Nd:YAG Laser Application for the Treatment of Retained Lens Fragment in the Anterior Chamber Following Cataract Surgery.

Q3 Medicine
Ali Mert Koçer, Bekir Eren Aksoy, Özge Uysal
{"title":"Nd:YAG Laser Application for the Treatment of Retained Lens Fragment in the Anterior Chamber Following Cataract Surgery.","authors":"Ali Mert Koçer, Bekir Eren Aksoy, Özge Uysal","doi":"10.4274/tjo.galenos.2024.27082","DOIUrl":null,"url":null,"abstract":"<p><p>Cataract surgery is the most frequently performed surgery worldwide. Although it is an effective surgical treatment option for improving patients' visual acuity, various complications can occur postoperatively. One such complication is the presence of retained lens material in the anterior chamber, which can lead to intraocular inflammation, increased intraocular pressure, corneal edema, and endothelial cell loss. Treatment options include observation and surgical removal of the retained lens material. Another notable treatment option is the use of neodymium-doped yttrium aluminum garnet (Nd:YAG) laser to fragment the retained lens material. In this paper, we aim to present two cases from our clinic where Nd:YAG laser treatment was applied to patients with retained small lens fragments in the anterior chamber following cataract surgery. It was observed that in both patients, the retained lens fragments were resorbed by the first day after Nd:YAG laser treatment, and no complications developed.</p>","PeriodicalId":23373,"journal":{"name":"Turkish Journal of Ophthalmology","volume":"54 6","pages":"364-368"},"PeriodicalIF":0.0000,"publicationDate":"2024-12-31","publicationTypes":"Journal Article","fieldsOfStudy":null,"isOpenAccess":false,"openAccessPdf":"https://www.ncbi.nlm.nih.gov/pmc/articles/PMC11707454/pdf/","citationCount":"0","resultStr":null,"platform":"Semanticscholar","paperid":null,"PeriodicalName":"Turkish Journal of Ophthalmology","FirstCategoryId":"1085","ListUrlMain":"https://doi.org/10.4274/tjo.galenos.2024.27082","RegionNum":0,"RegionCategory":null,"ArticlePicture":[],"TitleCN":null,"AbstractTextCN":null,"PMCID":null,"EPubDate":"","PubModel":"","JCR":"Q3","JCRName":"Medicine","Score":null,"Total":0}
引用次数: 0

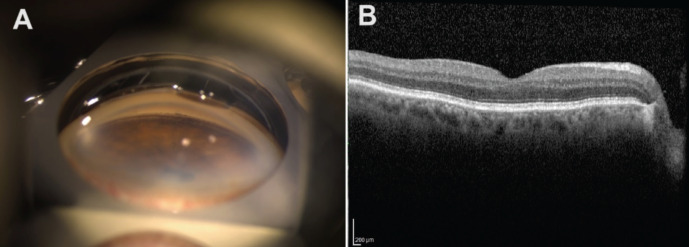
Abstract

Cataract surgery is the most frequently performed surgery worldwide. Although it is an effective surgical treatment option for improving patients' visual acuity, various complications can occur postoperatively. One such complication is the presence of retained lens material in the anterior chamber, which can lead to intraocular inflammation, increased intraocular pressure, corneal edema, and endothelial cell loss. Treatment options include observation and surgical removal of the retained lens material. Another notable treatment option is the use of neodymium-doped yttrium aluminum garnet (Nd:YAG) laser to fragment the retained lens material. In this paper, we aim to present two cases from our clinic where Nd:YAG laser treatment was applied to patients with retained small lens fragments in the anterior chamber following cataract surgery. It was observed that in both patients, the retained lens fragments were resorbed by the first day after Nd:YAG laser treatment, and no complications developed.

Abstract Image

Abstract Image

Abstract Image

Nd:YAG激光治疗白内障术后前房遗留晶状体碎片的应用。
白内障手术是世界上最常见的手术。虽然它是一种有效的手术治疗选择,以提高患者的视力,术后可发生各种并发症。其中一个并发症是晶状体物质残留在前房,可导致眼内炎症、眼压升高、角膜水肿和内皮细胞丢失。治疗方案包括观察和手术切除遗留的晶状体物质。另一个值得注意的治疗选择是使用掺钕钇铝石榴石(Nd:YAG)激光将保留的透镜材料碎片化。在本文中,我们的目的是报告我们诊所的两个病例,其中Nd:YAG激光治疗白内障手术后前房遗留小晶状体碎片的患者。观察到两例患者在Nd:YAG激光治疗后第一天晶状体碎片均被吸收,无并发症发生。
本文章由计算机程序翻译,如有差异,请以英文原文为准。
求助全文
约1分钟内获得全文 求助全文
来源期刊
Turkish Journal of Ophthalmology
Turkish Journal of Ophthalmology Medicine-Ophthalmology
CiteScore
2.20
自引率
0.00%
发文量
0
期刊介绍: The Turkish Journal of Ophthalmology (TJO) is the only scientific periodical publication of the Turkish Ophthalmological Association and has been published since January 1929. In its early years, the journal was published in Turkish and French. Although there were temporary interruptions in the publication of the journal due to various challenges, the Turkish Journal of Ophthalmology has been published continually from 1971 to the present. The target audience includes specialists and physicians in training in ophthalmology in all relevant disciplines.
×
引用
GB/T 7714-2015
复制
MLA
复制
APA
复制
导出至
BibTeX EndNote RefMan NoteFirst NoteExpress
×
提示
您的信息不完整,为了账户安全,请先补充。
现在去补充
×
提示
您因"违规操作"
具体请查看互助需知
我知道了
×
提示
确定
请完成安全验证×
copy
已复制链接
快去分享给好友吧!
我知道了
右上角分享
点击右上角分享
0
联系我们:info@booksci.cn Book学术提供免费学术资源搜索服务,方便国内外学者检索中英文文献。致力于提供最便捷和优质的服务体验。 Copyright © 2023 布克学术 All rights reserved.
京ICP备2023020795号-1
ghs 京公网安备 11010802042870号
Book学术文献互助
Book学术文献互助群
群 号:604180095
Book学术官方微信