Sinonasal Leiomyoma: A Case Report and a Review of the Literature.

Shofoluwe Nurudeen Adebola, Aliyu Oziohu Halimau, Shuaibu Iliyasu Yunusa, Ajiya Abdulrazak, Mohammed Ibrahim Babatunde, Umar Maimuna Damagum, Sanni Rasheedat Oladigbolu
{"title":"Sinonasal Leiomyoma: A Case Report and a Review of the Literature.","authors":"Shofoluwe Nurudeen Adebola, Aliyu Oziohu Halimau, Shuaibu Iliyasu Yunusa, Ajiya Abdulrazak, Mohammed Ibrahim Babatunde, Umar Maimuna Damagum, Sanni Rasheedat Oladigbolu","doi":"10.4103/jwas.jwas_181_23","DOIUrl":null,"url":null,"abstract":"<p><p>Sinonasal leiomyoma is an exceptionally rare neoplasm arising from smooth muscle cells within the sinonasal tract. This abstract presents a case study of a 43-year-old male patient diagnosed with sinonasal leiomyoma, a distinctive and challenging entity in otolaryngology. The patient presented with a complex clinical history, including a 2-year interval between initial evaluation and definitive diagnosis. Initial histology suggested a smooth muscle tumour of uncertain malignant potential, highlighting the diagnostic intricacies associated with this condition. The radiological assessment revealed an extensive soft tissue mass with the involvement of multiple adjacent structures. The patient subsequently underwent surgical resection, leading to a revised histological diagnosis of leiomyoma. This case underscores the diagnostic challenges associated with sinonasal leiomyoma, emphasising the importance of comprehensive evaluation, including clinical history, radiological imaging, and histopathological examination. Long-term follow-up is essential for monitoring potential recurrences and optimising patient outcomes. By presenting this rare case, we aim to contribute to the limited body of literature on sinonasal leiomyoma and highlight the complexities surrounding its diagnosis and management in clinical practice.</p>","PeriodicalId":73993,"journal":{"name":"Journal of the West African College of Surgeons","volume":"15 1","pages":"102-105"},"PeriodicalIF":0.0000,"publicationDate":"2025-01-01","publicationTypes":"Journal Article","fieldsOfStudy":null,"isOpenAccess":false,"openAccessPdf":"https://www.ncbi.nlm.nih.gov/pmc/articles/PMC11676015/pdf/","citationCount":"0","resultStr":null,"platform":"Semanticscholar","paperid":null,"PeriodicalName":"Journal of the West African College of Surgeons","FirstCategoryId":"1085","ListUrlMain":"https://doi.org/10.4103/jwas.jwas_181_23","RegionNum":0,"RegionCategory":null,"ArticlePicture":[],"TitleCN":null,"AbstractTextCN":null,"PMCID":null,"EPubDate":"2024/7/18 0:00:00","PubModel":"Epub","JCR":"","JCRName":"","Score":null,"Total":0}
引用次数: 0

Abstract

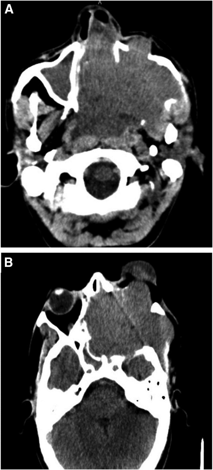
Sinonasal leiomyoma is an exceptionally rare neoplasm arising from smooth muscle cells within the sinonasal tract. This abstract presents a case study of a 43-year-old male patient diagnosed with sinonasal leiomyoma, a distinctive and challenging entity in otolaryngology. The patient presented with a complex clinical history, including a 2-year interval between initial evaluation and definitive diagnosis. Initial histology suggested a smooth muscle tumour of uncertain malignant potential, highlighting the diagnostic intricacies associated with this condition. The radiological assessment revealed an extensive soft tissue mass with the involvement of multiple adjacent structures. The patient subsequently underwent surgical resection, leading to a revised histological diagnosis of leiomyoma. This case underscores the diagnostic challenges associated with sinonasal leiomyoma, emphasising the importance of comprehensive evaluation, including clinical history, radiological imaging, and histopathological examination. Long-term follow-up is essential for monitoring potential recurrences and optimising patient outcomes. By presenting this rare case, we aim to contribute to the limited body of literature on sinonasal leiomyoma and highlight the complexities surrounding its diagnosis and management in clinical practice.

Abstract Image

Abstract Image

Abstract Image

鼻窦雷姆瘤:病例报告与文献综述
摘要鼻窦平滑肌瘤是一种罕见的肿瘤,起源于鼻窦内的平滑肌细胞。这摘要提出了一个病例研究的43岁男性患者诊断为鼻窦平滑肌瘤,一个独特的和具有挑战性的实体在耳鼻喉科。患者表现出复杂的临床病史,包括从初步评估到最终诊断之间的2年间隔。最初的组织学提示一个不确定的恶性潜能的平滑肌肿瘤,突出了与这种情况相关的诊断复杂性。放射学检查显示广泛的软组织肿块并累及多个相邻结构。患者随后接受手术切除,导致修订的组织学诊断为平滑肌瘤。本病例强调了鼻窦平滑肌瘤的诊断挑战,强调了综合评估的重要性,包括临床病史、放射影像和组织病理学检查。长期随访对于监测潜在复发和优化患者预后至关重要。通过介绍这个罕见的病例,我们的目的是对有限的关于鼻窦平滑肌瘤的文献做出贡献,并强调其在临床实践中的诊断和治疗的复杂性。
本文章由计算机程序翻译,如有差异,请以英文原文为准。
求助全文
约1分钟内获得全文 求助全文
来源期刊
自引率
0.00%
发文量
0
×
引用
GB/T 7714-2015
复制
MLA
复制
APA
复制
导出至
BibTeX EndNote RefMan NoteFirst NoteExpress
×
提示
您的信息不完整,为了账户安全,请先补充。
现在去补充
×
提示
您因"违规操作"
具体请查看互助需知
我知道了
×
提示
确定
请完成安全验证×
copy
已复制链接
快去分享给好友吧!
我知道了
右上角分享
点击右上角分享
0
联系我们:info@booksci.cn Book学术提供免费学术资源搜索服务,方便国内外学者检索中英文文献。致力于提供最便捷和优质的服务体验。 Copyright © 2023 布克学术 All rights reserved.
京ICP备2023020795号-1
ghs 京公网安备 11010802042870号
Book学术文献互助
Book学术文献互助群
群 号:604180095
Book学术官方微信