Postpartum Septic Osteoarthritis: A case series study.

Q3 Medicine
Khadija Baccouche, Ahmed Khadar, Ayoub Guesmi, Dhouha Khalifa, Rym Fakhfekh, Cyrine Daldoul, Nejla Elamri, Elyes Bouajina
{"title":"Postpartum Septic Osteoarthritis: A case series study.","authors":"Khadija Baccouche, Ahmed Khadar, Ayoub Guesmi, Dhouha Khalifa, Rym Fakhfekh, Cyrine Daldoul, Nejla Elamri, Elyes Bouajina","doi":"10.62438/tunismed.v102i12.5403","DOIUrl":null,"url":null,"abstract":"<p><p>Introduction-Aim: Postpartum septic osteoarthritis is a rare but serious condition often misdiagnosed due to overlap with common postpartum symptoms like pelvic pain and joint stiffness. This case series aims to describe the clinical, bacteriological, and radiological characteristics of postpartum septic osteoarthritis, as well as the treatment approaches and patient outcomes. Methods: A retrospective case series was conducted at Farhat Hached University Hospital, from 2006 to 2022, involving patients with confirmed postpartum septic osteoarthritis. Clinical data, laboratory findings, imaging results, treatments, and outcomes were analyzed Results: The mean age of the seven patients was 31.4 years. All patients presented with joint pain, with fever and functional impairment where each was observed in 85.7% of cases. The average diagnostic delay was 17 days. MRI findings revealed bone marrow edema in all patients, Abscesses in 28.5% of cases, periarticular soft tissue edema, and intra-articular effusions in 71.4% of cases. The pubic symphysis was the most commonly affected site (57.1%), followed by the sacroiliac joints (28.6%). Only one pathogen, Streptococcus pyogenes, was isolated. Nearly all patients received dual antibiotic therapy for an average duration of 4 to 6 weeks. Satisfactory clinical progress without sequelae was noted and maintained after an average follow-up of 5 to 6 months. .Conclusion: Our results revealed that postpartum septic osteoarthritis requires prompt diagnosis and early treatment to prevent severe complications. MRI plays a critical role in early detection, while timely antibiotic therapy leads to favorable long-term outcomes.</p>","PeriodicalId":38818,"journal":{"name":"Tunisie Medicale","volume":"102 12","pages":"1067-1071"},"PeriodicalIF":0.0000,"publicationDate":"2024-12-05","publicationTypes":"Journal Article","fieldsOfStudy":null,"isOpenAccess":false,"openAccessPdf":"https://www.ncbi.nlm.nih.gov/pmc/articles/PMC11770787/pdf/","citationCount":"0","resultStr":null,"platform":"Semanticscholar","paperid":null,"PeriodicalName":"Tunisie Medicale","FirstCategoryId":"1085","ListUrlMain":"https://doi.org/10.62438/tunismed.v102i12.5403","RegionNum":0,"RegionCategory":null,"ArticlePicture":[],"TitleCN":null,"AbstractTextCN":null,"PMCID":null,"EPubDate":"","PubModel":"","JCR":"Q3","JCRName":"Medicine","Score":null,"Total":0}
引用次数: 0

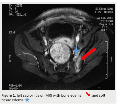
Abstract

Introduction-Aim: Postpartum septic osteoarthritis is a rare but serious condition often misdiagnosed due to overlap with common postpartum symptoms like pelvic pain and joint stiffness. This case series aims to describe the clinical, bacteriological, and radiological characteristics of postpartum septic osteoarthritis, as well as the treatment approaches and patient outcomes. Methods: A retrospective case series was conducted at Farhat Hached University Hospital, from 2006 to 2022, involving patients with confirmed postpartum septic osteoarthritis. Clinical data, laboratory findings, imaging results, treatments, and outcomes were analyzed Results: The mean age of the seven patients was 31.4 years. All patients presented with joint pain, with fever and functional impairment where each was observed in 85.7% of cases. The average diagnostic delay was 17 days. MRI findings revealed bone marrow edema in all patients, Abscesses in 28.5% of cases, periarticular soft tissue edema, and intra-articular effusions in 71.4% of cases. The pubic symphysis was the most commonly affected site (57.1%), followed by the sacroiliac joints (28.6%). Only one pathogen, Streptococcus pyogenes, was isolated. Nearly all patients received dual antibiotic therapy for an average duration of 4 to 6 weeks. Satisfactory clinical progress without sequelae was noted and maintained after an average follow-up of 5 to 6 months. .Conclusion: Our results revealed that postpartum septic osteoarthritis requires prompt diagnosis and early treatment to prevent severe complications. MRI plays a critical role in early detection, while timely antibiotic therapy leads to favorable long-term outcomes.

Abstract Image

Abstract Image

Abstract Image

产后脓毒性骨关节炎:病例系列研究。
前言-目的:产后脓毒性骨关节炎是一种罕见但严重的疾病,由于与盆腔疼痛和关节僵硬等常见产后症状重叠,经常被误诊。本病例系列旨在描述产后脓毒性骨关节炎的临床、细菌学和放射学特征,以及治疗方法和患者结果。方法:对2006年至2022年在Farhat Hached大学医院确诊的产后脓毒性骨关节炎患者进行回顾性病例分析。分析临床资料、实验室检查、影像学结果、治疗方法和结局。结果:7例患者平均年龄31.4岁。所有患者均表现为关节疼痛、发热和功能障碍,其中85.7%的病例出现上述症状。平均诊断延迟为17天。MRI表现为骨髓水肿,28.5%的病例出现脓肿,71.4%的病例出现关节周围软组织水肿和关节内积液。耻骨联合是最常见的受累部位(57.1%),其次是骶髂关节(28.6%)。仅分离出一种病原菌化脓性链球菌。几乎所有患者都接受了平均持续时间为4至6周的双重抗生素治疗。平均随访5 ~ 6个月,临床进展满意,无后遗症。结论:产后脓毒性骨关节炎需要及时诊断和早期治疗,防止严重并发症的发生。MRI在早期发现中起着至关重要的作用,而及时的抗生素治疗可以带来良好的长期结果。
本文章由计算机程序翻译,如有差异,请以英文原文为准。
求助全文
约1分钟内获得全文 求助全文
来源期刊
Tunisie Medicale
Tunisie Medicale Medicine-Medicine (all)
CiteScore
1.00
自引率
0.00%
发文量
72
×
引用
GB/T 7714-2015
复制
MLA
复制
APA
复制
导出至
BibTeX EndNote RefMan NoteFirst NoteExpress
×
提示
您的信息不完整,为了账户安全,请先补充。
现在去补充
×
提示
您因"违规操作"
具体请查看互助需知
我知道了
×
提示
确定
请完成安全验证×
copy
已复制链接
快去分享给好友吧!
我知道了
右上角分享
点击右上角分享
0
联系我们:info@booksci.cn Book学术提供免费学术资源搜索服务,方便国内外学者检索中英文文献。致力于提供最便捷和优质的服务体验。 Copyright © 2023 布克学术 All rights reserved.
京ICP备2023020795号-1
ghs 京公网安备 11010802042870号
Book学术文献互助
Book学术文献互助群
群 号:604180095
Book学术官方微信