Multiple Bilateral Parotid Calcifications in a Patient with Sjögren's Syndrome: A Case Report.

Maryam Amirchaghmaghi, Mahrokh Imanimoghaddam, Atessa Pakfetrat, Maryam Bozorgi Baee
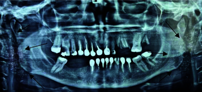
{"title":"Multiple Bilateral Parotid Calcifications in a Patient with Sjögren's Syndrome: A Case Report.","authors":"Maryam Amirchaghmaghi, Mahrokh Imanimoghaddam, Atessa Pakfetrat, Maryam Bozorgi Baee","doi":"10.30476/dentjods.2024.100095.2189","DOIUrl":null,"url":null,"abstract":"<p><p>This study investigates the calcifications in the parotid glands of a patient with Sjögren's syndrome (SS). A 52-year-old female patient presented for a routine dental examination who found to have multiple radiopacities in both parotid glands on panoramic radiograph. Further evaluation revealed swelling and tenderness in the parotid glands, decayed teeth, and dryness of the mouth and eyes. Ultrasound examination showed enlarged parotid glands with heterogeneous echogenicity, hypoechoic and cystic foci, and multiple calcifications. Laboratory tests indicated positive findings for rheumatoid factor and anti-SSA/SSB antibodies, consistent with a diagnosis of Sjögren's syndrome. Treatment primarily focuses on relieving symptoms and preventing clinical manifestations.</p>","PeriodicalId":73702,"journal":{"name":"Journal of dentistry (Shiraz, Iran)","volume":"25 4","pages":"388-392"},"PeriodicalIF":0.0000,"publicationDate":"2024-12-01","publicationTypes":"Journal Article","fieldsOfStudy":null,"isOpenAccess":false,"openAccessPdf":"https://www.ncbi.nlm.nih.gov/pmc/articles/PMC11662168/pdf/","citationCount":"0","resultStr":null,"platform":"Semanticscholar","paperid":null,"PeriodicalName":"Journal of dentistry (Shiraz, Iran)","FirstCategoryId":"1085","ListUrlMain":"https://doi.org/10.30476/dentjods.2024.100095.2189","RegionNum":0,"RegionCategory":null,"ArticlePicture":[],"TitleCN":null,"AbstractTextCN":null,"PMCID":null,"EPubDate":"","PubModel":"","JCR":"","JCRName":"","Score":null,"Total":0}
引用次数: 0

Abstract

This study investigates the calcifications in the parotid glands of a patient with Sjögren's syndrome (SS). A 52-year-old female patient presented for a routine dental examination who found to have multiple radiopacities in both parotid glands on panoramic radiograph. Further evaluation revealed swelling and tenderness in the parotid glands, decayed teeth, and dryness of the mouth and eyes. Ultrasound examination showed enlarged parotid glands with heterogeneous echogenicity, hypoechoic and cystic foci, and multiple calcifications. Laboratory tests indicated positive findings for rheumatoid factor and anti-SSA/SSB antibodies, consistent with a diagnosis of Sjögren's syndrome. Treatment primarily focuses on relieving symptoms and preventing clinical manifestations.

Abstract Image

Abstract Image

Sjögren综合征患者双侧腮腺多发钙化1例。
本研究探讨了一位Sjögren综合征(SS)患者腮腺的钙化。一位52岁的女性患者在接受常规牙科检查时,在全景x光片上发现双侧腮腺多发放射性混浊。进一步的评估显示腮腺肿胀和压痛,蛀牙,口干和眼干。超声检查显示腮腺肿大,回声不均匀,低回声,囊性灶,多发钙化。实验室检查显示类风湿因子和抗ssa /SSB抗体阳性,符合Sjögren综合征的诊断。治疗主要侧重于缓解症状和预防临床表现。
本文章由计算机程序翻译,如有差异,请以英文原文为准。
求助全文
约1分钟内获得全文 求助全文
来源期刊
CiteScore
0.50
自引率
0.00%
发文量
0
×
引用
GB/T 7714-2015
复制
MLA
复制
APA
复制
导出至
BibTeX EndNote RefMan NoteFirst NoteExpress
×
提示
您的信息不完整,为了账户安全,请先补充。
现在去补充
×
提示
您因"违规操作"
具体请查看互助需知
我知道了
×
提示
确定
请完成安全验证×
copy
已复制链接
快去分享给好友吧!
我知道了
右上角分享
点击右上角分享
0
联系我们:info@booksci.cn Book学术提供免费学术资源搜索服务,方便国内外学者检索中英文文献。致力于提供最便捷和优质的服务体验。 Copyright © 2023 布克学术 All rights reserved.
京ICP备2023020795号-1
ghs 京公网安备 11010802042870号
Book学术文献互助
Book学术文献互助群
群 号:604180095
Book学术官方微信