Cytokine Release Syndrome After CAR T-Cell Therapy in a 35-Year-Old Patient With Pneumocystis jiroveci Pneumonia and Cytomegalovirus Viremia.

IF 0.7 Q3 MEDICINE, GENERAL & INTERNAL
Case Reports in Medicine Pub Date : 2024-12-16 eCollection Date: 2024-01-01 DOI:10.1155/carm/6751047
Kristina A Helms
{"title":"Cytokine Release Syndrome After CAR T-Cell Therapy in a 35-Year-Old Patient With <i>Pneumocystis jiroveci</i> Pneumonia and Cytomegalovirus Viremia.","authors":"Kristina A Helms","doi":"10.1155/carm/6751047","DOIUrl":null,"url":null,"abstract":"<p><p><b>Background:</b> The risk of cytokine release syndrome (CRS) in patients with infections prior to chimeric antigen receptor T-cell (CAR T-cell) therapy represents an important and underreported event. Patients with active infections needing prompt CAR T-cell therapy to treat aggressive hematologic malignancies remain a clinical challenge. <b>Case Report:</b> This case describes the clinical course of a 35-year-old male patient with relapsed/refractory T-cell/histiocyte-rich large B-cell lymphoma who received axicabtagene ciloleucel. The patient developed ASTCT Grade II CRS on day +5, necessitating hospital admission and intravenous antibiotics, dexamethasone and tocilizumab. The patient was found to have a <i>Pneumocystis jirovecii</i> pneumonia (PJP) infection 3 days prior to CAR T-cell infusion and cytomegalovirus (CMV) viremia 3 days after CAR T-cell infusion. He received TMP-SMX for 21 days to treat PJP and valganciclovir to treat CMV viremia. PET/CT on day +26 demonstrated near resolution of pulmonary nodules and significant partial response of disease according to Deauville criteria. <b>Conclusion:</b> This case highlights the risk of CRS in immunocompromised patients with infections, and presents a unique case of CRS associated with PJP and CMV infections. Although the patient's clinical course was fraught with complications, he achieved a significant partial response to CAR T-cell therapy with the help of a multidisciplinary medical team.</p>","PeriodicalId":9627,"journal":{"name":"Case Reports in Medicine","volume":"2024 ","pages":"6751047"},"PeriodicalIF":0.7000,"publicationDate":"2024-12-16","publicationTypes":"Journal Article","fieldsOfStudy":null,"isOpenAccess":false,"openAccessPdf":"https://www.ncbi.nlm.nih.gov/pmc/articles/PMC11666310/pdf/","citationCount":"0","resultStr":null,"platform":"Semanticscholar","paperid":null,"PeriodicalName":"Case Reports in Medicine","FirstCategoryId":"1085","ListUrlMain":"https://doi.org/10.1155/carm/6751047","RegionNum":0,"RegionCategory":null,"ArticlePicture":[],"TitleCN":null,"AbstractTextCN":null,"PMCID":null,"EPubDate":"2024/1/1 0:00:00","PubModel":"eCollection","JCR":"Q3","JCRName":"MEDICINE, GENERAL & INTERNAL","Score":null,"Total":0}
引用次数: 0

Abstract

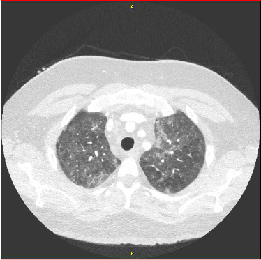
Background: The risk of cytokine release syndrome (CRS) in patients with infections prior to chimeric antigen receptor T-cell (CAR T-cell) therapy represents an important and underreported event. Patients with active infections needing prompt CAR T-cell therapy to treat aggressive hematologic malignancies remain a clinical challenge. Case Report: This case describes the clinical course of a 35-year-old male patient with relapsed/refractory T-cell/histiocyte-rich large B-cell lymphoma who received axicabtagene ciloleucel. The patient developed ASTCT Grade II CRS on day +5, necessitating hospital admission and intravenous antibiotics, dexamethasone and tocilizumab. The patient was found to have a Pneumocystis jirovecii pneumonia (PJP) infection 3 days prior to CAR T-cell infusion and cytomegalovirus (CMV) viremia 3 days after CAR T-cell infusion. He received TMP-SMX for 21 days to treat PJP and valganciclovir to treat CMV viremia. PET/CT on day +26 demonstrated near resolution of pulmonary nodules and significant partial response of disease according to Deauville criteria. Conclusion: This case highlights the risk of CRS in immunocompromised patients with infections, and presents a unique case of CRS associated with PJP and CMV infections. Although the patient's clinical course was fraught with complications, he achieved a significant partial response to CAR T-cell therapy with the help of a multidisciplinary medical team.

Abstract Image

Abstract Image

Abstract Image

35岁肺囊虫肺炎合并巨细胞病毒血症患者CAR - t细胞治疗后的细胞因子释放综合征
背景:嵌合抗原受体t细胞(CAR - t细胞)治疗前感染患者的细胞因子释放综合征(CRS)风险是一个重要但未被报道的事件。活动性感染患者需要及时CAR - t细胞治疗侵袭性血液系统恶性肿瘤仍然是一个临床挑战。病例报告:本病例描述了一位35岁男性复发/难治性t细胞/富含组织细胞的大b细胞淋巴瘤患者的临床过程,他接受了阿西卡他基西莱。患者在第5天发生ASTCT II级CRS,需要住院并静脉注射抗生素、地塞米松和托珠单抗。患者在CAR - t细胞输注前3天发现有乙基肺囊虫肺炎(PJP)感染,在CAR - t细胞输注后3天发现巨细胞病毒(CMV)病毒血症。他接受了21天的TMP-SMX治疗PJP和缬更昔洛韦治疗巨细胞病毒血症。第26天的PET/CT显示肺结节接近消退,根据多维尔标准,疾病有明显的部分缓解。结论:该病例强调了免疫功能低下患者感染CRS的风险,并提出了一个独特的CRS与PJP和CMV感染相关的病例。尽管患者的临床过程充满了并发症,但在多学科医疗团队的帮助下,他对CAR - t细胞治疗取得了显著的部分反应。
本文章由计算机程序翻译,如有差异,请以英文原文为准。
求助全文
约1分钟内获得全文 求助全文
来源期刊
Case Reports in Medicine
Case Reports in Medicine MEDICINE, GENERAL & INTERNAL-
CiteScore
1.70
自引率
0.00%
发文量
53
审稿时长
13 weeks
×
引用
GB/T 7714-2015
复制
MLA
复制
APA
复制
导出至
BibTeX EndNote RefMan NoteFirst NoteExpress
×
提示
您的信息不完整,为了账户安全,请先补充。
现在去补充
×
提示
您因"违规操作"
具体请查看互助需知
我知道了
×
提示
确定
请完成安全验证×
copy
已复制链接
快去分享给好友吧!
我知道了
右上角分享
点击右上角分享
0
联系我们:info@booksci.cn Book学术提供免费学术资源搜索服务,方便国内外学者检索中英文文献。致力于提供最便捷和优质的服务体验。 Copyright © 2023 布克学术 All rights reserved.
京ICP备2023020795号-1
ghs 京公网安备 11010802042870号
Book学术文献互助
Book学术文献互助群
群 号:604180095
Book学术官方微信