An unusual case of varicella zoster encephalitis mimicking a glioblastoma on magnetic resonance imaging and magnetic resonance spectroscopy

IF 1 Q4 INFECTIOUS DISEASES
IDCases Pub Date : 2025-01-01 DOI:10.1016/j.idcr.2024.e02124
Brenden Nago , Jeffrey E. Liu
{"title":"An unusual case of varicella zoster encephalitis mimicking a glioblastoma on magnetic resonance imaging and magnetic resonance spectroscopy","authors":"Brenden Nago ,&nbsp;Jeffrey E. Liu","doi":"10.1016/j.idcr.2024.e02124","DOIUrl":null,"url":null,"abstract":"<div><div>The authors report a case of varicella zoster encephalitis, mimicking a glioblastoma on Magnetic Resonance Imaging (MRI) and Magnetic Resonance Spectroscopy (MRS). The limitations of MRI/MRS, may lead to delayed treatment with antiviral agents, which can result in increased morbidity and mortality. The possibility of viral encephalitis should remain in the differential diagnosis of all patients presenting with headaches and confusion, even when imaging results are indicative of a neoplastic process.</div></div>","PeriodicalId":47045,"journal":{"name":"IDCases","volume":"39 ","pages":"Article e02124"},"PeriodicalIF":1.0000,"publicationDate":"2025-01-01","publicationTypes":"Journal Article","fieldsOfStudy":null,"isOpenAccess":false,"openAccessPdf":"https://www.ncbi.nlm.nih.gov/pmc/articles/PMC11667170/pdf/","citationCount":"0","resultStr":null,"platform":"Semanticscholar","paperid":null,"PeriodicalName":"IDCases","FirstCategoryId":"1085","ListUrlMain":"https://www.sciencedirect.com/science/article/pii/S2214250924002002","RegionNum":0,"RegionCategory":null,"ArticlePicture":[],"TitleCN":null,"AbstractTextCN":null,"PMCID":null,"EPubDate":"","PubModel":"","JCR":"Q4","JCRName":"INFECTIOUS DISEASES","Score":null,"Total":0}
引用次数: 0

Abstract

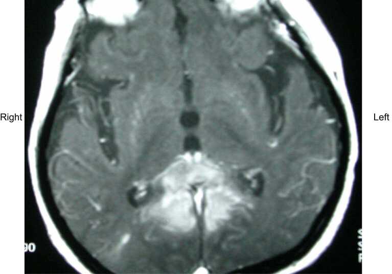
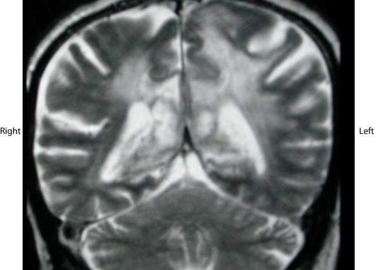
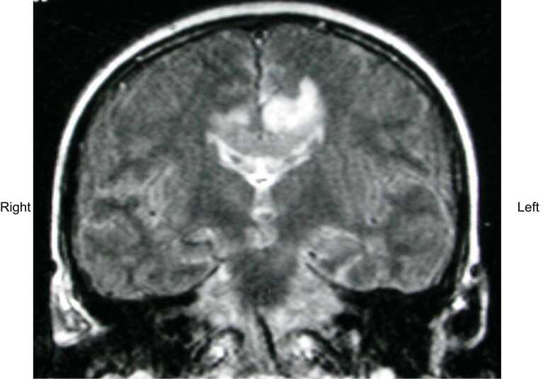
The authors report a case of varicella zoster encephalitis, mimicking a glioblastoma on Magnetic Resonance Imaging (MRI) and Magnetic Resonance Spectroscopy (MRS). The limitations of MRI/MRS, may lead to delayed treatment with antiviral agents, which can result in increased morbidity and mortality. The possibility of viral encephalitis should remain in the differential diagnosis of all patients presenting with headaches and confusion, even when imaging results are indicative of a neoplastic process.

Abstract Image

Abstract Image

Abstract Image

一个不寻常的水痘带状疱疹脑炎模拟胶质母细胞瘤的磁共振成像和磁共振波谱。
作者报告一例水痘带状疱疹脑炎,在磁共振成像(MRI)和磁共振波谱(MRS)上模拟胶质母细胞瘤。MRI/MRS的局限性可能导致抗病毒药物治疗的延迟,这可能导致发病率和死亡率的增加。病毒性脑炎的可能性应保留在所有表现为头痛和精神错乱的患者的鉴别诊断中,即使当影像学结果表明有肿瘤过程。
本文章由计算机程序翻译,如有差异,请以英文原文为准。
求助全文
约1分钟内获得全文 求助全文
来源期刊
IDCases
IDCases INFECTIOUS DISEASES-
CiteScore
2.60
自引率
6.70%
发文量
300
审稿时长
10 weeks
×
引用
GB/T 7714-2015
复制
MLA
复制
APA
复制
导出至
BibTeX EndNote RefMan NoteFirst NoteExpress
×
提示
您的信息不完整,为了账户安全,请先补充。
现在去补充
×
提示
您因"违规操作"
具体请查看互助需知
我知道了
×
提示
确定
请完成安全验证×
copy
已复制链接
快去分享给好友吧!
我知道了
右上角分享
点击右上角分享
0
联系我们:info@booksci.cn Book学术提供免费学术资源搜索服务,方便国内外学者检索中英文文献。致力于提供最便捷和优质的服务体验。 Copyright © 2023 布克学术 All rights reserved.
京ICP备2023020795号-1
ghs 京公网安备 11010802042870号
Book学术文献互助
Book学术文献互助群
群 号:604180095
Book学术官方微信