Clear Cell Papillary Renal Cell Carcinoma: Case Series with Review of the Literature.

Anshima Singh, Ram Nawal Rao
{"title":"Clear Cell Papillary Renal Cell Carcinoma: Case Series with Review of the Literature.","authors":"Anshima Singh, Ram Nawal Rao","doi":"10.4103/jwas.jwas_185_23","DOIUrl":null,"url":null,"abstract":"<p><p>Clear cell papillary renal cell carcinoma (CCPRCC) was included as a separate entity in the World Health Organisation classification of renal tumours in 2016. Immuno-histopathological and genetic characteristics are much known, but still, clinical features and long-term follow-up require more consolidated data. We report three cases of CCPRCC, detected in different clinical settings. The first case was co-incidentally diagnosed on routine imaging, in a follow-up case of open cystolithotripsy. The second case presented with haematuria under evaluation; and the third case presented with mild thrombocytopenia without anaemia or a positive Coombs test. All the cases revealed characteristic histopathological examination and immunohistochemistry. None of the patients showed tumour recurrence/metastases on follow-up. The study holds importance as it presents CCPRCC cases in different clinical scenarios, describes a rarely reported case of thrombocytopenia without associated anaemia/positive Coombs test, and emphasises the need to consider CCPRCC in relevant clinico-radiological settings and immuno-histopathological features, due to its indolent nature and consequently better prognosis.</p>","PeriodicalId":73993,"journal":{"name":"Journal of the West African College of Surgeons","volume":"15 1","pages":"114-117"},"PeriodicalIF":0.0000,"publicationDate":"2025-01-01","publicationTypes":"Journal Article","fieldsOfStudy":null,"isOpenAccess":false,"openAccessPdf":"https://www.ncbi.nlm.nih.gov/pmc/articles/PMC11676007/pdf/","citationCount":"0","resultStr":null,"platform":"Semanticscholar","paperid":null,"PeriodicalName":"Journal of the West African College of Surgeons","FirstCategoryId":"1085","ListUrlMain":"https://doi.org/10.4103/jwas.jwas_185_23","RegionNum":0,"RegionCategory":null,"ArticlePicture":[],"TitleCN":null,"AbstractTextCN":null,"PMCID":null,"EPubDate":"2024/7/18 0:00:00","PubModel":"Epub","JCR":"","JCRName":"","Score":null,"Total":0}
引用次数: 0

Abstract

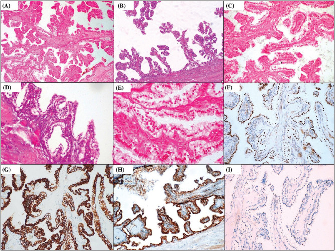
Clear cell papillary renal cell carcinoma (CCPRCC) was included as a separate entity in the World Health Organisation classification of renal tumours in 2016. Immuno-histopathological and genetic characteristics are much known, but still, clinical features and long-term follow-up require more consolidated data. We report three cases of CCPRCC, detected in different clinical settings. The first case was co-incidentally diagnosed on routine imaging, in a follow-up case of open cystolithotripsy. The second case presented with haematuria under evaluation; and the third case presented with mild thrombocytopenia without anaemia or a positive Coombs test. All the cases revealed characteristic histopathological examination and immunohistochemistry. None of the patients showed tumour recurrence/metastases on follow-up. The study holds importance as it presents CCPRCC cases in different clinical scenarios, describes a rarely reported case of thrombocytopenia without associated anaemia/positive Coombs test, and emphasises the need to consider CCPRCC in relevant clinico-radiological settings and immuno-histopathological features, due to its indolent nature and consequently better prognosis.

Abstract Image

透明细胞乳头状肾细胞癌:病例系列及文献复习。
透明细胞乳头状肾细胞癌(CCPRCC)于2016年作为一个单独的实体被列入世界卫生组织肾肿瘤分类。免疫组织病理学和遗传特征是众所周知的,但仍然,临床特征和长期随访需要更多的巩固数据。我们报告三例CCPRCC,在不同的临床环境中检测到。第一个病例是在常规影像学上偶然诊断出来的,在一个随访的开放性膀胱碎石病例中。第二例出现血尿,正在评估中;第三例表现为轻度血小板减少症,无贫血或库姆斯试验阳性。所有病例均行特征性组织病理学检查和免疫组织化学检查。随访中,所有患者均未出现肿瘤复发/转移。该研究具有重要意义,因为它介绍了不同临床情况下的CCPRCC病例,描述了一例罕见的无相关贫血/ Coombs试验阳性的血小板减少病例,并强调需要在相关的临床放射学环境和免疫组织病理学特征中考虑CCPRCC,因为它的惰性性质,因此预后较好。
本文章由计算机程序翻译,如有差异,请以英文原文为准。
求助全文
约1分钟内获得全文 求助全文
来源期刊
自引率
0.00%
发文量
0
×
引用
GB/T 7714-2015
复制
MLA
复制
APA
复制
导出至
BibTeX EndNote RefMan NoteFirst NoteExpress
×
提示
您的信息不完整,为了账户安全,请先补充。
现在去补充
×
提示
您因"违规操作"
具体请查看互助需知
我知道了
×
提示
确定
请完成安全验证×
copy
已复制链接
快去分享给好友吧!
我知道了
右上角分享
点击右上角分享
0
联系我们:info@booksci.cn Book学术提供免费学术资源搜索服务,方便国内外学者检索中英文文献。致力于提供最便捷和优质的服务体验。 Copyright © 2023 布克学术 All rights reserved.
京ICP备2023020795号-1
ghs 京公网安备 11010802042870号
Book学术文献互助
Book学术文献互助群
群 号:604180095
Book学术官方微信