Olmesartan-Induced Enteropathy: A Rare Case of Chronic Diarrhea.

IF 0.7 Q3 MEDICINE, GENERAL & INTERNAL
Case Reports in Medicine Pub Date : 2024-12-19 eCollection Date: 2024-01-01 DOI:10.1155/carm/2666671
Sofia Emerenciano Gurgel, Kleyton Santos de Medeiros, Sarah Jane Lima de Paiva, José Gurgel Filho
{"title":"Olmesartan-Induced Enteropathy: A Rare Case of Chronic Diarrhea.","authors":"Sofia Emerenciano Gurgel, Kleyton Santos de Medeiros, Sarah Jane Lima de Paiva, José Gurgel Filho","doi":"10.1155/carm/2666671","DOIUrl":null,"url":null,"abstract":"<p><p>The case involves a 63-year-old hypertensive man, taking antihypertensive medication (olmesartan) for the previous two years, who sought medical attention due to voluminous diarrhea, with several episodes per day and weight loss of 10 kg. He was submitted to a series of diagnostic procedures without elucidation and empirical treatment with unsuccessful outcome. After hospitalization for clinical stabilization and for presenting with duodenal atrophy, obtained by duodenal biopsy associated with negative markers for celiac disease, the patient was diagnosed with suspected olmesartan-induced enteropathy, showing rapid improvement of diarrhea after the drug was withdrawn, with weight regain in 6 months and normalization of the duodenal histological picture after 10 months.</p>","PeriodicalId":9627,"journal":{"name":"Case Reports in Medicine","volume":"2024 ","pages":"2666671"},"PeriodicalIF":0.7000,"publicationDate":"2024-12-19","publicationTypes":"Journal Article","fieldsOfStudy":null,"isOpenAccess":false,"openAccessPdf":"https://www.ncbi.nlm.nih.gov/pmc/articles/PMC11671654/pdf/","citationCount":"0","resultStr":null,"platform":"Semanticscholar","paperid":null,"PeriodicalName":"Case Reports in Medicine","FirstCategoryId":"1085","ListUrlMain":"https://doi.org/10.1155/carm/2666671","RegionNum":0,"RegionCategory":null,"ArticlePicture":[],"TitleCN":null,"AbstractTextCN":null,"PMCID":null,"EPubDate":"2024/1/1 0:00:00","PubModel":"eCollection","JCR":"Q3","JCRName":"MEDICINE, GENERAL & INTERNAL","Score":null,"Total":0}
引用次数: 0

Abstract

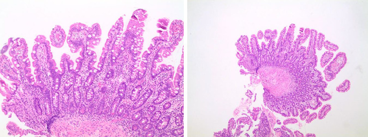
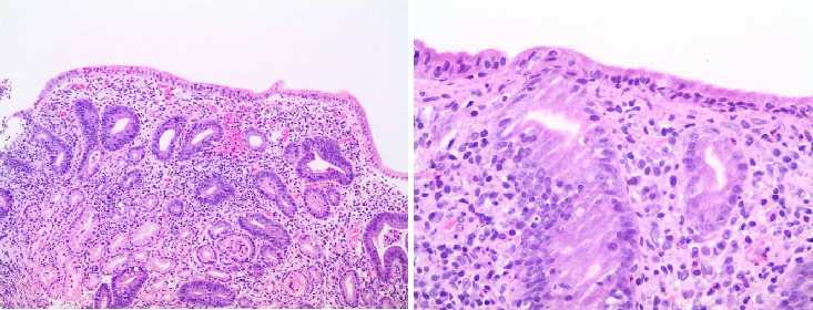
The case involves a 63-year-old hypertensive man, taking antihypertensive medication (olmesartan) for the previous two years, who sought medical attention due to voluminous diarrhea, with several episodes per day and weight loss of 10 kg. He was submitted to a series of diagnostic procedures without elucidation and empirical treatment with unsuccessful outcome. After hospitalization for clinical stabilization and for presenting with duodenal atrophy, obtained by duodenal biopsy associated with negative markers for celiac disease, the patient was diagnosed with suspected olmesartan-induced enteropathy, showing rapid improvement of diarrhea after the drug was withdrawn, with weight regain in 6 months and normalization of the duodenal histological picture after 10 months.

Abstract Image

Abstract Image

奥美沙坦诱发的肠病:慢性腹泻的罕见病例。
该病例涉及一名63岁高血压男性,服用降压药(奥美沙坦)两年,因大量腹泻求医,每天发作几次,体重减轻10公斤。他被提交了一系列的诊断程序,没有阐明和经验治疗的结果不成功。患者住院治疗后临床稳定,十二指肠活检显示十二指肠萎缩,腹腔疾病标志物阴性,诊断为疑似奥美沙坦诱发的肠病,停药后腹泻迅速改善,6个月后体重恢复,10个月后十二指肠组织学图恢复正常。
本文章由计算机程序翻译,如有差异,请以英文原文为准。
求助全文
约1分钟内获得全文 求助全文
来源期刊
Case Reports in Medicine
Case Reports in Medicine MEDICINE, GENERAL & INTERNAL-
CiteScore
1.70
自引率
0.00%
发文量
53
审稿时长
13 weeks
×
引用
GB/T 7714-2015
复制
MLA
复制
APA
复制
导出至
BibTeX EndNote RefMan NoteFirst NoteExpress
×
提示
您的信息不完整,为了账户安全,请先补充。
现在去补充
×
提示
您因"违规操作"
具体请查看互助需知
我知道了
×
提示
确定
请完成安全验证×
copy
已复制链接
快去分享给好友吧!
我知道了
右上角分享
点击右上角分享
0
联系我们:info@booksci.cn Book学术提供免费学术资源搜索服务,方便国内外学者检索中英文文献。致力于提供最便捷和优质的服务体验。 Copyright © 2023 布克学术 All rights reserved.
京ICP备2023020795号-1
ghs 京公网安备 11010802042870号
Book学术文献互助
Book学术文献互助群
群 号:604180095
Book学术官方微信