Differential cardiac impacts of hematological malignancies and solid tumors: a histopathological and biomarker study.

IF 3.2 Q2 CARDIAC & CARDIOVASCULAR SYSTEMS
Michael H Udin, Sunitha Shyam Sunder, Sarmila Nepali, Sharma Kattel, Amr Abdelradi, Scott T Doyle, Ciprian N Ionita, Qian Liu, Umesh C Sharma, Saraswati Pokharel
{"title":"Differential cardiac impacts of hematological malignancies and solid tumors: a histopathological and biomarker study.","authors":"Michael H Udin, Sunitha Shyam Sunder, Sarmila Nepali, Sharma Kattel, Amr Abdelradi, Scott T Doyle, Ciprian N Ionita, Qian Liu, Umesh C Sharma, Saraswati Pokharel","doi":"10.1186/s40959-024-00285-3","DOIUrl":null,"url":null,"abstract":"<p><strong>Background: </strong>Cancer patients are known to be associated with increased risk of cardiovascular disease. However, no studies have examined the differential impact of hematologic malignancies (HMs) and solid tumors (STs) on cardiac morphology at the tissue level.</p><p><strong>Objective: </strong>We aimed to examine histopathological features alongside cardiovascular biomarkers in patients with HMs and STs who underwent post-mortem evaluation.</p><p><strong>Methods: </strong>We analyzed cardiac changes in 198 patients with HMs and 164 patients with solid tumors STs. We compared demographics, echocardiogram data, exposure to various antineoplastic agents, and post-mortem findings. Additionally, cardiac histological validation was conducted on post-mortem cardiac specimens to examine cardiac tissue morphology, focusing on cardiomyocyte nuclear density, collagen content, and collagen fiber orientation.</p><p><strong>Results: </strong>HM patients displayed significantly disordered collagen fiber alignment (0.71 vs 0.83, P = 0.027), and reduced cardiomyocyte nuclear density (56 vs 72, P = 0.002) compared to ST patients. Similarly, hemoglobin level was decreased (6.71 vs 8.06, P < 0.001) in HM patients compared to ST patients. HM patients also showed elevated B-type natriuretic peptide levels (2,275 vs 867, P < 0.001), without significant differences in creatine-kinase MB and cardiac troponin levels. Multivariate analysis identified increased right ventricular thickness, low diastolic blood pressure, and high cardiac troponin levels as risk factors for cardiac death in HM patients.</p><p><strong>Conclusions: </strong>This study demonstrates that HM patients have fewer cardiomyocyte nuclei and poorly aligned collagen, with serum biomarker evidence of increased cardiac dysfunction. This supports the necessity for specialized cardiac care for these patients.</p>","PeriodicalId":9804,"journal":{"name":"Cardio-oncology","volume":"10 1","pages":"90"},"PeriodicalIF":3.2000,"publicationDate":"2024-12-19","publicationTypes":"Journal Article","fieldsOfStudy":null,"isOpenAccess":false,"openAccessPdf":"https://www.ncbi.nlm.nih.gov/pmc/articles/PMC11657889/pdf/","citationCount":"0","resultStr":null,"platform":"Semanticscholar","paperid":null,"PeriodicalName":"Cardio-oncology","FirstCategoryId":"1085","ListUrlMain":"https://doi.org/10.1186/s40959-024-00285-3","RegionNum":0,"RegionCategory":null,"ArticlePicture":[],"TitleCN":null,"AbstractTextCN":null,"PMCID":null,"EPubDate":"","PubModel":"","JCR":"Q2","JCRName":"CARDIAC & CARDIOVASCULAR SYSTEMS","Score":null,"Total":0}
引用次数: 0

Abstract

Background: Cancer patients are known to be associated with increased risk of cardiovascular disease. However, no studies have examined the differential impact of hematologic malignancies (HMs) and solid tumors (STs) on cardiac morphology at the tissue level.

Objective: We aimed to examine histopathological features alongside cardiovascular biomarkers in patients with HMs and STs who underwent post-mortem evaluation.

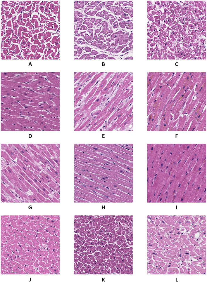
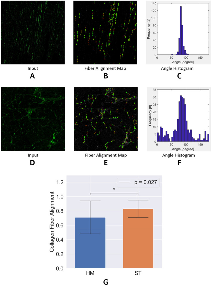
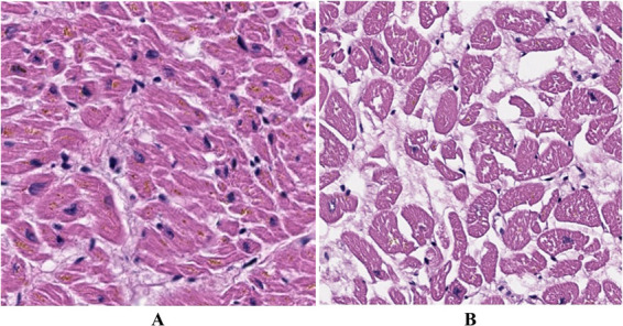
Methods: We analyzed cardiac changes in 198 patients with HMs and 164 patients with solid tumors STs. We compared demographics, echocardiogram data, exposure to various antineoplastic agents, and post-mortem findings. Additionally, cardiac histological validation was conducted on post-mortem cardiac specimens to examine cardiac tissue morphology, focusing on cardiomyocyte nuclear density, collagen content, and collagen fiber orientation.

Results: HM patients displayed significantly disordered collagen fiber alignment (0.71 vs 0.83, P = 0.027), and reduced cardiomyocyte nuclear density (56 vs 72, P = 0.002) compared to ST patients. Similarly, hemoglobin level was decreased (6.71 vs 8.06, P < 0.001) in HM patients compared to ST patients. HM patients also showed elevated B-type natriuretic peptide levels (2,275 vs 867, P < 0.001), without significant differences in creatine-kinase MB and cardiac troponin levels. Multivariate analysis identified increased right ventricular thickness, low diastolic blood pressure, and high cardiac troponin levels as risk factors for cardiac death in HM patients.

Conclusions: This study demonstrates that HM patients have fewer cardiomyocyte nuclei and poorly aligned collagen, with serum biomarker evidence of increased cardiac dysfunction. This supports the necessity for specialized cardiac care for these patients.

Abstract Image

Abstract Image

Abstract Image

血液恶性肿瘤和实体肿瘤对心脏的不同影响:一项组织病理学和生物标志物研究。
背景:已知癌症患者与心血管疾病的风险增加有关。然而,没有研究在组织水平上检查血液恶性肿瘤(HMs)和实体肿瘤(STs)对心脏形态的不同影响。目的:我们的目的是检查HMs和STs患者死后评估的组织病理学特征和心血管生物标志物。方法:我们分析了198例HMs患者和164例实体瘤性STs患者的心脏变化。我们比较了人口统计学、超声心动图数据、暴露于各种抗肿瘤药物和死后发现。此外,对死后心脏标本进行心脏组织学验证,以检查心脏组织形态学,重点关注心肌细胞核密度、胶原含量和胶原纤维取向。结果:与ST患者相比,HM患者表现出明显的胶原纤维排列紊乱(0.71 vs 0.83, P = 0.027),心肌细胞核密度降低(56 vs 72, P = 0.002)。同样,血红蛋白水平降低(6.71 vs 8.06, P)。结论:本研究表明HM患者心肌细胞核减少,胶原排列不良,血清生物标志物表明心功能障碍增加。这支持了对这些患者进行专门心脏护理的必要性。
本文章由计算机程序翻译,如有差异,请以英文原文为准。
求助全文
约1分钟内获得全文 求助全文
来源期刊
Cardio-oncology
Cardio-oncology Medicine-Cardiology and Cardiovascular Medicine
CiteScore
5.00
自引率
3.00%
发文量
17
审稿时长
7 weeks
×
引用
GB/T 7714-2015
复制
MLA
复制
APA
复制
导出至
BibTeX EndNote RefMan NoteFirst NoteExpress
×
提示
您的信息不完整,为了账户安全,请先补充。
现在去补充
×
提示
您因"违规操作"
具体请查看互助需知
我知道了
×
提示
确定
请完成安全验证×
copy
已复制链接
快去分享给好友吧!
我知道了
右上角分享
点击右上角分享
0
联系我们:info@booksci.cn Book学术提供免费学术资源搜索服务,方便国内外学者检索中英文文献。致力于提供最便捷和优质的服务体验。 Copyright © 2023 布克学术 All rights reserved.
京ICP备2023020795号-1
ghs 京公网安备 11010802042870号
Book学术文献互助
Book学术文献互助群
群 号:604180095
Book学术官方微信