Utility of Adrenal Vein Sampling to Guide Surgical Management of Hypercortisolism.

IF 0.9 Q4 ENDOCRINOLOGY & METABOLISM
Case Reports in Endocrinology Pub Date : 2024-12-19 eCollection Date: 2024-01-01 DOI:10.1155/crie/2720854
Brandon Tran, James Y Lim, Brian Park
{"title":"Utility of Adrenal Vein Sampling to Guide Surgical Management of Hypercortisolism.","authors":"Brandon Tran, James Y Lim, Brian Park","doi":"10.1155/crie/2720854","DOIUrl":null,"url":null,"abstract":"<p><p>We report a case of successfully lateralized adrenal cortisol hypersecretion by adrenal venous sampling (AVS) and improved by surgery. AVS is a commonly used tool to guide surgical management of primary hyperaldosteronism. It can determine lateralization, leading to unilateral adrenalectomies of the correct side, or nonlateralization, which precludes surgery. The use of AVS in determining lateralization in hypercortisolism is a growing field of discussion. Currently, there is no defined or unanimous protocol behind procedural details and interpretation of results. In this report, we describe the AVS protocol at our institution for hypercortisolism, interpretation of the results, and corresponding surgical outcomes for a case of mild autonomous cortisol secretion.</p>","PeriodicalId":9621,"journal":{"name":"Case Reports in Endocrinology","volume":"2024 ","pages":"2720854"},"PeriodicalIF":0.9000,"publicationDate":"2024-12-19","publicationTypes":"Journal Article","fieldsOfStudy":null,"isOpenAccess":false,"openAccessPdf":"https://www.ncbi.nlm.nih.gov/pmc/articles/PMC11671651/pdf/","citationCount":"0","resultStr":null,"platform":"Semanticscholar","paperid":null,"PeriodicalName":"Case Reports in Endocrinology","FirstCategoryId":"1085","ListUrlMain":"https://doi.org/10.1155/crie/2720854","RegionNum":0,"RegionCategory":null,"ArticlePicture":[],"TitleCN":null,"AbstractTextCN":null,"PMCID":null,"EPubDate":"2024/1/1 0:00:00","PubModel":"eCollection","JCR":"Q4","JCRName":"ENDOCRINOLOGY & METABOLISM","Score":null,"Total":0}
引用次数: 0

Abstract

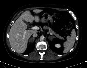
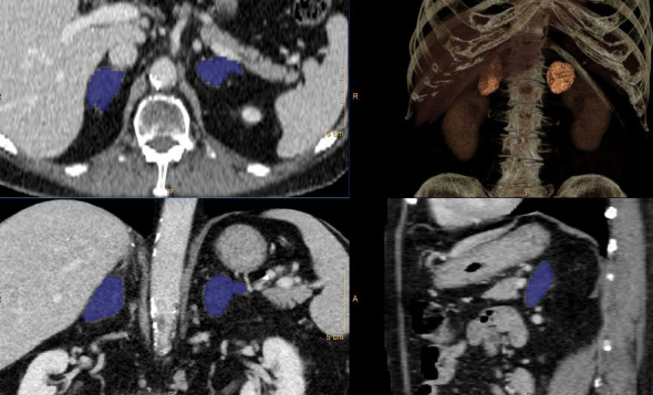
We report a case of successfully lateralized adrenal cortisol hypersecretion by adrenal venous sampling (AVS) and improved by surgery. AVS is a commonly used tool to guide surgical management of primary hyperaldosteronism. It can determine lateralization, leading to unilateral adrenalectomies of the correct side, or nonlateralization, which precludes surgery. The use of AVS in determining lateralization in hypercortisolism is a growing field of discussion. Currently, there is no defined or unanimous protocol behind procedural details and interpretation of results. In this report, we describe the AVS protocol at our institution for hypercortisolism, interpretation of the results, and corresponding surgical outcomes for a case of mild autonomous cortisol secretion.

Abstract Image

Abstract Image

Abstract Image

肾上腺静脉取样在指导高皮质醇症手术治疗中的作用
我们报告一例成功侧化肾上腺皮质醇高分泌肾上腺静脉取样(AVS)和改善手术。AVS是指导原发性高醛固酮增多症手术治疗的常用工具。它可以确定侧化,导致右侧的单侧肾上腺切除术,或非侧化,排除手术。使用AVS来确定高皮质醇症的侧化是一个越来越多的讨论领域。目前,在程序细节和结果解释背后没有明确的或一致的协议。在这篇报告中,我们描述了在我们机构治疗高皮质醇症的AVS方案,对结果的解释,以及对轻度自主皮质醇分泌病例的相应手术结果。
本文章由计算机程序翻译,如有差异,请以英文原文为准。
求助全文
约1分钟内获得全文 求助全文
来源期刊
Case Reports in Endocrinology
Case Reports in Endocrinology ENDOCRINOLOGY & METABOLISM-
CiteScore
2.10
自引率
0.00%
发文量
45
审稿时长
13 weeks
×
引用
GB/T 7714-2015
复制
MLA
复制
APA
复制
导出至
BibTeX EndNote RefMan NoteFirst NoteExpress
×
提示
您的信息不完整,为了账户安全,请先补充。
现在去补充
×
提示
您因"违规操作"
具体请查看互助需知
我知道了
×
提示
确定
请完成安全验证×
copy
已复制链接
快去分享给好友吧!
我知道了
右上角分享
点击右上角分享
0
联系我们:info@booksci.cn Book学术提供免费学术资源搜索服务,方便国内外学者检索中英文文献。致力于提供最便捷和优质的服务体验。 Copyright © 2023 布克学术 All rights reserved.
京ICP备2023020795号-1
ghs 京公网安备 11010802042870号
Book学术文献互助
Book学术文献互助群
群 号:604180095
Book学术官方微信