A Case of Transduodenal Endoscopic Ultrasound-Guided Biopsy of an Appendiceal Lesion.

IF 0.5 Q4 GASTROENTEROLOGY & HEPATOLOGY
ACG Case Reports Journal Pub Date : 2024-12-20 eCollection Date: 2024-12-01 DOI:10.14309/crj.0000000000001574
Nihal Ijaz Khan, Abdullah Abbasi, Saurabh Chandan, Sagar Pathak, Charanjeet Singh, Muhammad K Hasan
{"title":"A Case of Transduodenal Endoscopic Ultrasound-Guided Biopsy of an Appendiceal Lesion.","authors":"Nihal Ijaz Khan, Abdullah Abbasi, Saurabh Chandan, Sagar Pathak, Charanjeet Singh, Muhammad K Hasan","doi":"10.14309/crj.0000000000001574","DOIUrl":null,"url":null,"abstract":"<p><p>Vermiform appendiceal cancers are rare and commonly diagnosed incidentally after appendectomy for acute appendicitis. Establishing a diagnosis and staging appendiceal cancer is important as the treatment options differ based on the subtypes of tumor and their spread in the peritoneum. The role of endosonography in tissue diagnosis of appendiceal cancer is limited. Most cases are diagnosed and staged radiologically and surgically. Tissue diagnosis is key in management, especially when diagnosis is unclear by other modalities. We report a case of transduodenal endoscopic ultrasound-guided biopsy of an appendiceal lesion, which had significant impact on patient outcome.</p>","PeriodicalId":7394,"journal":{"name":"ACG Case Reports Journal","volume":"11 12","pages":"e01574"},"PeriodicalIF":0.5000,"publicationDate":"2024-12-20","publicationTypes":"Journal Article","fieldsOfStudy":null,"isOpenAccess":false,"openAccessPdf":"https://www.ncbi.nlm.nih.gov/pmc/articles/PMC11661737/pdf/","citationCount":"0","resultStr":null,"platform":"Semanticscholar","paperid":null,"PeriodicalName":"ACG Case Reports Journal","FirstCategoryId":"1085","ListUrlMain":"https://doi.org/10.14309/crj.0000000000001574","RegionNum":0,"RegionCategory":null,"ArticlePicture":[],"TitleCN":null,"AbstractTextCN":null,"PMCID":null,"EPubDate":"2024/12/1 0:00:00","PubModel":"eCollection","JCR":"Q4","JCRName":"GASTROENTEROLOGY & HEPATOLOGY","Score":null,"Total":0}
引用次数: 0

Abstract

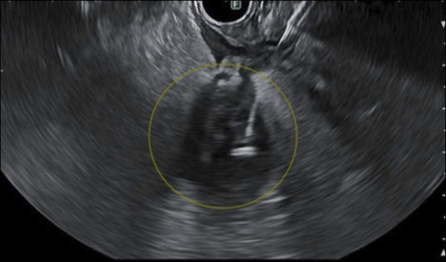
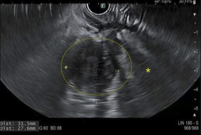
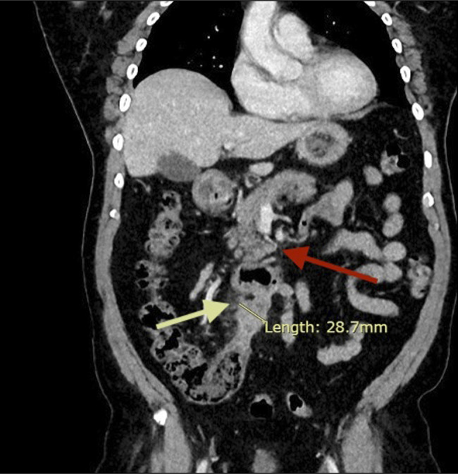
Vermiform appendiceal cancers are rare and commonly diagnosed incidentally after appendectomy for acute appendicitis. Establishing a diagnosis and staging appendiceal cancer is important as the treatment options differ based on the subtypes of tumor and their spread in the peritoneum. The role of endosonography in tissue diagnosis of appendiceal cancer is limited. Most cases are diagnosed and staged radiologically and surgically. Tissue diagnosis is key in management, especially when diagnosis is unclear by other modalities. We report a case of transduodenal endoscopic ultrasound-guided biopsy of an appendiceal lesion, which had significant impact on patient outcome.

Abstract Image

Abstract Image

Abstract Image

经十二指肠超声内镜下阑尾病变活检一例。
蚓状阑尾癌是罕见的,通常在急性阑尾炎阑尾切除术后偶然发现。阑尾癌的诊断和分期很重要,因为治疗方案根据肿瘤的亚型及其在腹膜中的扩散而不同。超声在阑尾癌组织诊断中的作用有限。大多数病例是通过放射学和外科诊断和分期的。组织诊断是关键的管理,特别是当诊断不明确的其他方式。我们报告一个经十二指肠内镜超声引导下阑尾病变活检的病例,这对患者的预后有显著影响。
本文章由计算机程序翻译,如有差异,请以英文原文为准。
求助全文
约1分钟内获得全文 求助全文
来源期刊
ACG Case Reports Journal
ACG Case Reports Journal GASTROENTEROLOGY & HEPATOLOGY-
自引率
14.30%
发文量
170
审稿时长
12 weeks
期刊介绍: ACG Case Reports Journal is a peer-reviewed, open-access publication that provides GI and hepatology fellows, private practice clinicians, and other healthcare providers an opportunity to share interesting case reports with their peers and with leaders in the field. ACG Case Reports Journal publishes case reports, images, videos and letters to the editor in all topics of gastroenterology and hepatology, including: Biliary Colon Endoscopy Esophagus Functional Bowel Disorders Inflammatory Bowel Disease Liver Nutrition and Obesity Pancreas Pathology Pediatric Small Bowel Stomach.
×
引用
GB/T 7714-2015
复制
MLA
复制
APA
复制
导出至
BibTeX EndNote RefMan NoteFirst NoteExpress
×
提示
您的信息不完整,为了账户安全,请先补充。
现在去补充
×
提示
您因"违规操作"
具体请查看互助需知
我知道了
×
提示
确定
请完成安全验证×
copy
已复制链接
快去分享给好友吧!
我知道了
右上角分享
点击右上角分享
0
联系我们:info@booksci.cn Book学术提供免费学术资源搜索服务,方便国内外学者检索中英文文献。致力于提供最便捷和优质的服务体验。 Copyright © 2023 布克学术 All rights reserved.
京ICP备2023020795号-1
ghs 京公网安备 11010802042870号
Book学术文献互助
Book学术文献互助群
群 号:604180095
Book学术官方微信