Primary Retroperitoneal Seminoma-An Uncommon Presentation With Significant Implications.

IF 0.5 Q4 SURGERY
Case Reports in Surgery Pub Date : 2024-12-18 eCollection Date: 2024-01-01 DOI:10.1155/cris/4376859
S Sain, S Tripathi, N Bakshi, S A P Das, S Nundy
{"title":"Primary Retroperitoneal Seminoma-An Uncommon Presentation With Significant Implications.","authors":"S Sain, S Tripathi, N Bakshi, S A P Das, S Nundy","doi":"10.1155/cris/4376859","DOIUrl":null,"url":null,"abstract":"<p><p><b>Background:</b> Primary retroperitoneal seminoma is an exceedingly rare type of germ cell tumor, accounting for less than 5% of all such tumors. These tumors are typically large at presentation due to their slow growth and the nonspecific nature of symptoms, which often leads to delayed diagnosis. <b>Case Presentation:</b> A 40-year-old male presented with intermittent abdominal pain and a palpable lump in the right paraumbilical region. Ultrasonography revealed a large retroperitoneal mass. Fine needle aspiration cytology confirmed the diagnosis of poorly differentiated malignant tumor, for which he was evaluated with CT-angiogram of the abdomen and FDG PET-CT scans, which showed a large retroperitoneal mass. The patient, then, had a surgical resection of the mass, with postoperative histopathological and immunohistochemical diagnosis of primary retroperitoneal seminoma, and then underwent three cycles of BEP chemotherapy. Scrotal ultrasonography showed no testicular abnormalities, obviating the need for orchiectomy. FDG PET showed a complete response following treatment completion. Postoperative management included routine monitoring of tumor markers and follow-up imaging, which showed a complete response. <b>Conclusion:</b> This case highlights the diagnostic and therapeutic challenges of primary retroperitoneal seminoma. A multidisciplinary approach, including accurate histopathological diagnosis and a combination of chemotherapy and surgery, is essential for optimal management. Early diagnosis and tailored treatment strategies significantly improve patient outcomes.</p>","PeriodicalId":9600,"journal":{"name":"Case Reports in Surgery","volume":"2024 ","pages":"4376859"},"PeriodicalIF":0.5000,"publicationDate":"2024-12-18","publicationTypes":"Journal Article","fieldsOfStudy":null,"isOpenAccess":false,"openAccessPdf":"https://www.ncbi.nlm.nih.gov/pmc/articles/PMC11669426/pdf/","citationCount":"0","resultStr":null,"platform":"Semanticscholar","paperid":null,"PeriodicalName":"Case Reports in Surgery","FirstCategoryId":"1085","ListUrlMain":"https://doi.org/10.1155/cris/4376859","RegionNum":0,"RegionCategory":null,"ArticlePicture":[],"TitleCN":null,"AbstractTextCN":null,"PMCID":null,"EPubDate":"2024/1/1 0:00:00","PubModel":"eCollection","JCR":"Q4","JCRName":"SURGERY","Score":null,"Total":0}
引用次数: 0

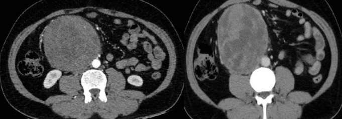
Abstract

Background: Primary retroperitoneal seminoma is an exceedingly rare type of germ cell tumor, accounting for less than 5% of all such tumors. These tumors are typically large at presentation due to their slow growth and the nonspecific nature of symptoms, which often leads to delayed diagnosis. Case Presentation: A 40-year-old male presented with intermittent abdominal pain and a palpable lump in the right paraumbilical region. Ultrasonography revealed a large retroperitoneal mass. Fine needle aspiration cytology confirmed the diagnosis of poorly differentiated malignant tumor, for which he was evaluated with CT-angiogram of the abdomen and FDG PET-CT scans, which showed a large retroperitoneal mass. The patient, then, had a surgical resection of the mass, with postoperative histopathological and immunohistochemical diagnosis of primary retroperitoneal seminoma, and then underwent three cycles of BEP chemotherapy. Scrotal ultrasonography showed no testicular abnormalities, obviating the need for orchiectomy. FDG PET showed a complete response following treatment completion. Postoperative management included routine monitoring of tumor markers and follow-up imaging, which showed a complete response. Conclusion: This case highlights the diagnostic and therapeutic challenges of primary retroperitoneal seminoma. A multidisciplinary approach, including accurate histopathological diagnosis and a combination of chemotherapy and surgery, is essential for optimal management. Early diagnosis and tailored treatment strategies significantly improve patient outcomes.

Abstract Image

Abstract Image

Abstract Image

原发性腹膜后精原细胞瘤——一种罕见的具有重要意义的表现。
背景:原发性腹膜后精原细胞瘤是一种极为罕见的生殖细胞肿瘤,占所有此类肿瘤的不到5%。由于生长缓慢和症状的非特异性,这些肿瘤在出现时通常很大,这往往导致诊断延迟。病例介绍:一名40岁男性,表现为间歇性腹痛和右侧脐旁区可触及的肿块。超声检查显示腹膜后有一个大肿块。细针穿刺细胞学检查证实为低分化恶性肿瘤,并行腹部ct血管造影及FDG PET-CT检查,发现腹膜后有较大肿块。患者手术切除肿块,术后组织病理学和免疫组织化学诊断为原发性腹膜后精原细胞瘤,然后进行了三个周期的BEP化疗。阴囊超声检查未见睾丸异常,无需行睾丸切除术。FDG PET在治疗结束后显示完全缓解。术后管理包括常规监测肿瘤标志物和随访影像学,显示完全缓解。结论:本病例突出了原发性腹膜后精原细胞瘤的诊断和治疗挑战。一个多学科的方法,包括准确的组织病理学诊断和化疗和手术的结合,是必要的最佳管理。早期诊断和量身定制的治疗策略可显著改善患者的预后。
本文章由计算机程序翻译,如有差异,请以英文原文为准。
求助全文
约1分钟内获得全文 求助全文
来源期刊
自引率
0.00%
发文量
60
审稿时长
13 weeks
×
引用
GB/T 7714-2015
复制
MLA
复制
APA
复制
导出至
BibTeX EndNote RefMan NoteFirst NoteExpress
×
提示
您的信息不完整,为了账户安全,请先补充。
现在去补充
×
提示
您因"违规操作"
具体请查看互助需知
我知道了
×
提示
确定
请完成安全验证×
copy
已复制链接
快去分享给好友吧!
我知道了
右上角分享
点击右上角分享
0
联系我们:info@booksci.cn Book学术提供免费学术资源搜索服务,方便国内外学者检索中英文文献。致力于提供最便捷和优质的服务体验。 Copyright © 2023 布克学术 All rights reserved.
京ICP备2023020795号-1
ghs 京公网安备 11010802042870号
Book学术文献互助
Book学术文献互助群
群 号:604180095
Book学术官方微信