The Antioxidant and Anti-Inflammatory Impacts of Purple and White Eggplants on Fertility and Expression of Fertility-Related Genes in Rats Treated With Aluminum Chloride.

IF 3 Q2 TOXICOLOGY
Journal of Toxicology Pub Date : 2024-12-21 eCollection Date: 2024-01-01 DOI:10.1155/jt/8215321
Amira M Elmoslemany, Medhat Rehan, Fatmah Ahmed Safhi, Neveen M Zeima, Marwa Fawzy El-Hassnin, Sabry Ali Elnaggar, Ibtesam S Almami, Amina Zedan
{"title":"The Antioxidant and Anti-Inflammatory Impacts of Purple and White Eggplants on Fertility and Expression of Fertility-Related Genes in Rats Treated With Aluminum Chloride.","authors":"Amira M Elmoslemany, Medhat Rehan, Fatmah Ahmed Safhi, Neveen M Zeima, Marwa Fawzy El-Hassnin, Sabry Ali Elnaggar, Ibtesam S Almami, Amina Zedan","doi":"10.1155/jt/8215321","DOIUrl":null,"url":null,"abstract":"<p><p>The environmental xenobiotic aluminum chloride (AlCl<sub>3</sub>) destroys reproduction via free radicals. The present study aimed at evaluating the impact of purple and white eggplant on rat fertility when exposed to AlCl<sub>3</sub>. A total of 36 male albino rats were divided into six groups: a negative control, the second given AlCl<sub>3</sub> (17 mg/kg b.w.) for 28 days, the third and fourth given a basal diet with 5% and 10% white eggplant powder, and the fifth and sixth given a basal diet with 5% and 10% purple eggplant powder. AlCl<sub>3</sub> reduced follicular-stimulating hormone (FSH), plasma testosterone, sperm count, motility, and viability, luteinizing hormone (LH), glutathione peroxidase (GPx), superoxide dismutase (SOD), and catalase (CAT) activities. On the contrary, malondialdehyde (MDA) and tumor necrosis factor alpha (TNF-<i>α</i>) disclosed considerable increases. Besides, reproductive hormones, antioxidant enzymes, and sperm quality were significantly enhanced in the treated groups with eggplants. A downregulation in the expression of <i>Fkbp6, Ccna1,</i> and <i>Cyp19A1</i> was detected, and normal expression was restored after treatment with high dose from eggplant (10%) without significant differences, whereas <i>Msh4 and Cdk2</i> genes continued in their down expression and measured decrease up to 60% in <i>Msh4</i> and 40% in <i>Cdk2</i> in their mRNA levels after treatment with high dosage from eggplant, respectively. Alternatively, rats treated with eggplant at high dose (10%) gained more body weight (33%) and much bigger testicles (1.30 ± 0.05 g) when compared to AlCl<sub>3</sub>-treated rats (gained only 16% more body weight and 1.04 ± 0.06 g testis weight) after 28 days, subsequently, the eggplant reduced the side effect of AlCl3-induced toxicity. AlCl<sub>3</sub> induced broad cytotoxic effects in seminiferous tubules, and the antioxidant and anti-inflammatory activities of eggplant minimized the histological alteration in rat testes.</p>","PeriodicalId":17421,"journal":{"name":"Journal of Toxicology","volume":"2024 ","pages":"8215321"},"PeriodicalIF":3.0000,"publicationDate":"2024-12-21","publicationTypes":"Journal Article","fieldsOfStudy":null,"isOpenAccess":false,"openAccessPdf":"https://www.ncbi.nlm.nih.gov/pmc/articles/PMC11681986/pdf/","citationCount":"0","resultStr":null,"platform":"Semanticscholar","paperid":null,"PeriodicalName":"Journal of Toxicology","FirstCategoryId":"3","ListUrlMain":"https://doi.org/10.1155/jt/8215321","RegionNum":0,"RegionCategory":null,"ArticlePicture":[],"TitleCN":null,"AbstractTextCN":null,"PMCID":null,"EPubDate":"2024/1/1 0:00:00","PubModel":"eCollection","JCR":"Q2","JCRName":"TOXICOLOGY","Score":null,"Total":0}
引用次数: 0

Abstract

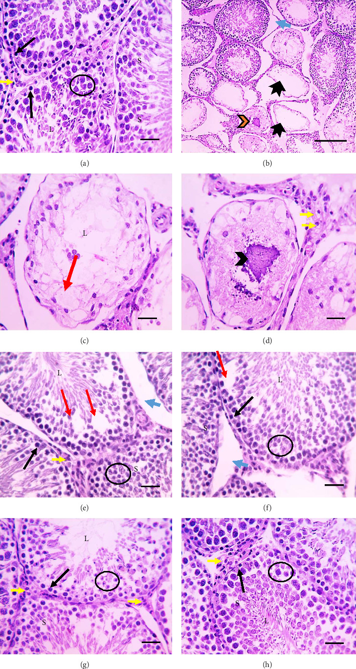
The environmental xenobiotic aluminum chloride (AlCl3) destroys reproduction via free radicals. The present study aimed at evaluating the impact of purple and white eggplant on rat fertility when exposed to AlCl3. A total of 36 male albino rats were divided into six groups: a negative control, the second given AlCl3 (17 mg/kg b.w.) for 28 days, the third and fourth given a basal diet with 5% and 10% white eggplant powder, and the fifth and sixth given a basal diet with 5% and 10% purple eggplant powder. AlCl3 reduced follicular-stimulating hormone (FSH), plasma testosterone, sperm count, motility, and viability, luteinizing hormone (LH), glutathione peroxidase (GPx), superoxide dismutase (SOD), and catalase (CAT) activities. On the contrary, malondialdehyde (MDA) and tumor necrosis factor alpha (TNF-α) disclosed considerable increases. Besides, reproductive hormones, antioxidant enzymes, and sperm quality were significantly enhanced in the treated groups with eggplants. A downregulation in the expression of Fkbp6, Ccna1, and Cyp19A1 was detected, and normal expression was restored after treatment with high dose from eggplant (10%) without significant differences, whereas Msh4 and Cdk2 genes continued in their down expression and measured decrease up to 60% in Msh4 and 40% in Cdk2 in their mRNA levels after treatment with high dosage from eggplant, respectively. Alternatively, rats treated with eggplant at high dose (10%) gained more body weight (33%) and much bigger testicles (1.30 ± 0.05 g) when compared to AlCl3-treated rats (gained only 16% more body weight and 1.04 ± 0.06 g testis weight) after 28 days, subsequently, the eggplant reduced the side effect of AlCl3-induced toxicity. AlCl3 induced broad cytotoxic effects in seminiferous tubules, and the antioxidant and anti-inflammatory activities of eggplant minimized the histological alteration in rat testes.

Abstract Image

Abstract Image

Abstract Image

紫色和白色茄子抗氧化和抗炎对氯化铝处理大鼠生育能力及生育相关基因表达的影响。
环境外生物氯化铝(AlCl3)通过自由基破坏生殖。本研究旨在评估暴露于AlCl3的紫色和白色茄子对大鼠生育能力的影响。将36只雄性白化大鼠分为6组:阴性对照,第2组给予AlCl3 (17 mg/kg b.w),连续28 d,第3、4组给予基础饲粮中添加5%、10%白茄子粉,第5、6组给予基础饲粮中添加5%、10%紫茄子粉。AlCl3降低卵泡刺激素(FSH)、血浆睾酮、精子数量、活力和活力、黄体生成素(LH)、谷胱甘肽过氧化物酶(GPx)、超氧化物歧化酶(SOD)和过氧化氢酶(CAT)活性。相反,丙二醛(MDA)和肿瘤坏死因子α (TNF-α)明显升高。此外,茄子处理组的生殖激素、抗氧化酶和精子质量均显著提高。Fkbp6、Ccna1和Cyp19A1表达下调,高剂量茄子处理后(10%)恢复正常表达,无显著差异,而Msh4和Cdk2基因继续下调表达,高剂量茄子处理后Msh4和Cdk2 mRNA水平分别下降60%和40%。另一方面,高剂量(10%)茄子处理的大鼠在28天后比alcl3处理的大鼠(仅增加16%的体重和1.04±0.06 g睾丸重量)增加了33%的体重和更大的睾丸(1.30±0.05 g),随后茄子减少了alcl3诱导的毒性副作用。AlCl3对大鼠精小管具有广泛的细胞毒作用,茄子的抗氧化和抗炎活性使大鼠睾丸的组织学改变最小化。
本文章由计算机程序翻译,如有差异,请以英文原文为准。
求助全文
约1分钟内获得全文 求助全文
来源期刊
Journal of Toxicology
Journal of Toxicology TOXICOLOGY-
CiteScore
5.50
自引率
3.40%
发文量
0
审稿时长
10 weeks
期刊介绍: Journal of Toxicology is a peer-reviewed, Open Access journal that publishes original research articles, review articles, and clinical studies in all areas of toxicological sciences. The journal will consider articles looking at the structure, function, and mechanism of agents that are toxic to humans and/or animals, as well as toxicological medicine, risk assessment, safety evaluation, and environmental health.
×
引用
GB/T 7714-2015
复制
MLA
复制
APA
复制
导出至
BibTeX EndNote RefMan NoteFirst NoteExpress
×
提示
您的信息不完整,为了账户安全,请先补充。
现在去补充
×
提示
您因"违规操作"
具体请查看互助需知
我知道了
×
提示
确定
请完成安全验证×
copy
已复制链接
快去分享给好友吧!
我知道了
右上角分享
点击右上角分享
0
联系我们:info@booksci.cn Book学术提供免费学术资源搜索服务,方便国内外学者检索中英文文献。致力于提供最便捷和优质的服务体验。 Copyright © 2023 布克学术 All rights reserved.
京ICP备2023020795号-1
ghs 京公网安备 11010802042870号
Book学术文献互助
Book学术文献互助群
群 号:604180095
Book学术官方微信