Rosai-Dorfman Disease Presenting With FDG-Avid Breast Masses and Axillary Lymph Nodes on PET-CT in a Patient With Recent Diagnosis of Endometrial Carcinoma: A Diagnostic Dilemma.

IF 1.7 Q4 ONCOLOGY
Jennifer Kudja-Rennick, Pai Raghav, Cedric Pluguez-Turull, Katherine Drews-Elger, Cristina Hoyos
{"title":"Rosai-Dorfman Disease Presenting With FDG-Avid Breast Masses and Axillary Lymph Nodes on PET-CT in a Patient With Recent Diagnosis of Endometrial Carcinoma: A Diagnostic Dilemma.","authors":"Jennifer Kudja-Rennick, Pai Raghav, Cedric Pluguez-Turull, Katherine Drews-Elger, Cristina Hoyos","doi":"10.4274/ejbh.galenos.2024.2024-9-2","DOIUrl":null,"url":null,"abstract":"<p><p>Rosai-Dorfman disease (RDD) is a self-limited, idiopathic, non-neoplastic disorder characterized by the proliferation of phagocytic histiocytes, which can mimic malignant lymphoproliferative disease. Cases of RDD most commonly present as bilateral painless cervical lymphadenopathy, with lesser involvement of the axilla, inguinal, and mediastinal lymph nodes. We present the case of a 62-year-old woman with a history of endometrial serous carcinoma who underwent evaluation at a dedicated breast imaging department after positron emission tomography/computed tomography (PET/CT) revealed breast masses and axillary nodes with increased uptake of fluorodeoxyglucose (FDG). Upon clinical examination, she had bilateral palpable lumps in both breasts and axillae. Subsequent dedicated breast imaging with bilateral diagnostic mammography with tomosynthesis and bilateral complete breast ultrasound were suspicious for malignancy detecting bilateral breast masses and axillary lymphadenopathy corresponding to the FDG-avid findings on PET/CT. Ultrasound-guided core needle biopsies, however, revealed a diagnosis of RDD. This case highlights the unique characteristics of RDD with an atypical clinical presentation suspicious for breast cancer both clinically and radiologically.</p>","PeriodicalId":93996,"journal":{"name":"European journal of breast health","volume":"21 1","pages":"74-79"},"PeriodicalIF":1.7000,"publicationDate":"2025-01-01","publicationTypes":"Journal Article","fieldsOfStudy":null,"isOpenAccess":false,"openAccessPdf":"https://www.ncbi.nlm.nih.gov/pmc/articles/PMC11706118/pdf/","citationCount":"0","resultStr":null,"platform":"Semanticscholar","paperid":null,"PeriodicalName":"European journal of breast health","FirstCategoryId":"1085","ListUrlMain":"https://doi.org/10.4274/ejbh.galenos.2024.2024-9-2","RegionNum":0,"RegionCategory":null,"ArticlePicture":[],"TitleCN":null,"AbstractTextCN":null,"PMCID":null,"EPubDate":"","PubModel":"","JCR":"Q4","JCRName":"ONCOLOGY","Score":null,"Total":0}
引用次数: 0

Abstract

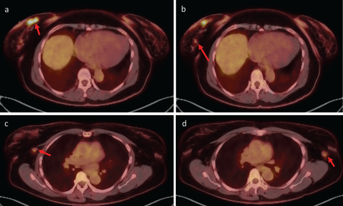
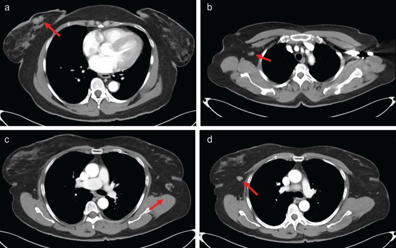
Rosai-Dorfman disease (RDD) is a self-limited, idiopathic, non-neoplastic disorder characterized by the proliferation of phagocytic histiocytes, which can mimic malignant lymphoproliferative disease. Cases of RDD most commonly present as bilateral painless cervical lymphadenopathy, with lesser involvement of the axilla, inguinal, and mediastinal lymph nodes. We present the case of a 62-year-old woman with a history of endometrial serous carcinoma who underwent evaluation at a dedicated breast imaging department after positron emission tomography/computed tomography (PET/CT) revealed breast masses and axillary nodes with increased uptake of fluorodeoxyglucose (FDG). Upon clinical examination, she had bilateral palpable lumps in both breasts and axillae. Subsequent dedicated breast imaging with bilateral diagnostic mammography with tomosynthesis and bilateral complete breast ultrasound were suspicious for malignancy detecting bilateral breast masses and axillary lymphadenopathy corresponding to the FDG-avid findings on PET/CT. Ultrasound-guided core needle biopsies, however, revealed a diagnosis of RDD. This case highlights the unique characteristics of RDD with an atypical clinical presentation suspicious for breast cancer both clinically and radiologically.

Abstract Image

Abstract Image

Abstract Image

Rosai-Dorfman病在最近诊断为子宫内膜癌的患者的PET-CT上表现为FDG-Avid乳房肿块和腋窝淋巴结:诊断困境。
Rosai-Dorfman病(RDD)是一种自限性、特发性、非肿瘤性疾病,以吞噬组织细胞增生为特征,可模拟恶性淋巴细胞增生性疾病。RDD最常表现为双侧无痛性颈淋巴肿大,较少累及腋窝、腹股沟和纵隔淋巴结。我们报告了一名62岁的子宫内膜浆液性癌病史的女性,在正电子发射断层扫描/计算机断层扫描(PET/CT)后,在专门的乳腺影像学部门进行了评估,发现乳房肿块和腋窝淋巴结伴氟脱氧葡萄糖(FDG)摄取增加。经临床检查,她的双侧乳房和腋窝有可触及的肿块。随后的双侧诊断性乳房x线摄影和双侧全乳超声检查发现双侧乳房肿块和腋窝淋巴结病变与PET/CT上FDG-avid的表现相一致,可疑为恶性肿瘤。然而,超声引导下的核心穿刺活检显示诊断为RDD。该病例突出了RDD的独特特征,其临床表现不典型,在临床和放射学上都可疑为乳腺癌。
本文章由计算机程序翻译,如有差异,请以英文原文为准。
求助全文
约1分钟内获得全文 求助全文
来源期刊
CiteScore
2.60
自引率
0.00%
发文量
0
×
引用
GB/T 7714-2015
复制
MLA
复制
APA
复制
导出至
BibTeX EndNote RefMan NoteFirst NoteExpress
×
提示
您的信息不完整,为了账户安全,请先补充。
现在去补充
×
提示
您因"违规操作"
具体请查看互助需知
我知道了
×
提示
确定
请完成安全验证×
copy
已复制链接
快去分享给好友吧!
我知道了
右上角分享
点击右上角分享
0
联系我们:info@booksci.cn Book学术提供免费学术资源搜索服务,方便国内外学者检索中英文文献。致力于提供最便捷和优质的服务体验。 Copyright © 2023 布克学术 All rights reserved.
京ICP备2023020795号-1
ghs 京公网安备 11010802042870号
Book学术文献互助
Book学术文献互助群
群 号:604180095
Book学术官方微信