Triple-Vessel Spontaneous Coronary Artery Dissection Managed Conservatively.

IF 0.5 Q4 CARDIAC & CARDIOVASCULAR SYSTEMS
Case Reports in Cardiology Pub Date : 2024-12-19 eCollection Date: 2024-01-01 DOI:10.1155/cric/7144164
Garen S Kroshian, Matthew J Cozzolino, Edeliz Flores, Sheilah A Bernard
{"title":"Triple-Vessel Spontaneous Coronary Artery Dissection Managed Conservatively.","authors":"Garen S Kroshian, Matthew J Cozzolino, Edeliz Flores, Sheilah A Bernard","doi":"10.1155/cric/7144164","DOIUrl":null,"url":null,"abstract":"<p><p>The management of spontaneous coronary artery dissection (SCAD) presents challenges and uncertainties. We present a case of a 54-year-old woman who developed SCAD in the three primary coronary artery territories including the distal left anterior descending artery (LAD), a diagonal branch, the first and second obtuse marginals (OMs), and the midright coronary artery (RCA). She was managed conservatively without procedural intervention, and follow-up coronary angiography demonstrated complete recovery.</p>","PeriodicalId":51760,"journal":{"name":"Case Reports in Cardiology","volume":"2024 ","pages":"7144164"},"PeriodicalIF":0.5000,"publicationDate":"2024-12-19","publicationTypes":"Journal Article","fieldsOfStudy":null,"isOpenAccess":false,"openAccessPdf":"https://www.ncbi.nlm.nih.gov/pmc/articles/PMC11671644/pdf/","citationCount":"0","resultStr":null,"platform":"Semanticscholar","paperid":null,"PeriodicalName":"Case Reports in Cardiology","FirstCategoryId":"1085","ListUrlMain":"https://doi.org/10.1155/cric/7144164","RegionNum":0,"RegionCategory":null,"ArticlePicture":[],"TitleCN":null,"AbstractTextCN":null,"PMCID":null,"EPubDate":"2024/1/1 0:00:00","PubModel":"eCollection","JCR":"Q4","JCRName":"CARDIAC & CARDIOVASCULAR SYSTEMS","Score":null,"Total":0}
引用次数: 0

Abstract

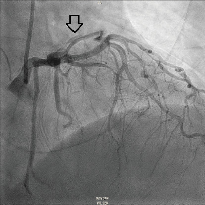
The management of spontaneous coronary artery dissection (SCAD) presents challenges and uncertainties. We present a case of a 54-year-old woman who developed SCAD in the three primary coronary artery territories including the distal left anterior descending artery (LAD), a diagonal branch, the first and second obtuse marginals (OMs), and the midright coronary artery (RCA). She was managed conservatively without procedural intervention, and follow-up coronary angiography demonstrated complete recovery.

Abstract Image

Abstract Image

Abstract Image

三支自发性冠状动脉夹层保守治疗。
自发性冠状动脉夹层(SCAD)的治疗存在挑战和不确定性。我们报告了一例54岁的女性,她在三个主要冠状动脉区域发生了SCAD,包括左前降支远端,对角分支,第一和第二钝缘(OMs)和右冠状动脉(RCA)。患者接受保守治疗,无手术干预,随访冠状动脉造影显示完全恢复。
本文章由计算机程序翻译,如有差异,请以英文原文为准。
求助全文
约1分钟内获得全文 求助全文
来源期刊
Case Reports in Cardiology
Case Reports in Cardiology CARDIAC & CARDIOVASCULAR SYSTEMS-
自引率
0.00%
发文量
63
审稿时长
13 weeks
期刊介绍: Case Reports in Cardiology is a peer-reviewed, Open Access journal that publishes case reports and case series related to hypertension, arrhythmia, congestive heart failure, valvular heart disease, vascular disease, congenital heart disease and cardiomyopathy.
×
引用
GB/T 7714-2015
复制
MLA
复制
APA
复制
导出至
BibTeX EndNote RefMan NoteFirst NoteExpress
×
提示
您的信息不完整,为了账户安全,请先补充。
现在去补充
×
提示
您因"违规操作"
具体请查看互助需知
我知道了
×
提示
确定
请完成安全验证×
copy
已复制链接
快去分享给好友吧!
我知道了
右上角分享
点击右上角分享
0
联系我们:info@booksci.cn Book学术提供免费学术资源搜索服务,方便国内外学者检索中英文文献。致力于提供最便捷和优质的服务体验。 Copyright © 2023 布克学术 All rights reserved.
京ICP备2023020795号-1
ghs 京公网安备 11010802042870号
Book学术文献互助
Book学术文献互助群
群 号:604180095
Book学术官方微信