Incisors inclination in relation to lip parameters: a CBCT study.

Q2 Medicine
Dental Press Journal of Orthodontics Pub Date : 2024-12-16 eCollection Date: 2024-01-01 DOI:10.1590/2177-6709.29.6.e2424130.oar
Majd Elias, Sharmin Kadkhodayan, Camila Pacheco-Pereira, Manuel Lagravère Vich
{"title":"Incisors inclination in relation to lip parameters: a CBCT study.","authors":"Majd Elias, Sharmin Kadkhodayan, Camila Pacheco-Pereira, Manuel Lagravère Vich","doi":"10.1590/2177-6709.29.6.e2424130.oar","DOIUrl":null,"url":null,"abstract":"<p><strong>Introduction: </strong>With the introduction of Cone Beam Computed Tomography (CBCT) in dentistry, precise measurements are now attainable.</p><p><strong>Objective: </strong>This study seeks to explore the correlation between incisors inclination and various lip parameters utilizing CBCT technology. Moreover, it aims to assess whether specific incisors inclinations significantly influence lip thickness, length, and position.</p><p><strong>Material and methods: </strong>This was a retrospective observational study of available records of orthodontic patients (n=84) aged between 11 and 17.5 years old with pre- and post-treatment CBCT imaging. The 3D Slicer software was used to assess lip parameters and incisors inclinations while adhering to standard CBCT imaging methods. Statistical analysis was conducted to find associations between incisors inclination and lip parameters.</p><p><strong>Results: </strong>Within certain limits of incisor inclination, lip parameters showed minimal impact. Changes in upper incisor inclination within an average of 5° did not significantly correlate with upper lip parameters. Similarly, changes in lower incisor inclination within an average of 5.6° had no significant effect on lower lip parameters. However, inclination changes of tooth #21 within 5.4° significantly affected upper lip length within 0.35mm.</p><p><strong>Conclusions: </strong>Lip parameters remained unaffected with specific ranges of incisor inclinations, except for a slight effect on upper lip length with changes in inclination of tooth #21. Clinicians can consider the specific ranges of incisors inclination during treatment planning, especially for patients concerned about lip appearance.</p>","PeriodicalId":38720,"journal":{"name":"Dental Press Journal of Orthodontics","volume":"29 6","pages":"e2424130"},"PeriodicalIF":0.0000,"publicationDate":"2024-12-16","publicationTypes":"Journal Article","fieldsOfStudy":null,"isOpenAccess":false,"openAccessPdf":"https://www.ncbi.nlm.nih.gov/pmc/articles/PMC11655018/pdf/","citationCount":"0","resultStr":null,"platform":"Semanticscholar","paperid":null,"PeriodicalName":"Dental Press Journal of Orthodontics","FirstCategoryId":"1085","ListUrlMain":"https://doi.org/10.1590/2177-6709.29.6.e2424130.oar","RegionNum":0,"RegionCategory":null,"ArticlePicture":[],"TitleCN":null,"AbstractTextCN":null,"PMCID":null,"EPubDate":"2024/1/1 0:00:00","PubModel":"eCollection","JCR":"Q2","JCRName":"Medicine","Score":null,"Total":0}
引用次数: 0

Abstract

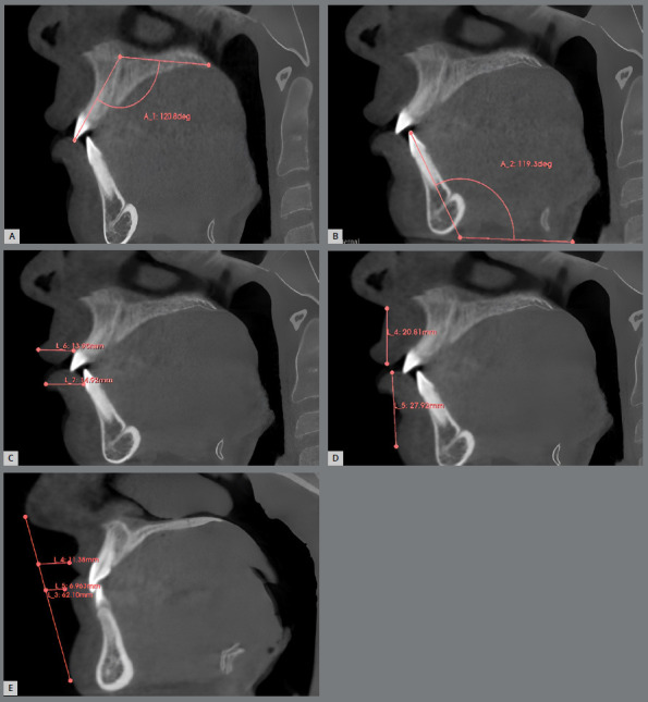
Introduction: With the introduction of Cone Beam Computed Tomography (CBCT) in dentistry, precise measurements are now attainable.

Objective: This study seeks to explore the correlation between incisors inclination and various lip parameters utilizing CBCT technology. Moreover, it aims to assess whether specific incisors inclinations significantly influence lip thickness, length, and position.

Material and methods: This was a retrospective observational study of available records of orthodontic patients (n=84) aged between 11 and 17.5 years old with pre- and post-treatment CBCT imaging. The 3D Slicer software was used to assess lip parameters and incisors inclinations while adhering to standard CBCT imaging methods. Statistical analysis was conducted to find associations between incisors inclination and lip parameters.

Results: Within certain limits of incisor inclination, lip parameters showed minimal impact. Changes in upper incisor inclination within an average of 5° did not significantly correlate with upper lip parameters. Similarly, changes in lower incisor inclination within an average of 5.6° had no significant effect on lower lip parameters. However, inclination changes of tooth #21 within 5.4° significantly affected upper lip length within 0.35mm.

Conclusions: Lip parameters remained unaffected with specific ranges of incisor inclinations, except for a slight effect on upper lip length with changes in inclination of tooth #21. Clinicians can consider the specific ranges of incisors inclination during treatment planning, especially for patients concerned about lip appearance.

Abstract Image

Abstract Image

切牙倾斜度与嘴唇参数的关系:CBCT 研究。
简介:随着锥形束计算机断层扫描(CBCT)在牙科的引入,现在可以实现精确的测量。目的:利用CBCT技术探讨切牙倾斜度与唇部各参数的关系。此外,它的目的是评估是否特定的门牙倾斜显著影响唇的厚度,长度和位置。材料和方法:这是一项回顾性观察性研究,收集了年龄在11岁至17.5岁之间的84例正畸患者治疗前后的CBCT成像记录。在遵循标准CBCT成像方法的情况下,使用3D Slicer软件评估唇部参数和门牙倾斜度。统计分析门牙倾斜度与唇部参数之间的关系。结果:在一定的切牙倾斜度范围内,唇形参数对切牙倾斜度的影响最小。上切牙倾斜度在平均5°内的变化与上唇参数没有显著相关。同样,平均5.6°内的下切牙倾斜度变化对下唇参数没有显著影响。21号齿倾角在5.4°范围内的变化对上唇长度的影响在0.35mm范围内。结论:除21号牙的倾斜度对上唇长度有轻微影响外,唇部参数不受切牙倾斜度的影响。临床医生在制定治疗计划时可考虑门牙倾斜度的具体范围,特别是对于关注唇形的患者。
本文章由计算机程序翻译,如有差异,请以英文原文为准。
求助全文
约1分钟内获得全文 求助全文
来源期刊
Dental Press Journal of Orthodontics
Dental Press Journal of Orthodontics Dentistry-Orthodontics
CiteScore
2.00
自引率
0.00%
发文量
40
审稿时长
27 weeks
期刊介绍: The Dental Press Journal of Orthodontics publishes scientific research articles, significant reviews, clinical and technical case reports, brief communications, and other materials related to Orthodontics and Facial Orthopedics.
×
引用
GB/T 7714-2015
复制
MLA
复制
APA
复制
导出至
BibTeX EndNote RefMan NoteFirst NoteExpress
×
提示
您的信息不完整,为了账户安全,请先补充。
现在去补充
×
提示
您因"违规操作"
具体请查看互助需知
我知道了
×
提示
确定
请完成安全验证×
copy
已复制链接
快去分享给好友吧!
我知道了
右上角分享
点击右上角分享
0
联系我们:info@booksci.cn Book学术提供免费学术资源搜索服务,方便国内外学者检索中英文文献。致力于提供最便捷和优质的服务体验。 Copyright © 2023 布克学术 All rights reserved.
京ICP备2023020795号-1
ghs 京公网安备 11010802042870号
Book学术文献互助
Book学术文献互助群
群 号:604180095
Book学术官方微信