The Mechanism and Management of Pneumopericardium Caused by Right Ventricular Lead Perforation.

IF 1.4 Q3 CARDIAC & CARDIOVASCULAR SYSTEMS
Cardiology Research Pub Date : 2024-12-01 Epub Date: 2024-12-03 DOI:10.14740/cr1738
Tomo Komaki, Yuuki Ueno, Noriyuki Mohri, Akihito Ideishi, Kohei Tashiro, Shin-Ichiro Miura, Masahiro Ogawa
{"title":"The Mechanism and Management of Pneumopericardium Caused by Right Ventricular Lead Perforation.","authors":"Tomo Komaki, Yuuki Ueno, Noriyuki Mohri, Akihito Ideishi, Kohei Tashiro, Shin-Ichiro Miura, Masahiro Ogawa","doi":"10.14740/cr1738","DOIUrl":null,"url":null,"abstract":"<p><p>An 83-year-old man underwent dual-chamber pacemaker placement for complete atrioventricular block at another hospital. The active-fixation ventricular lead was positioned on the free wall of the anterior right ventricle. Ventricular pacing failure occurred on the day after pacemaker implantation, and fluoroscopy revealed right ventricular (RV) lead perforation. The patient was transferred to our hospital, and chest computed tomography revealed a severe pneumothorax and moderate pneumopericardium. These symptoms were relieved after chest tube drainage, and the patient's hemodynamics stabilized. The RV lead was percutaneously removed using simple traction under fluoroscopic guidance with cardiac surgical backup and was uneventfully refixed to the RV septum. Although there have been several reports of pneumopericardium caused by atrial lead perforation, there are very few cases related to RV lead. Pneumopericardium complicated by pneumothorax due to RV lead perforation can be relieved using chest tube drainage without the need for pericardiocentesis.</p>","PeriodicalId":9424,"journal":{"name":"Cardiology Research","volume":"15 6","pages":"472-476"},"PeriodicalIF":1.4000,"publicationDate":"2024-12-01","publicationTypes":"Journal Article","fieldsOfStudy":null,"isOpenAccess":false,"openAccessPdf":"https://www.ncbi.nlm.nih.gov/pmc/articles/PMC11650576/pdf/","citationCount":"0","resultStr":null,"platform":"Semanticscholar","paperid":null,"PeriodicalName":"Cardiology Research","FirstCategoryId":"1085","ListUrlMain":"https://doi.org/10.14740/cr1738","RegionNum":0,"RegionCategory":null,"ArticlePicture":[],"TitleCN":null,"AbstractTextCN":null,"PMCID":null,"EPubDate":"2024/12/3 0:00:00","PubModel":"Epub","JCR":"Q3","JCRName":"CARDIAC & CARDIOVASCULAR SYSTEMS","Score":null,"Total":0}
引用次数: 0

Abstract

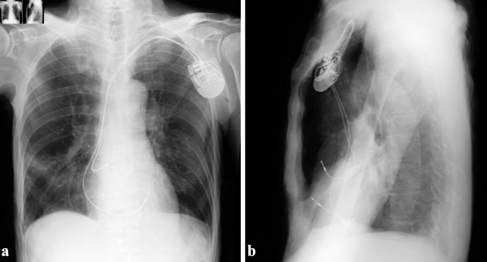
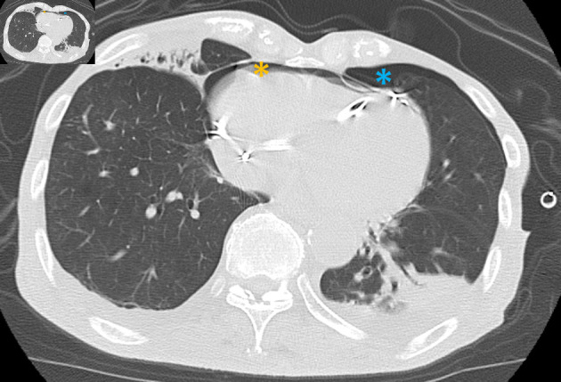
An 83-year-old man underwent dual-chamber pacemaker placement for complete atrioventricular block at another hospital. The active-fixation ventricular lead was positioned on the free wall of the anterior right ventricle. Ventricular pacing failure occurred on the day after pacemaker implantation, and fluoroscopy revealed right ventricular (RV) lead perforation. The patient was transferred to our hospital, and chest computed tomography revealed a severe pneumothorax and moderate pneumopericardium. These symptoms were relieved after chest tube drainage, and the patient's hemodynamics stabilized. The RV lead was percutaneously removed using simple traction under fluoroscopic guidance with cardiac surgical backup and was uneventfully refixed to the RV septum. Although there have been several reports of pneumopericardium caused by atrial lead perforation, there are very few cases related to RV lead. Pneumopericardium complicated by pneumothorax due to RV lead perforation can be relieved using chest tube drainage without the need for pericardiocentesis.

Abstract Image

Abstract Image

Abstract Image

右心室导联穿孔致心包气肿的发生机制及治疗。
一位83岁的男性在另一家医院接受了双室起搏器放置的完全性房室传导阻滞。主动固定心室导联被放置在右前心室的游离壁上。心脏起搏器植入次日发生心室起搏衰竭,透视显示右心室导联穿孔。患者被转至我院,胸部计算机断层扫描显示严重气胸和中度气包心包。胸管引流后症状缓解,血流动力学稳定。右心室导联在透视引导下经皮取下,在心脏手术辅助下进行简单牵引,并顺利地重新固定在右心室隔上。虽然有几例心房导联穿孔引起心包气肿的报道,但很少有与右心室导联有关的病例。由于右心室导联穿孔导致的心包并发气胸可以通过胸管引流而不需要心包穿刺来缓解。
本文章由计算机程序翻译,如有差异,请以英文原文为准。
求助全文
约1分钟内获得全文 求助全文
来源期刊
Cardiology Research
Cardiology Research CARDIAC & CARDIOVASCULAR SYSTEMS-
CiteScore
2.50
自引率
0.00%
发文量
42
期刊介绍: Cardiology Research is an open access, peer-reviewed, international journal. All submissions relating to basic research and clinical practice of cardiology and cardiovascular medicine are in this journal''s scope. This journal focuses on publishing original research and observations in all cardiovascular medicine aspects. Manuscript types include original article, review, case report, short communication, book review, letter to the editor.
×
引用
GB/T 7714-2015
复制
MLA
复制
APA
复制
导出至
BibTeX EndNote RefMan NoteFirst NoteExpress
×
提示
您的信息不完整,为了账户安全,请先补充。
现在去补充
×
提示
您因"违规操作"
具体请查看互助需知
我知道了
×
提示
确定
请完成安全验证×
copy
已复制链接
快去分享给好友吧!
我知道了
右上角分享
点击右上角分享
0
联系我们:info@booksci.cn Book学术提供免费学术资源搜索服务,方便国内外学者检索中英文文献。致力于提供最便捷和优质的服务体验。 Copyright © 2023 布克学术 All rights reserved.
京ICP备2023020795号-1
ghs 京公网安备 11010802042870号
Book学术文献互助
Book学术文献互助群
群 号:604180095
Book学术官方微信