Placental Macrovascular Pattern from Pregnancies with Maternal Hypertensive and Fetal Growth Capacity Complications.

IF 2.6 Q2 PATHOLOGY
Kamilya Makhambetova, Yevgeniy Kamyshanskiy, Olga Ponamareva, Zhanna Amirbekova, Nazerke Oshakhtiyeva, Saule Kunanbaeva
{"title":"Placental Macrovascular Pattern from Pregnancies with Maternal Hypertensive and Fetal Growth Capacity Complications.","authors":"Kamilya Makhambetova, Yevgeniy Kamyshanskiy, Olga Ponamareva, Zhanna Amirbekova, Nazerke Oshakhtiyeva, Saule Kunanbaeva","doi":"10.3390/pathophysiology31040050","DOIUrl":null,"url":null,"abstract":"<p><p>Histomorphometric measurements of the wall thickness and internal diameter of the macrovessels of the chorionic villi of placentas from pregnancies complicated by preeclampsia or fetal growth restriction in comparison with normotensive pregnancy.</p><p><strong>Methods: </strong>The research included placentas from singleton pregnancies complicated by preeclampsia and/or fetal growth restriction, women delivered in medical institutions in Karaganda city (Kazakhstan). Placentas were divided into three groups: PE (<i>n</i> = 59), isolated FGR (<i>n</i> = 24), and PE with FGR (<i>n</i> = 41). The control group consisted of normotensive pregnancies, compared by gestation period. Placental examination and selection of placental tissue fragments were carried out in accordance with the consensus recommendations of the Amsterdam Placental Workshop Group. The sections were stained with hematoxylin and eosin and Masson trichrome. Morphometric measurements were performed using ImageJ software version 1.52p.</p><p><strong>Results: </strong>Our data showed that, in the PE group, there was a significant decrease in the wall thickness of the proximal and distal vessels with an increase in internal diameter compared with the control group (<i>p</i> < 0.01). In the PE + FGR group, there was a thickening of the wall of the proximal part of the vessels with a decrease in their lumen and a decrease in the wall thickness of the vessels with an increase in the lumen in the distal part compared with the control group (<i>p</i> < 0.01).</p><p><strong>Conclusions: </strong>Two histopatterns of placental macrovessels in preeclampsia were revealed: the histophenotype of diffuse (proximal and distal) ectatic macroangiopathy with a thin vascular wall with a decrease in the thickness of the muscle layer and the histophenotype of proximal fibromuscular sclerosis with vascular obliteration/spasm and distal ectatic macroangiopathy. We believe that significant structural differences in vascular remodeling may reflect the different temporal and spatial nature of the pathological factor. Future research is needed to investigate the associations between histopatterns of placental vascular remodeling in preeclampsia and long-term perinatal/maternal outcomes.</p>","PeriodicalId":19852,"journal":{"name":"Pathophysiology","volume":"31 4","pages":"699-708"},"PeriodicalIF":2.6000,"publicationDate":"2024-12-05","publicationTypes":"Journal Article","fieldsOfStudy":null,"isOpenAccess":false,"openAccessPdf":"https://www.ncbi.nlm.nih.gov/pmc/articles/PMC11679333/pdf/","citationCount":"0","resultStr":null,"platform":"Semanticscholar","paperid":null,"PeriodicalName":"Pathophysiology","FirstCategoryId":"1085","ListUrlMain":"https://doi.org/10.3390/pathophysiology31040050","RegionNum":0,"RegionCategory":null,"ArticlePicture":[],"TitleCN":null,"AbstractTextCN":null,"PMCID":null,"EPubDate":"","PubModel":"","JCR":"Q2","JCRName":"PATHOLOGY","Score":null,"Total":0}
引用次数: 0

Abstract

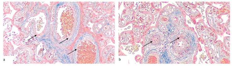
Histomorphometric measurements of the wall thickness and internal diameter of the macrovessels of the chorionic villi of placentas from pregnancies complicated by preeclampsia or fetal growth restriction in comparison with normotensive pregnancy.

Methods: The research included placentas from singleton pregnancies complicated by preeclampsia and/or fetal growth restriction, women delivered in medical institutions in Karaganda city (Kazakhstan). Placentas were divided into three groups: PE (n = 59), isolated FGR (n = 24), and PE with FGR (n = 41). The control group consisted of normotensive pregnancies, compared by gestation period. Placental examination and selection of placental tissue fragments were carried out in accordance with the consensus recommendations of the Amsterdam Placental Workshop Group. The sections were stained with hematoxylin and eosin and Masson trichrome. Morphometric measurements were performed using ImageJ software version 1.52p.

Results: Our data showed that, in the PE group, there was a significant decrease in the wall thickness of the proximal and distal vessels with an increase in internal diameter compared with the control group (p < 0.01). In the PE + FGR group, there was a thickening of the wall of the proximal part of the vessels with a decrease in their lumen and a decrease in the wall thickness of the vessels with an increase in the lumen in the distal part compared with the control group (p < 0.01).

Conclusions: Two histopatterns of placental macrovessels in preeclampsia were revealed: the histophenotype of diffuse (proximal and distal) ectatic macroangiopathy with a thin vascular wall with a decrease in the thickness of the muscle layer and the histophenotype of proximal fibromuscular sclerosis with vascular obliteration/spasm and distal ectatic macroangiopathy. We believe that significant structural differences in vascular remodeling may reflect the different temporal and spatial nature of the pathological factor. Future research is needed to investigate the associations between histopatterns of placental vascular remodeling in preeclampsia and long-term perinatal/maternal outcomes.

Abstract Image

Abstract Image

Abstract Image

孕妇高血压和胎儿生长能力并发症的胎盘大血管模式。
妊娠合并子痫前期或胎儿生长受限的胎盘绒毛膜绒毛大血管壁厚和内径的组织形态学测量与正常妊娠的比较方法:研究对象为在哈萨克斯坦卡拉干达市医疗机构分娩的单胎妊娠合并子痫前期和/或胎儿生长受限的孕妇胎盘。将胎盘分为3组:PE组(n = 59)、分离FGR组(n = 24)、PE + FGR组(n = 41)。对照组为正常妊娠,按妊娠期进行比较。胎盘检查和胎盘组织碎片的选择是按照阿姆斯特丹胎盘研讨会小组的共识建议进行的。切片用苏木精、伊红和马松三色染色。使用ImageJ软件版本1.52 2p进行形态测量。结果:我们的数据显示,PE组与对照组相比,近端和远端血管壁厚明显减少,内径明显增加(p < 0.01)。PE + FGR组与对照组相比,近端血管壁增厚,管腔减小;远端血管壁增厚,管腔增大(p < 0.01)。结论:子痫前期胎盘大血管表现为两种组织模式:弥漫性(近端和远端)扩张性大血管病变,血管壁薄,肌层厚度减少;近端纤维肌肉硬化,血管闭塞/痉挛,远端扩张性大血管病变。我们认为,血管重构的显著结构差异可能反映了病理因素的不同时空性质。未来的研究需要调查子痫前期胎盘血管重构的组织模式和长期围产期/产妇结局之间的关系。
本文章由计算机程序翻译,如有差异,请以英文原文为准。
求助全文
约1分钟内获得全文 求助全文
来源期刊
Pathophysiology
Pathophysiology Medicine-Pathology and Forensic Medicine
CiteScore
3.10
自引率
0.00%
发文量
48
期刊介绍: Pathophysiology is an international journal which publishes papers in English which address the etiology, development, and elimination of pathological processes. Contributions on the basic mechanisms underlying these processes, model systems and interdisciplinary approaches are strongly encouraged.
×
引用
GB/T 7714-2015
复制
MLA
复制
APA
复制
导出至
BibTeX EndNote RefMan NoteFirst NoteExpress
×
提示
您的信息不完整,为了账户安全,请先补充。
现在去补充
×
提示
您因"违规操作"
具体请查看互助需知
我知道了
×
提示
确定
请完成安全验证×
copy
已复制链接
快去分享给好友吧!
我知道了
右上角分享
点击右上角分享
0
联系我们:info@booksci.cn Book学术提供免费学术资源搜索服务,方便国内外学者检索中英文文献。致力于提供最便捷和优质的服务体验。 Copyright © 2023 布克学术 All rights reserved.
京ICP备2023020795号-1
ghs 京公网安备 11010802042870号
Book学术文献互助
Book学术文献互助群
群 号:604180095
Book学术官方微信