Brain invasion by an otherwise benign meningioma in a cat.

IF 0.7 Q3 VETERINARY SCIENCES
Journal of Feline Medicine and Surgery Open Reports Pub Date : 2024-12-16 eCollection Date: 2024-07-01 DOI:10.1177/20551169241291842
Kiyotaka Arai, Shinichi Nakamura, Kanami Matsubara, Yuma Ozaki, Sho Kadekaru, Akihiko Sugiyama, Ikki Mitsui, Natsuki Akashi, Ryohei Yoshitake, Kenji Kutara
{"title":"Brain invasion by an otherwise benign meningioma in a cat.","authors":"Kiyotaka Arai, Shinichi Nakamura, Kanami Matsubara, Yuma Ozaki, Sho Kadekaru, Akihiko Sugiyama, Ikki Mitsui, Natsuki Akashi, Ryohei Yoshitake, Kenji Kutara","doi":"10.1177/20551169241291842","DOIUrl":null,"url":null,"abstract":"<p><strong>Case summary: </strong>A 13-year-old castrated male American Shorthair cat was referred for evaluation following a 3-week history of poor balance and decreased activity. The MRI findings revealed a well-defined left caudal cerebellar mass with a diameter of 1.2 cm, consistent with a meningioma. CT and MRI scans did not reveal metastasis. After a suboccipital craniotomy, the mass was resected subtotally as a result of parenchymal invasion. A histopathological examination revealed a benign fibrous meningioma with invasion into the cerebellum at the tumour margins. Postoperatively, the cat remained asymptomatic for 25 months, but ataxia recurred, and tumour recurrence was confirmed using MRI and post-mortem examination.</p><p><strong>Relevance and novel information: </strong>This case demonstrates that even feline meningiomas with benign features can exhibit brain invasion. Since brain invasion is an indicator of malignancy in meningioma, a detailed histopathological evaluation of the tumour margins is essential for accurate grading and prognosis.</p>","PeriodicalId":36588,"journal":{"name":"Journal of Feline Medicine and Surgery Open Reports","volume":"10 2","pages":"20551169241291842"},"PeriodicalIF":0.7000,"publicationDate":"2024-12-16","publicationTypes":"Journal Article","fieldsOfStudy":null,"isOpenAccess":false,"openAccessPdf":"https://www.ncbi.nlm.nih.gov/pmc/articles/PMC11650476/pdf/","citationCount":"0","resultStr":null,"platform":"Semanticscholar","paperid":null,"PeriodicalName":"Journal of Feline Medicine and Surgery Open Reports","FirstCategoryId":"1085","ListUrlMain":"https://doi.org/10.1177/20551169241291842","RegionNum":0,"RegionCategory":null,"ArticlePicture":[],"TitleCN":null,"AbstractTextCN":null,"PMCID":null,"EPubDate":"2024/7/1 0:00:00","PubModel":"eCollection","JCR":"Q3","JCRName":"VETERINARY SCIENCES","Score":null,"Total":0}
引用次数: 0

Abstract

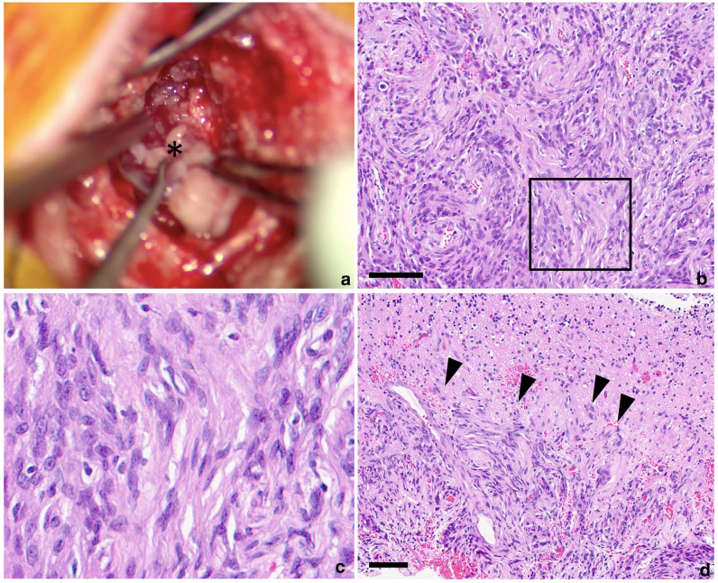
Case summary: A 13-year-old castrated male American Shorthair cat was referred for evaluation following a 3-week history of poor balance and decreased activity. The MRI findings revealed a well-defined left caudal cerebellar mass with a diameter of 1.2 cm, consistent with a meningioma. CT and MRI scans did not reveal metastasis. After a suboccipital craniotomy, the mass was resected subtotally as a result of parenchymal invasion. A histopathological examination revealed a benign fibrous meningioma with invasion into the cerebellum at the tumour margins. Postoperatively, the cat remained asymptomatic for 25 months, but ataxia recurred, and tumour recurrence was confirmed using MRI and post-mortem examination.

Relevance and novel information: This case demonstrates that even feline meningiomas with benign features can exhibit brain invasion. Since brain invasion is an indicator of malignancy in meningioma, a detailed histopathological evaluation of the tumour margins is essential for accurate grading and prognosis.

Abstract Image

Abstract Image

Abstract Image

猫脑内良性脑膜瘤的侵袭。
病例总结:一只13岁的阉割雄性美国短毛猫在3周的平衡不良和活动减少史后被转介进行评估。MRI显示左侧小脑尾端有一直径1.2 cm的清晰肿块,符合脑膜瘤。CT和MRI扫描未发现转移。在枕下开颅手术后,肿块因实质侵犯而被部分切除。组织病理学检查显示良性纤维脑膜瘤,肿瘤边缘浸润小脑。术后25个月,猫无症状,但共济失调复发,并通过MRI和尸检确认肿瘤复发。相关和新信息:本病例表明,即使是具有良性特征的猫脑膜瘤也可能表现为脑侵犯。由于脑浸润是脑膜瘤恶性的一个指标,因此对肿瘤边缘进行详细的组织病理学评估对于准确的分级和预后至关重要。
本文章由计算机程序翻译,如有差异,请以英文原文为准。
求助全文
约1分钟内获得全文 求助全文
来源期刊
CiteScore
1.30
自引率
14.30%
发文量
57
审稿时长
15 weeks
×
引用
GB/T 7714-2015
复制
MLA
复制
APA
复制
导出至
BibTeX EndNote RefMan NoteFirst NoteExpress
×
提示
您的信息不完整,为了账户安全,请先补充。
现在去补充
×
提示
您因"违规操作"
具体请查看互助需知
我知道了
×
提示
确定
请完成安全验证×
copy
已复制链接
快去分享给好友吧!
我知道了
右上角分享
点击右上角分享
0
联系我们:info@booksci.cn Book学术提供免费学术资源搜索服务,方便国内外学者检索中英文文献。致力于提供最便捷和优质的服务体验。 Copyright © 2023 布克学术 All rights reserved.
京ICP备2023020795号-1
ghs 京公网安备 11010802042870号
Book学术文献互助
Book学术文献互助群
群 号:604180095
Book学术官方微信