From low back pain to Takayasu arteritis: A rare case report.

IF 1.3 4区 医学 Q3 REHABILITATION
Sefa Tan, Banu Gokcen Tan, Zafer Gunendi
{"title":"From low back pain to Takayasu arteritis: A rare case report.","authors":"Sefa Tan, Banu Gokcen Tan, Zafer Gunendi","doi":"10.5606/tftrd.2024.12821","DOIUrl":null,"url":null,"abstract":"<p><p>Takayasu arteritis (TA) is an uncommon chronic inflammation of blood vessels. It can occur with a range of clinical manifestations. However, low back pain is uncommonly defined as the initial symptom of TA. In this article, we report a 53-year-old woman who presented with low back pain and was diagnosed with TA after a detailed clinical examination and further evaluations. A thorough history and detailed physical examination can help to recognize the underlying cause of low back pain. Takayasu arteritis should be kept in mind as an alternative diagnosis while evaluating low back pain with high inflammation parameters, particularly in women.</p>","PeriodicalId":56043,"journal":{"name":"Turkish Journal of Physical Medicine and Rehabilitation","volume":"70 3","pages":"410-413"},"PeriodicalIF":1.3000,"publicationDate":"2024-01-15","publicationTypes":"Journal Article","fieldsOfStudy":null,"isOpenAccess":false,"openAccessPdf":"https://www.ncbi.nlm.nih.gov/pmc/articles/PMC11639491/pdf/","citationCount":"0","resultStr":null,"platform":"Semanticscholar","paperid":null,"PeriodicalName":"Turkish Journal of Physical Medicine and Rehabilitation","FirstCategoryId":"3","ListUrlMain":"https://doi.org/10.5606/tftrd.2024.12821","RegionNum":4,"RegionCategory":"医学","ArticlePicture":[],"TitleCN":null,"AbstractTextCN":null,"PMCID":null,"EPubDate":"2024/9/1 0:00:00","PubModel":"eCollection","JCR":"Q3","JCRName":"REHABILITATION","Score":null,"Total":0}
引用次数: 0

Abstract

Takayasu arteritis (TA) is an uncommon chronic inflammation of blood vessels. It can occur with a range of clinical manifestations. However, low back pain is uncommonly defined as the initial symptom of TA. In this article, we report a 53-year-old woman who presented with low back pain and was diagnosed with TA after a detailed clinical examination and further evaluations. A thorough history and detailed physical examination can help to recognize the underlying cause of low back pain. Takayasu arteritis should be kept in mind as an alternative diagnosis while evaluating low back pain with high inflammation parameters, particularly in women.

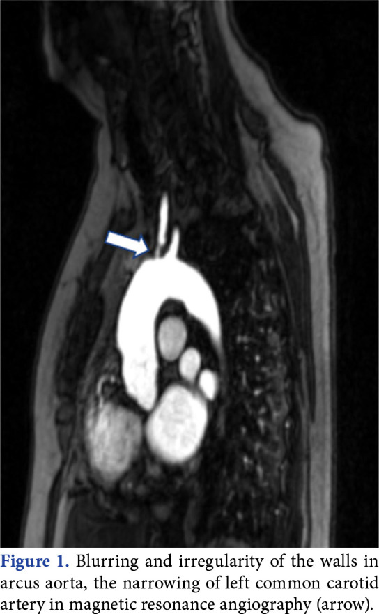
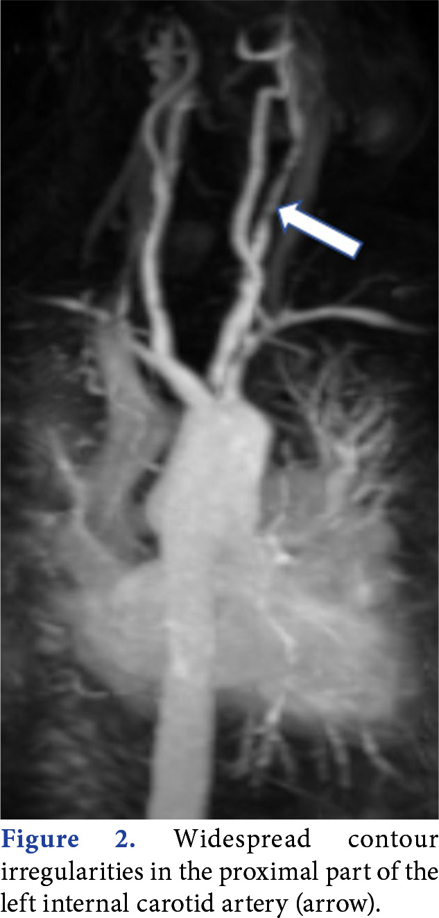
Abstract Image

Abstract Image

从腰痛到高须动脉炎:罕见病例报告。
高安动脉炎(TA)是一种不常见的慢性血管炎。它可以出现一系列临床表现。然而,腰背痛被定义为高安动脉炎的首发症状并不常见。在本文中,我们报告了一名 53 岁女性的病例,她因腰背疼痛就诊,经过详细的临床检查和进一步评估后被确诊为 TA。详尽的病史和详细的体格检查有助于识别腰背痛的潜在病因。在评估炎症指标较高的腰背痛(尤其是女性)时,应将高安动脉炎作为替代诊断。
本文章由计算机程序翻译,如有差异,请以英文原文为准。
求助全文
约1分钟内获得全文 求助全文
来源期刊
Turkish Journal of Physical Medicine and Rehabilitation
Turkish Journal of Physical Medicine and Rehabilitation Health Professions-Physical Therapy, Sports Therapy and Rehabilitation
CiteScore
2.20
自引率
0.00%
发文量
0
期刊介绍: The Turkish Journal of Physical Medicine and Rehabilitation (Formerly published as Türkiye Fiziksel Tıp ve Rehabilitasyon Dergisi) is the official journal of the Turkish Society of Physical Medicine and Rehabilitation. The journal is an international open-access, double-blind peer-reviewed periodical journal bringing the latest developments in all aspects of physical medicine and rehabilitation, and related fields. The journal publishes original articles, review articles, editorials, case reports (limited), letters to the editors. The target readership includes academic members, specialists, residents working in the fields of Physical Medicine and Rehabilitation. The language of the journal is English and it is published quarterly (in March, June, September, and December).
×
引用
GB/T 7714-2015
复制
MLA
复制
APA
复制
导出至
BibTeX EndNote RefMan NoteFirst NoteExpress
×
提示
您的信息不完整,为了账户安全,请先补充。
现在去补充
×
提示
您因"违规操作"
具体请查看互助需知
我知道了
×
提示
确定
请完成安全验证×
copy
已复制链接
快去分享给好友吧!
我知道了
右上角分享
点击右上角分享
0
联系我们:info@booksci.cn Book学术提供免费学术资源搜索服务,方便国内外学者检索中英文文献。致力于提供最便捷和优质的服务体验。 Copyright © 2023 布克学术 All rights reserved.
京ICP备2023020795号-1
ghs 京公网安备 11010802042870号
Book学术文献互助
Book学术文献互助群
群 号:604180095
Book学术官方微信