Temporal dissection of the roles of Atg4 and ESCRT in autophagosome formation in yeast

IF 15.4 1区 生物学 Q1 BIOCHEMISTRY & MOLECULAR BIOLOGY
Hui Li, Jing-Zhen Song, Cheng-Wen He, Meng-Xi Xie, Zheng-Tan Zhang, You Zhou, Xin-Jing Li, Li Cui, Jing Zhu, Qingqiu Gong, Zhiping Xie
{"title":"Temporal dissection of the roles of Atg4 and ESCRT in autophagosome formation in yeast","authors":"Hui Li, Jing-Zhen Song, Cheng-Wen He, Meng-Xi Xie, Zheng-Tan Zhang, You Zhou, Xin-Jing Li, Li Cui, Jing Zhu, Qingqiu Gong, Zhiping Xie","doi":"10.1038/s41418-024-01438-8","DOIUrl":null,"url":null,"abstract":"Autophagosomes are formed by the enlargement and sealing of phagophores. This is accompanied by the recruitment and release of autophagy-related (Atg) proteins that function therein. Presently, the relationship among factors that act after the initial emergence of the phagophore is unclear. The endosomal sorting complexes required for transport (ESCRT) machinery and Atg4 are known to function in phagophore sealing and Atg8 release, respectively. Here we show that biochemically, both Atg4 and ESCRT promoted phagophore sealing. Intriguingly, Atg4-mediated release of Atg8 from the phagophore promoted phagophore sealing even in the absence of ESCRT. This sealing activity could be reconstituted in vitro using cell lysate and purified Atg4. To elucidate the temporal relationship between Atg4 and ESCRT, we charted a timeline of the autophagosome formation cycle based on the trafficking of Atg proteins and mapped the actions of Atg4 and ESCRT to specific stages. The temporal impact of Atg4-mediated release of Atg8 from phagophore was mapped to the stage after the assembly of phagophore assembly site (PAS) scaffold and phosphatidylinositol-3-kinase (PtdIns-3-K) complex; its retardation only extended the duration of Atg8 release stage, leading to delayed phagophore sealing and accumulation of multiple phagophores. The impacts of ESCRT were mapped to two stages. In addition to promoting phagophore sealing, it also dictates whether PtdIns-3-K recruitment can occur by controlling Atg9 trafficking, thereby determining the incidence of autophagosome formation. Accordingly, ESCRT deficiency led to a combination of reduced autophagosome frequency and extended autophagosome formation duration, manifesting as reduced autophagic flux but normal apparent Atg8 puncta number. Our study thus identifies Atg4-mediated Atg8 shedding as a novel membrane scission mechanism and reveals a new early-stage role for ESCRT in autophagy.","PeriodicalId":9731,"journal":{"name":"Cell Death and Differentiation","volume":"32 5","pages":"866-879"},"PeriodicalIF":15.4000,"publicationDate":"2024-12-23","publicationTypes":"Journal Article","fieldsOfStudy":null,"isOpenAccess":false,"openAccessPdf":"","citationCount":"0","resultStr":null,"platform":"Semanticscholar","paperid":null,"PeriodicalName":"Cell Death and Differentiation","FirstCategoryId":"99","ListUrlMain":"https://www.nature.com/articles/s41418-024-01438-8","RegionNum":1,"RegionCategory":"生物学","ArticlePicture":[],"TitleCN":null,"AbstractTextCN":null,"PMCID":null,"EPubDate":"","PubModel":"","JCR":"Q1","JCRName":"BIOCHEMISTRY & MOLECULAR BIOLOGY","Score":null,"Total":0}
引用次数: 0

Abstract

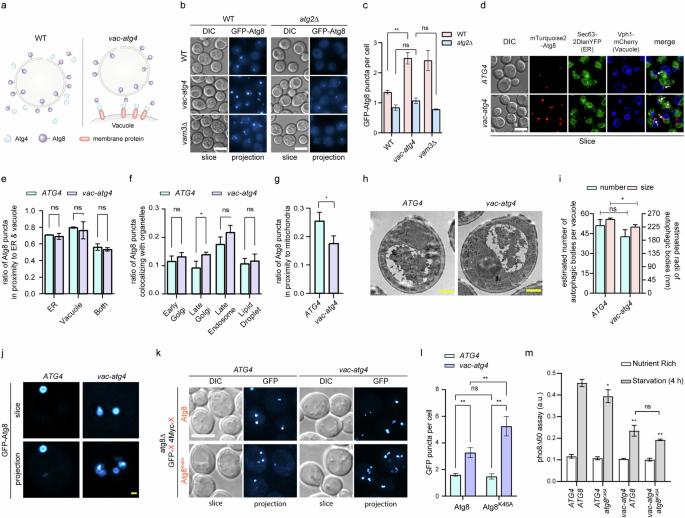
Autophagosomes are formed by the enlargement and sealing of phagophores. This is accompanied by the recruitment and release of autophagy-related (Atg) proteins that function therein. Presently, the relationship among factors that act after the initial emergence of the phagophore is unclear. The endosomal sorting complexes required for transport (ESCRT) machinery and Atg4 are known to function in phagophore sealing and Atg8 release, respectively. Here we show that biochemically, both Atg4 and ESCRT promoted phagophore sealing. Intriguingly, Atg4-mediated release of Atg8 from the phagophore promoted phagophore sealing even in the absence of ESCRT. This sealing activity could be reconstituted in vitro using cell lysate and purified Atg4. To elucidate the temporal relationship between Atg4 and ESCRT, we charted a timeline of the autophagosome formation cycle based on the trafficking of Atg proteins and mapped the actions of Atg4 and ESCRT to specific stages. The temporal impact of Atg4-mediated release of Atg8 from phagophore was mapped to the stage after the assembly of phagophore assembly site (PAS) scaffold and phosphatidylinositol-3-kinase (PtdIns-3-K) complex; its retardation only extended the duration of Atg8 release stage, leading to delayed phagophore sealing and accumulation of multiple phagophores. The impacts of ESCRT were mapped to two stages. In addition to promoting phagophore sealing, it also dictates whether PtdIns-3-K recruitment can occur by controlling Atg9 trafficking, thereby determining the incidence of autophagosome formation. Accordingly, ESCRT deficiency led to a combination of reduced autophagosome frequency and extended autophagosome formation duration, manifesting as reduced autophagic flux but normal apparent Atg8 puncta number. Our study thus identifies Atg4-mediated Atg8 shedding as a novel membrane scission mechanism and reveals a new early-stage role for ESCRT in autophagy.

Abstract Image

Abstract Image

Atg4和ESCRT在酵母自噬体形成中的作用
自噬体是由吞噬体的扩大和闭合形成的。这伴随着在其中起作用的自噬相关(Atg)蛋白的募集和释放。目前,吞噬体最初出现后起作用的因素之间的关系尚不清楚。已知运输所需的内体分选复合物(ESCRT)和Atg4分别在吞噬体密封和Atg8释放中起作用。从生化角度来看,Atg4和ESCRT都促进了吞噬细胞的封闭。有趣的是,即使在没有ESCRT的情况下,atg4介导的Atg8从吞噬细胞释放也促进了吞噬细胞的封闭。这种封闭活性可以用细胞裂解液和纯化的Atg4在体外重建。为了阐明Atg4和ESCRT之间的时间关系,我们基于Atg蛋白的运输绘制了自噬体形成周期的时间表,并绘制了Atg4和ESCRT在特定阶段的作用。atg4介导的at8从吞噬体释放的时间影响被映射到吞噬体组装位点(PAS)支架和磷脂酰肌醇-3-激酶(PtdIns-3-K)复合物组装后的阶段;其阻滞只延长了at8释放期的时间,导致吞噬细胞封闭和多个吞噬细胞的积累延迟。ESCRT的影响被划分为两个阶段。除了促进吞噬细胞封闭外,它还决定了PtdIns-3-K是否可以通过控制Atg9的转运而发生募集,从而决定了自噬体形成的发生率。因此,ESCRT缺乏导致自噬体频率降低和自噬体形成时间延长,表现为自噬通量降低,但at8点数正常。因此,我们的研究确定了atg4介导的at8脱落是一种新的膜断裂机制,并揭示了ESCRT在自噬中的新的早期作用。
本文章由计算机程序翻译,如有差异,请以英文原文为准。
求助全文
约1分钟内获得全文 求助全文
来源期刊
Cell Death and Differentiation
Cell Death and Differentiation 生物-生化与分子生物学
CiteScore
24.70
自引率
1.60%
发文量
181
审稿时长
3 months
期刊介绍: Mission, vision and values of Cell Death & Differentiation: To devote itself to scientific excellence in the field of cell biology, molecular biology, and biochemistry of cell death and disease. To provide a unified forum for scientists and clinical researchers It is committed to the rapid publication of high quality original papers relating to these subjects, together with topical, usually solicited, reviews, meeting reports, editorial correspondence and occasional commentaries on controversial and scientifically informative issues.
×
引用
GB/T 7714-2015
复制
MLA
复制
APA
复制
导出至
BibTeX EndNote RefMan NoteFirst NoteExpress
×
提示
您的信息不完整,为了账户安全,请先补充。
现在去补充
×
提示
您因"违规操作"
具体请查看互助需知
我知道了
×
提示
确定
请完成安全验证×
copy
已复制链接
快去分享给好友吧!
我知道了
右上角分享
点击右上角分享
0
联系我们:info@booksci.cn Book学术提供免费学术资源搜索服务,方便国内外学者检索中英文文献。致力于提供最便捷和优质的服务体验。 Copyright © 2023 布克学术 All rights reserved.
京ICP备2023020795号-1
ghs 京公网安备 11010802042870号
Book学术文献互助
Book学术文献互助群
群 号:604180095
Book学术官方微信