Enigma of Gastric Teratoma in Infants: A Case Series.

IF 0.7 Q4 SURGERY
European Journal of Pediatric Surgery Reports Pub Date : 2024-12-16 eCollection Date: 2024-01-01 DOI:10.1055/s-0044-1800885
Soumitra Saha, Mayank Tripathi, Kumar Vineet, Ajinkya Kale, Pooja Pande, Zachariah Chowdhury, Raghwesh Ranjan
{"title":"Enigma of Gastric Teratoma in Infants: A Case Series.","authors":"Soumitra Saha, Mayank Tripathi, Kumar Vineet, Ajinkya Kale, Pooja Pande, Zachariah Chowdhury, Raghwesh Ranjan","doi":"10.1055/s-0044-1800885","DOIUrl":null,"url":null,"abstract":"<p><p>Gastric teratomas are an extremely rare variety of teratomas in children. The aim of our series is to present the natural history and progression of the disease. Retrospective analysis of prospectively maintained data of all the gastric teratoma patients treated at our center was done from their electronic medical records. A total of four cases of gastric teratoma were found to have been treated, all of them being less than 1 year old with three-fourths being male. Typical imaging features of teratoma along with normal germ cell tumor markers helped in making a diagnosis. Surgery is the main form of treatment. In final histopathology, there was equal distribution of mature and immature teratomas. On long-term follow-up, there has been no incidence of recurrence. There needs to be reporting of more cases to verify its natural history.</p>","PeriodicalId":43204,"journal":{"name":"European Journal of Pediatric Surgery Reports","volume":"12 1","pages":"e85-e89"},"PeriodicalIF":0.7000,"publicationDate":"2024-12-16","publicationTypes":"Journal Article","fieldsOfStudy":null,"isOpenAccess":false,"openAccessPdf":"https://www.ncbi.nlm.nih.gov/pmc/articles/PMC11649355/pdf/","citationCount":"0","resultStr":null,"platform":"Semanticscholar","paperid":null,"PeriodicalName":"European Journal of Pediatric Surgery Reports","FirstCategoryId":"1085","ListUrlMain":"https://doi.org/10.1055/s-0044-1800885","RegionNum":0,"RegionCategory":null,"ArticlePicture":[],"TitleCN":null,"AbstractTextCN":null,"PMCID":null,"EPubDate":"2024/1/1 0:00:00","PubModel":"eCollection","JCR":"Q4","JCRName":"SURGERY","Score":null,"Total":0}
引用次数: 0

Abstract

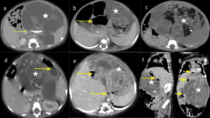
Gastric teratomas are an extremely rare variety of teratomas in children. The aim of our series is to present the natural history and progression of the disease. Retrospective analysis of prospectively maintained data of all the gastric teratoma patients treated at our center was done from their electronic medical records. A total of four cases of gastric teratoma were found to have been treated, all of them being less than 1 year old with three-fourths being male. Typical imaging features of teratoma along with normal germ cell tumor markers helped in making a diagnosis. Surgery is the main form of treatment. In final histopathology, there was equal distribution of mature and immature teratomas. On long-term follow-up, there has been no incidence of recurrence. There needs to be reporting of more cases to verify its natural history.

Abstract Image

Abstract Image

婴儿胃畸胎瘤之谜:病例系列。
胃畸胎瘤是儿童畸胎瘤中极为罕见的一种。我们的系列研究旨在介绍这种疾病的自然病史和进展情况。我们通过电子病历对在本中心接受治疗的所有胃畸胎瘤患者的前瞻性数据进行了回顾性分析。结果发现共有四例胃畸胎瘤患者接受过治疗,年龄均小于一岁,其中四分之三为男性。畸胎瘤的典型影像学特征和正常生殖细胞肿瘤标志物有助于诊断。手术是主要的治疗方式。在最终的组织病理学检查中,成熟畸胎瘤和未成熟畸胎瘤的分布相当。在长期随访中,没有发现复发病例。需要报告更多的病例来验证其自然史。
本文章由计算机程序翻译,如有差异,请以英文原文为准。
求助全文
约1分钟内获得全文 求助全文
来源期刊
自引率
33.30%
发文量
39
审稿时长
12 weeks
×
引用
GB/T 7714-2015
复制
MLA
复制
APA
复制
导出至
BibTeX EndNote RefMan NoteFirst NoteExpress
×
提示
您的信息不完整,为了账户安全,请先补充。
现在去补充
×
提示
您因"违规操作"
具体请查看互助需知
我知道了
×
提示
确定
请完成安全验证×
copy
已复制链接
快去分享给好友吧!
我知道了
右上角分享
点击右上角分享
0
联系我们:info@booksci.cn Book学术提供免费学术资源搜索服务,方便国内外学者检索中英文文献。致力于提供最便捷和优质的服务体验。 Copyright © 2023 布克学术 All rights reserved.
京ICP备2023020795号-1
ghs 京公网安备 11010802042870号
Book学术文献互助
Book学术文献互助群
群 号:604180095
Book学术官方微信