Congenital Fibrolipoma with Hamartomatous Changes of the Internal Jugular Vein: First Published Case Report.

Q2 Medicine
Methodist DeBakey cardiovascular journal Pub Date : 2024-12-26 eCollection Date: 2024-01-01 DOI:10.14797/mdcvj.1519
Samer Regal, Tamer A Khafagy, Mohamed S AbdelGawad, Ehab M Saad, Ahmed A Ali
{"title":"Congenital Fibrolipoma with Hamartomatous Changes of the Internal Jugular Vein: First Published Case Report.","authors":"Samer Regal, Tamer A Khafagy, Mohamed S AbdelGawad, Ehab M Saad, Ahmed A Ali","doi":"10.14797/mdcvj.1519","DOIUrl":null,"url":null,"abstract":"<p><p>A 25-year-old female presented with a congenital painless growing mass on the right side of her neck with symptoms of tinnitus and difficulty breathing. Imaging revealed an aneurysm of the internal jugular vein reaching a maximum diameter of 9.2 cm, shifting the trachea and right thyroid lobe to the left side. Simple excision was sufficient to treat compression symptoms and prevent potential thrombosis and embolism. This is the first reported case of aneurysmal internal jugular vein with fibrofatty degeneration and hamartomatous wall morphology associated with compression symptoms.</p>","PeriodicalId":39207,"journal":{"name":"Methodist DeBakey cardiovascular journal","volume":"20 1","pages":"113-118"},"PeriodicalIF":0.0000,"publicationDate":"2024-12-26","publicationTypes":"Journal Article","fieldsOfStudy":null,"isOpenAccess":false,"openAccessPdf":"https://www.ncbi.nlm.nih.gov/pmc/articles/PMC11673465/pdf/","citationCount":"0","resultStr":null,"platform":"Semanticscholar","paperid":null,"PeriodicalName":"Methodist DeBakey cardiovascular journal","FirstCategoryId":"1085","ListUrlMain":"https://doi.org/10.14797/mdcvj.1519","RegionNum":0,"RegionCategory":null,"ArticlePicture":[],"TitleCN":null,"AbstractTextCN":null,"PMCID":null,"EPubDate":"2024/1/1 0:00:00","PubModel":"eCollection","JCR":"Q2","JCRName":"Medicine","Score":null,"Total":0}
引用次数: 0

Abstract

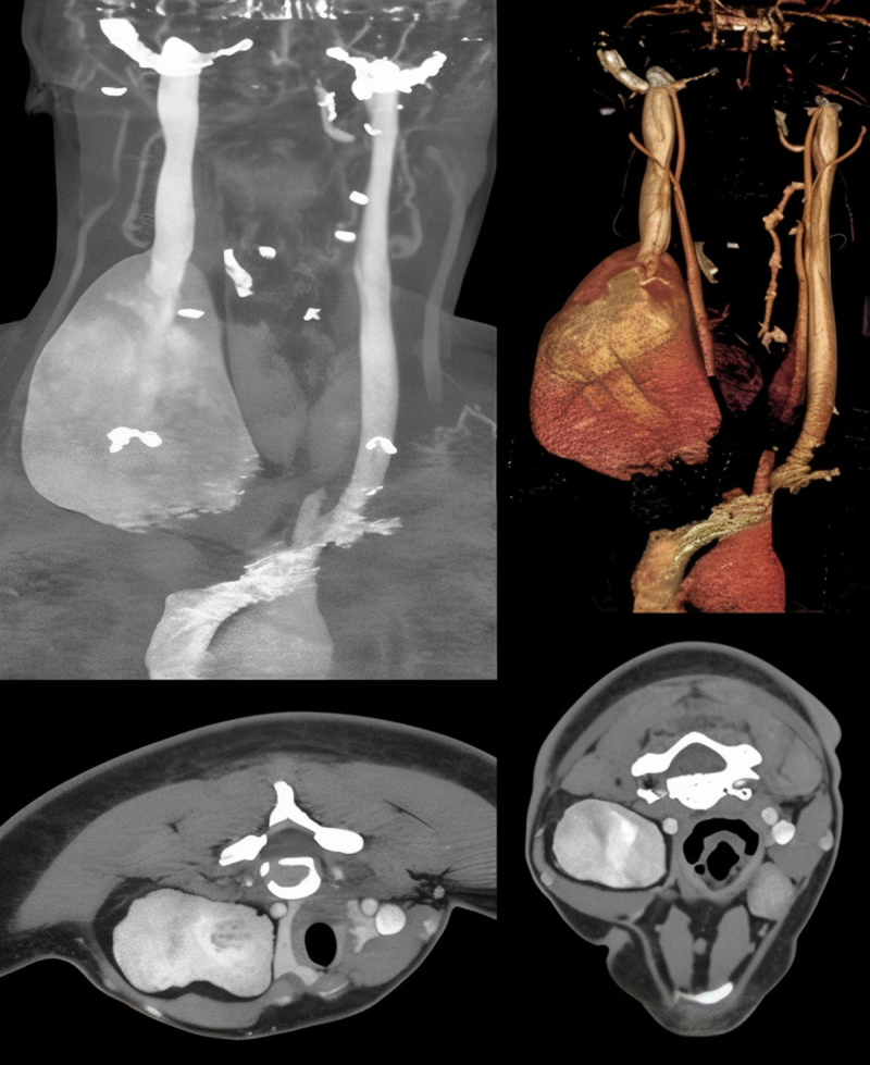
A 25-year-old female presented with a congenital painless growing mass on the right side of her neck with symptoms of tinnitus and difficulty breathing. Imaging revealed an aneurysm of the internal jugular vein reaching a maximum diameter of 9.2 cm, shifting the trachea and right thyroid lobe to the left side. Simple excision was sufficient to treat compression symptoms and prevent potential thrombosis and embolism. This is the first reported case of aneurysmal internal jugular vein with fibrofatty degeneration and hamartomatous wall morphology associated with compression symptoms.

Abstract Image

Abstract Image

Abstract Image

先天性纤维脂肪瘤伴颈内静脉错构瘤改变:首次发表病例报告。
25岁女性,颈部右侧先天性无痛性生长肿块,伴有耳鸣和呼吸困难。影像学显示颈内静脉动脉瘤最大直径达9.2 cm,气管和右甲状腺叶向左侧移位。单纯的切除足以治疗压迫症状,防止潜在的血栓形成和栓塞。这是首次报道的动脉瘤性颈内静脉纤维脂肪变性和错构瘤壁形态与压迫症状相关的病例。
本文章由计算机程序翻译,如有差异,请以英文原文为准。
求助全文
约1分钟内获得全文 求助全文
来源期刊
CiteScore
2.30
自引率
0.00%
发文量
65
×
引用
GB/T 7714-2015
复制
MLA
复制
APA
复制
导出至
BibTeX EndNote RefMan NoteFirst NoteExpress
×
提示
您的信息不完整,为了账户安全,请先补充。
现在去补充
×
提示
您因"违规操作"
具体请查看互助需知
我知道了
×
提示
确定
请完成安全验证×
copy
已复制链接
快去分享给好友吧!
我知道了
右上角分享
点击右上角分享
0
联系我们:info@booksci.cn Book学术提供免费学术资源搜索服务,方便国内外学者检索中英文文献。致力于提供最便捷和优质的服务体验。 Copyright © 2023 布克学术 All rights reserved.
京ICP备2023020795号-1
ghs 京公网安备 11010802042870号
Book学术文献互助
Book学术文献互助群
群 号:604180095
Book学术官方微信