Myocardial perfusion imaging in a case of cardiac strangulation: A novel approach to detect pacemaker-induced ischemia.

IF 0.7 Q4 CARDIAC & CARDIOVASCULAR SYSTEMS
Annals of Pediatric Cardiology Pub Date : 2024-07-01 Epub Date: 2024-11-15 DOI:10.4103/apc.apc_125_24
Siven Kar, Harshita Gupta, Nusrat Shaikh, Vikram Lele
{"title":"Myocardial perfusion imaging in a case of cardiac strangulation: A novel approach to detect pacemaker-induced ischemia.","authors":"Siven Kar, Harshita Gupta, Nusrat Shaikh, Vikram Lele","doi":"10.4103/apc.apc_125_24","DOIUrl":null,"url":null,"abstract":"<p><p>Cardiac strangulation is a rare phenomenon in children following epicardial pacemaker implantation, caused by compression of the heart and great vessels by the epicardial pacemaker wires. We report a rare case of cardiac strangulation presenting after 8 years of epicardial pacemaker implantation. On routine follow-up, computed tomography angiography showed significant extrinsic compression of the mid-left anterior descending (LAD) artery by the epicardial pacing wire. She was referred to our department for myocardial perfusion imaging (MPI), which showed significant inducible ischemia in the LAD territory. Following this, she underwent a successful pacemaker reimplantation. MPI can, thus, act as a good tool to assess the functional significance of the compression caused by strangulation of the heart by pacemaker leads in asymptomatic patients.</p>","PeriodicalId":8026,"journal":{"name":"Annals of Pediatric Cardiology","volume":"17 4","pages":"298-300"},"PeriodicalIF":0.7000,"publicationDate":"2024-07-01","publicationTypes":"Journal Article","fieldsOfStudy":null,"isOpenAccess":false,"openAccessPdf":"https://www.ncbi.nlm.nih.gov/pmc/articles/PMC11651413/pdf/","citationCount":"0","resultStr":null,"platform":"Semanticscholar","paperid":null,"PeriodicalName":"Annals of Pediatric Cardiology","FirstCategoryId":"1085","ListUrlMain":"https://doi.org/10.4103/apc.apc_125_24","RegionNum":0,"RegionCategory":null,"ArticlePicture":[],"TitleCN":null,"AbstractTextCN":null,"PMCID":null,"EPubDate":"2024/11/15 0:00:00","PubModel":"Epub","JCR":"Q4","JCRName":"CARDIAC & CARDIOVASCULAR SYSTEMS","Score":null,"Total":0}
引用次数: 0

Abstract

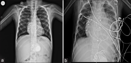
Cardiac strangulation is a rare phenomenon in children following epicardial pacemaker implantation, caused by compression of the heart and great vessels by the epicardial pacemaker wires. We report a rare case of cardiac strangulation presenting after 8 years of epicardial pacemaker implantation. On routine follow-up, computed tomography angiography showed significant extrinsic compression of the mid-left anterior descending (LAD) artery by the epicardial pacing wire. She was referred to our department for myocardial perfusion imaging (MPI), which showed significant inducible ischemia in the LAD territory. Following this, she underwent a successful pacemaker reimplantation. MPI can, thus, act as a good tool to assess the functional significance of the compression caused by strangulation of the heart by pacemaker leads in asymptomatic patients.

Abstract Image

Abstract Image

Abstract Image

心脏绞窄的心肌灌注成像:一种检测心脏起搏器引起的缺血的新方法。
心脏绞窄在儿童心外膜起搏器植入后是一种罕见的现象,它是由心外膜起搏器导线压迫心脏和大血管引起的。我们报告一例罕见的心脏绞窄出现后8年心外膜起搏器植入术。在常规随访中,计算机断层血管造影显示心外膜起搏线明显压迫左中前降支(LAD)动脉。她被转到我科进行心肌灌注成像(MPI),显示LAD区域有明显的诱导性缺血。随后,她接受了成功的心脏起搏器再植。因此,MPI可以作为一个很好的工具来评估无症状患者由起搏器导联引起的心脏绞窄造成的压迫的功能意义。
本文章由计算机程序翻译,如有差异,请以英文原文为准。
求助全文
约1分钟内获得全文 求助全文
来源期刊
Annals of Pediatric Cardiology
Annals of Pediatric Cardiology CARDIAC & CARDIOVASCULAR SYSTEMS-
CiteScore
1.40
自引率
14.30%
发文量
51
审稿时长
23 weeks
×
引用
GB/T 7714-2015
复制
MLA
复制
APA
复制
导出至
BibTeX EndNote RefMan NoteFirst NoteExpress
×
提示
您的信息不完整,为了账户安全,请先补充。
现在去补充
×
提示
您因"违规操作"
具体请查看互助需知
我知道了
×
提示
确定
请完成安全验证×
copy
已复制链接
快去分享给好友吧!
我知道了
右上角分享
点击右上角分享
0
联系我们:info@booksci.cn Book学术提供免费学术资源搜索服务,方便国内外学者检索中英文文献。致力于提供最便捷和优质的服务体验。 Copyright © 2023 布克学术 All rights reserved.
京ICP备2023020795号-1
ghs 京公网安备 11010802042870号
Book学术文献互助
Book学术文献互助群
群 号:604180095
Book学术官方微信