo the surgery again to achieve full cure.

Abstract Image

Abstract Image

Abstract Image

颈椎手术干预后硬纤维瘤病。
硬纤维瘤是一种罕见的良性肿瘤,表现出局部侵袭性和侵袭性特征,导致潜在的并发症。如果它们发生在神经血管结构附近,对治疗外科医生来说是相当具有挑战性的。这些肿瘤的病因尚不清楚,但在女性和有创伤或手术史的患者中发病率较高,这增加了遗传和激素因素以及创伤后或手术后炎症改变促进硬纤维瘤病形成的可能性。我们报告一例34岁亚洲女性患者,因左侧颈部肿大而出现吞咽困难病史。患者既往有因椎间盘突出而行颈椎椎间盘手术的病史。诊断影像显示一大块软组织肿块位于左侧颈总动脉和颈椎之间,将气管和食道移至右侧。行活检,组织病理学检查提示为硬纤维瘤。患者接受了手术切除肿瘤,但后来复发,不得不再次接受手术以实现完全治愈。
本文章由计算机程序翻译,如有差异,请以英文原文为准。
求助全文
约1分钟内获得全文 求助全文
来源期刊
BJR Case Reports
BJR Case Reports RADIOLOGY, NUCLEAR MEDICINE & MEDICAL IMAGING-
自引率
0.00%
发文量
77
审稿时长
11 weeks
×
引用
GB/T 7714-2015
复制
MLA
复制
APA
复制
导出至
BibTeX EndNote RefMan NoteFirst NoteExpress
×
提示
您的信息不完整,为了账户安全,请先补充。
现在去补充
×
提示
您因"违规操作"
具体请查看互助需知
我知道了
×
提示
确定
请完成安全验证×
copy
已复制链接
快去分享给好友吧!
我知道了
右上角分享
点击右上角分享
0
联系我们:info@booksci.cn Book学术提供免费学术资源搜索服务,方便国内外学者检索中英文文献。致力于提供最便捷和优质的服务体验。 Copyright © 2023 布克学术 All rights reserved.
京ICP备2023020795号-1
ghs 京公网安备 11010802042870号
Book学术文献互助
Book学术文献互助群
群 号:604180095
Book学术官方微信