Pinhole Descending Aortic Rupture with Systemic Sclerosis and Dermatomyositis: A Case Report.

IF 0.6 Q4 PERIPHERAL VASCULAR DISEASE
Annals of vascular diseases Pub Date : 2024-12-25 Epub Date: 2024-10-29 DOI:10.3400/avd.cr.24-00108
Norihiro Ando, Ryuichi Nabeshima, Taiki Ito, Koji Sato, Hiroshi Sugiki
{"title":"Pinhole Descending Aortic Rupture with Systemic Sclerosis and Dermatomyositis: A Case Report.","authors":"Norihiro Ando, Ryuichi Nabeshima, Taiki Ito, Koji Sato, Hiroshi Sugiki","doi":"10.3400/avd.cr.24-00108","DOIUrl":null,"url":null,"abstract":"<p><p>Thoracic descending aortic perforation with overlap syndrome (systemic sclerosis and dermatomyositis) is a rare, unreported vascular pathology. We describe the case of a 75-year-old woman who presented with chest tightness, back pain, and dyspnea. Computed tomography revealed a pinhole rupture in the descending aorta. The patient underwent a thoracic endovascular aortic repair and left chest drainage. Her postoperative course was uneventful.</p>","PeriodicalId":7995,"journal":{"name":"Annals of vascular diseases","volume":"17 4","pages":"437-439"},"PeriodicalIF":0.6000,"publicationDate":"2024-12-25","publicationTypes":"Journal Article","fieldsOfStudy":null,"isOpenAccess":false,"openAccessPdf":"https://www.ncbi.nlm.nih.gov/pmc/articles/PMC11669021/pdf/","citationCount":"0","resultStr":null,"platform":"Semanticscholar","paperid":null,"PeriodicalName":"Annals of vascular diseases","FirstCategoryId":"1085","ListUrlMain":"https://doi.org/10.3400/avd.cr.24-00108","RegionNum":0,"RegionCategory":null,"ArticlePicture":[],"TitleCN":null,"AbstractTextCN":null,"PMCID":null,"EPubDate":"2024/10/29 0:00:00","PubModel":"Epub","JCR":"Q4","JCRName":"PERIPHERAL VASCULAR DISEASE","Score":null,"Total":0}
引用次数: 0

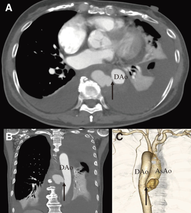
Abstract

Thoracic descending aortic perforation with overlap syndrome (systemic sclerosis and dermatomyositis) is a rare, unreported vascular pathology. We describe the case of a 75-year-old woman who presented with chest tightness, back pain, and dyspnea. Computed tomography revealed a pinhole rupture in the descending aorta. The patient underwent a thoracic endovascular aortic repair and left chest drainage. Her postoperative course was uneventful.

Abstract Image

Abstract Image

针孔降主动脉破裂合并系统性硬化症及皮肌炎1例。
胸降主动脉穿孔合并重叠综合征(系统性硬化症和皮肌炎)是一种罕见的、未报道的血管病理。我们描述了一个75岁的妇女谁提出胸闷,背部疼痛,呼吸困难的情况。计算机断层扫描显示降主动脉有针孔破裂。患者接受了胸腔血管内主动脉修复术和左胸引流术。她的术后过程很顺利。
本文章由计算机程序翻译,如有差异,请以英文原文为准。
求助全文
约1分钟内获得全文 求助全文
来源期刊
Annals of vascular diseases
Annals of vascular diseases PERIPHERAL VASCULAR DISEASE-
自引率
0.00%
发文量
41
×
引用
GB/T 7714-2015
复制
MLA
复制
APA
复制
导出至
BibTeX EndNote RefMan NoteFirst NoteExpress
×
提示
您的信息不完整,为了账户安全,请先补充。
现在去补充
×
提示
您因"违规操作"
具体请查看互助需知
我知道了
×
提示
确定
请完成安全验证×
copy
已复制链接
快去分享给好友吧!
我知道了
右上角分享
点击右上角分享
0
联系我们:info@booksci.cn Book学术提供免费学术资源搜索服务,方便国内外学者检索中英文文献。致力于提供最便捷和优质的服务体验。 Copyright © 2023 布克学术 All rights reserved.
京ICP备2023020795号-1
ghs 京公网安备 11010802042870号
Book学术文献互助
Book学术文献互助群
群 号:604180095
Book学术官方微信