From Plasmacytoma to Rib Tuberculosis: The Case of A Breast Mass With An Unexpected Diagnosis.

IF 1.7 Q4 ONCOLOGY
Hafedh Abbassi, Badra Bannour, Sarra Yacoub, Ekram Guerbej, Imen Bannour, Samir Hidar, Moncef Mokni
{"title":"From Plasmacytoma to Rib Tuberculosis: The Case of A Breast Mass With An Unexpected Diagnosis.","authors":"Hafedh Abbassi, Badra Bannour, Sarra Yacoub, Ekram Guerbej, Imen Bannour, Samir Hidar, Moncef Mokni","doi":"10.4274/ejbh.galenos.2024.2024-10-6","DOIUrl":null,"url":null,"abstract":"<p><p>Tuberculosis (TB) of the rib is an uncommon manifestation of extrapulmonary TB that can pose significant diagnostic challenges, especially when presenting as a breast mass. We report the case of a 74-year-old woman who presented with a left breast lump, initially suspected to be a plasmacytoma due to its imaging characteristics and clinical history. The mass was surgically excised, and histopathological analysis revealed granulomatous inflammation with caseous necrosis, suggesting TB. TB-polymerase chain reaction confirmed the diagnosis, despite negative Ziehl-Neelsen staining. The patient was treated with anti-tubercular therapy for twelve months, resulting in a favorable clinical outcome. This case highlights the importance of considering rib TB in the differential diagnosis of breast masses, particularly in endemic areas, and underscores the role of comprehensive diagnostic evaluations for timely and effective treatment.</p>","PeriodicalId":93996,"journal":{"name":"European journal of breast health","volume":"21 1","pages":"85-89"},"PeriodicalIF":1.7000,"publicationDate":"2025-01-01","publicationTypes":"Journal Article","fieldsOfStudy":null,"isOpenAccess":false,"openAccessPdf":"https://www.ncbi.nlm.nih.gov/pmc/articles/PMC11706117/pdf/","citationCount":"0","resultStr":null,"platform":"Semanticscholar","paperid":null,"PeriodicalName":"European journal of breast health","FirstCategoryId":"1085","ListUrlMain":"https://doi.org/10.4274/ejbh.galenos.2024.2024-10-6","RegionNum":0,"RegionCategory":null,"ArticlePicture":[],"TitleCN":null,"AbstractTextCN":null,"PMCID":null,"EPubDate":"","PubModel":"","JCR":"Q4","JCRName":"ONCOLOGY","Score":null,"Total":0}
引用次数: 0

Abstract

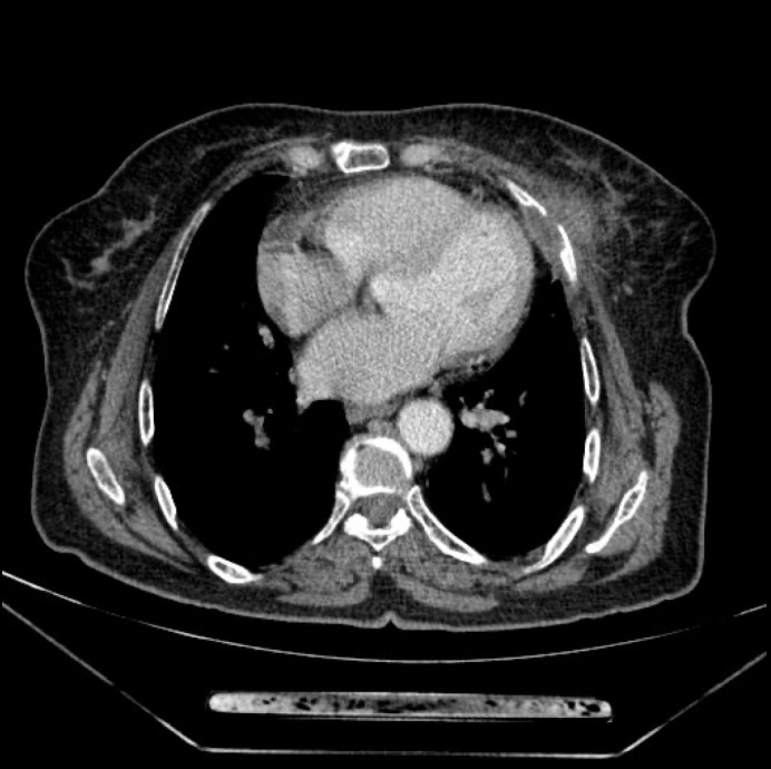
Tuberculosis (TB) of the rib is an uncommon manifestation of extrapulmonary TB that can pose significant diagnostic challenges, especially when presenting as a breast mass. We report the case of a 74-year-old woman who presented with a left breast lump, initially suspected to be a plasmacytoma due to its imaging characteristics and clinical history. The mass was surgically excised, and histopathological analysis revealed granulomatous inflammation with caseous necrosis, suggesting TB. TB-polymerase chain reaction confirmed the diagnosis, despite negative Ziehl-Neelsen staining. The patient was treated with anti-tubercular therapy for twelve months, resulting in a favorable clinical outcome. This case highlights the importance of considering rib TB in the differential diagnosis of breast masses, particularly in endemic areas, and underscores the role of comprehensive diagnostic evaluations for timely and effective treatment.

Abstract Image

Abstract Image

Abstract Image

从浆细胞瘤到肋骨结核:一个意外诊断的乳腺肿块病例。
肋骨结核(TB)是肺外结核的一种罕见表现,可构成重大的诊断挑战,特别是当表现为乳腺肿块时。我们报告一个74岁的妇女谁提出了一个左乳房肿块,最初怀疑是浆细胞瘤,由于其影像学特征和临床病史。手术切除肿块,组织病理学分析显示肉芽肿性炎症伴干酪样坏死,提示结核。结核聚合酶链反应证实了诊断,尽管Ziehl-Neelsen染色阴性。患者接受了12个月的抗结核治疗,取得了良好的临床结果。本病例强调了在鉴别诊断乳腺肿块时考虑肋骨结核的重要性,特别是在流行地区,并强调了全面诊断评估对及时有效治疗的作用。
本文章由计算机程序翻译,如有差异,请以英文原文为准。
求助全文
约1分钟内获得全文 求助全文
来源期刊
CiteScore
2.60
自引率
0.00%
发文量
0
×
引用
GB/T 7714-2015
复制
MLA
复制
APA
复制
导出至
BibTeX EndNote RefMan NoteFirst NoteExpress
×
提示
您的信息不完整,为了账户安全,请先补充。
现在去补充
×
提示
您因"违规操作"
具体请查看互助需知
我知道了
×
提示
确定
请完成安全验证×
copy
已复制链接
快去分享给好友吧!
我知道了
右上角分享
点击右上角分享
0
联系我们:info@booksci.cn Book学术提供免费学术资源搜索服务,方便国内外学者检索中英文文献。致力于提供最便捷和优质的服务体验。 Copyright © 2023 布克学术 All rights reserved.
京ICP备2023020795号-1
ghs 京公网安备 11010802042870号
Book学术文献互助
Book学术文献互助群
群 号:604180095
Book学术官方微信