Evaluation of the bonding strength of conventional, anatomized, adjustable, and CAD/CAM milled fiberglass posts in weakened endodontically treated roots.

Brazilian dental journal Pub Date : 2024-12-16 eCollection Date: 2024-01-01 DOI:10.1590/0103-644020246103
Fillipe Mendes Silva, Pedro Henrique Soares Aguiar, Helena Cristina de Assis, Fabiane Carneiro Lopes-Olhê, Jardel Francisco Mazzi-Chaves, Ricardo Gariba Silva, Antonio Miranda Cruz-Filho
{"title":"Evaluation of the bonding strength of conventional, anatomized, adjustable, and CAD/CAM milled fiberglass posts in weakened endodontically treated roots.","authors":"Fillipe Mendes Silva, Pedro Henrique Soares Aguiar, Helena Cristina de Assis, Fabiane Carneiro Lopes-Olhê, Jardel Francisco Mazzi-Chaves, Ricardo Gariba Silva, Antonio Miranda Cruz-Filho","doi":"10.1590/0103-644020246103","DOIUrl":null,"url":null,"abstract":"<p><p>This study evaluated the bond strength (BS) of conventional, anatomized, adjustable, and CAD/CAM fiberglass post systems. Forty maxillary canine roots were weakened, endodontically treated, and divided into four groups (n=10). A slice from each of the three sections (cervical, middle, apical) of the root canal was subjected to the push-out test and the failure pattern was subsequently analyzed. The most apical slice was subjected to analysis of the cementation line thickness by scanning electron microscopy (SEM). Data regarding the BS and cementation line thickness were subjected to the Shapiro-Wilk normality test followed by the variance and Tukey tests. Data failure patterns were expressed as a percentage and submitted to the chi-square test. Conventional fiberglass posts had the lowest BD compared to the other fiberglass posts (p<0.05). All fiberglass posts exhibited a higher percentage of adhesive failures to dentin. The SEM demonstrated a thicker cementation line for the conventional post compared to the other groups (p<0.05), as well as gaps and voids in the cementing material. The anatomized, adjustable, and CAD/CAM milled fiberglass post systems demonstrated a superior BS and adaptation to the root dentin compared to the conventional fiberglass post.</p>","PeriodicalId":101363,"journal":{"name":"Brazilian dental journal","volume":"35 ","pages":"e246103"},"PeriodicalIF":0.0000,"publicationDate":"2024-12-16","publicationTypes":"Journal Article","fieldsOfStudy":null,"isOpenAccess":false,"openAccessPdf":"https://www.ncbi.nlm.nih.gov/pmc/articles/PMC11654010/pdf/","citationCount":"0","resultStr":null,"platform":"Semanticscholar","paperid":null,"PeriodicalName":"Brazilian dental journal","FirstCategoryId":"1085","ListUrlMain":"https://doi.org/10.1590/0103-644020246103","RegionNum":0,"RegionCategory":null,"ArticlePicture":[],"TitleCN":null,"AbstractTextCN":null,"PMCID":null,"EPubDate":"2024/1/1 0:00:00","PubModel":"eCollection","JCR":"","JCRName":"","Score":null,"Total":0}
引用次数: 0

Abstract

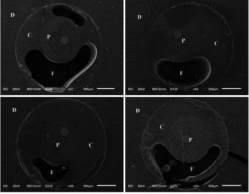
This study evaluated the bond strength (BS) of conventional, anatomized, adjustable, and CAD/CAM fiberglass post systems. Forty maxillary canine roots were weakened, endodontically treated, and divided into four groups (n=10). A slice from each of the three sections (cervical, middle, apical) of the root canal was subjected to the push-out test and the failure pattern was subsequently analyzed. The most apical slice was subjected to analysis of the cementation line thickness by scanning electron microscopy (SEM). Data regarding the BS and cementation line thickness were subjected to the Shapiro-Wilk normality test followed by the variance and Tukey tests. Data failure patterns were expressed as a percentage and submitted to the chi-square test. Conventional fiberglass posts had the lowest BD compared to the other fiberglass posts (p<0.05). All fiberglass posts exhibited a higher percentage of adhesive failures to dentin. The SEM demonstrated a thicker cementation line for the conventional post compared to the other groups (p<0.05), as well as gaps and voids in the cementing material. The anatomized, adjustable, and CAD/CAM milled fiberglass post systems demonstrated a superior BS and adaptation to the root dentin compared to the conventional fiberglass post.

Abstract Image

Abstract Image

Abstract Image

评估常规、解剖、可调节和CAD/CAM研磨玻璃纤维桩在弱化根管治疗中的结合强度。
本研究评估了传统、解剖、可调和 CAD/CAM 玻璃纤维桩系统的粘接强度(BS)。对 40 个上颌犬根进行了削弱和根管治疗,并将其分为四组(n=10)。根管的三个部分(颈部、中部、根尖)各取一片进行推出试验,随后对失败模式进行分析。最顶端的切片则通过扫描电子显微镜(SEM)分析固结线的厚度。有关 BS 和骨水泥线厚度的数据先进行 Shapiro-Wilk 正态性检验,然后进行方差和 Tukey 检验。数据失效模式以百分比表示,并进行卡方检验。与其他玻璃纤维支柱相比,传统玻璃纤维支柱的 BD 最低(p
本文章由计算机程序翻译,如有差异,请以英文原文为准。
求助全文
约1分钟内获得全文 求助全文
来源期刊
自引率
0.00%
发文量
0
×
引用
GB/T 7714-2015
复制
MLA
复制
APA
复制
导出至
BibTeX EndNote RefMan NoteFirst NoteExpress
×
提示
您的信息不完整,为了账户安全,请先补充。
现在去补充
×
提示
您因"违规操作"
具体请查看互助需知
我知道了
×
提示
确定
请完成安全验证×
copy
已复制链接
快去分享给好友吧!
我知道了
右上角分享
点击右上角分享
0
联系我们:info@booksci.cn Book学术提供免费学术资源搜索服务,方便国内外学者检索中英文文献。致力于提供最便捷和优质的服务体验。 Copyright © 2023 布克学术 All rights reserved.
京ICP备2023020795号-1
ghs 京公网安备 11010802042870号
Book学术文献互助
Book学术文献互助群
群 号:604180095
Book学术官方微信