The Use of Baclofen to Control Vertical Nystagmus in a Patient with Advanced Glioma: A Case Report.

Luma Alfraihat, Sami Ayed Alshammary, Hassan Yousef Alghar
{"title":"The Use of Baclofen to Control Vertical Nystagmus in a Patient with Advanced Glioma: A Case Report.","authors":"Luma Alfraihat, Sami Ayed Alshammary, Hassan Yousef Alghar","doi":"10.14475/jhpc.2024.27.4.177","DOIUrl":null,"url":null,"abstract":"<p><p>Nystagmus, characterized by involuntary eye movements, can arise from several causes, with benign paroxysmal positional vertigo being the most prevalent. Additionally, central lesions such as tumors may also induce nystagmus. This case report describes the amelioration of vertical nystagmus in a patient with advanced glioma after treatment with the GABAergic drug baclofen.</p>","PeriodicalId":73780,"journal":{"name":"Journal of hospice and palliative care","volume":"27 4","pages":"177-179"},"PeriodicalIF":0.0000,"publicationDate":"2024-12-01","publicationTypes":"Journal Article","fieldsOfStudy":null,"isOpenAccess":false,"openAccessPdf":"https://www.ncbi.nlm.nih.gov/pmc/articles/PMC11646824/pdf/","citationCount":"0","resultStr":null,"platform":"Semanticscholar","paperid":null,"PeriodicalName":"Journal of hospice and palliative care","FirstCategoryId":"1085","ListUrlMain":"https://doi.org/10.14475/jhpc.2024.27.4.177","RegionNum":0,"RegionCategory":null,"ArticlePicture":[],"TitleCN":null,"AbstractTextCN":null,"PMCID":null,"EPubDate":"","PubModel":"","JCR":"","JCRName":"","Score":null,"Total":0}
引用次数: 0

Abstract

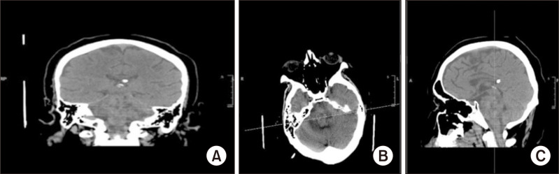
Nystagmus, characterized by involuntary eye movements, can arise from several causes, with benign paroxysmal positional vertigo being the most prevalent. Additionally, central lesions such as tumors may also induce nystagmus. This case report describes the amelioration of vertical nystagmus in a patient with advanced glioma after treatment with the GABAergic drug baclofen.

Abstract Image

使用巴氯芬控制胶质瘤晚期患者的垂直性眼球震颤:病例报告。
眼球震颤以眼球不自主运动为特征,可由多种原因引起,其中以良性阵发性位置性眩晕最为常见。此外,中枢病变如肿瘤也可诱发眼球震颤。本病例报告描述了一名晚期胶质瘤患者在使用gaba能药物巴氯芬治疗后垂直眼球震颤的改善情况。
本文章由计算机程序翻译,如有差异,请以英文原文为准。
求助全文
约1分钟内获得全文 求助全文
来源期刊
自引率
0.00%
发文量
0
×
引用
GB/T 7714-2015
复制
MLA
复制
APA
复制
导出至
BibTeX EndNote RefMan NoteFirst NoteExpress
×
提示
您的信息不完整,为了账户安全,请先补充。
现在去补充
×
提示
您因"违规操作"
具体请查看互助需知
我知道了
×
提示
确定
请完成安全验证×
copy
已复制链接
快去分享给好友吧!
我知道了
右上角分享
点击右上角分享
0
联系我们:info@booksci.cn Book学术提供免费学术资源搜索服务,方便国内外学者检索中英文文献。致力于提供最便捷和优质的服务体验。 Copyright © 2023 布克学术 All rights reserved.
京ICP备2023020795号-1
ghs 京公网安备 11010802042870号
Book学术文献互助
Book学术文献互助群
群 号:604180095
Book学术官方微信