Rhabdomyosarcoma of the Maxilla.

IF 1.3 4区 医学 Q4 RADIOLOGY, NUCLEAR MEDICINE & MEDICAL IMAGING
Journal of the Belgian Society of Radiology Pub Date : 2024-12-09 eCollection Date: 2024-01-01 DOI:10.5334/jbsr.3797
Karel Mercken, Maarten Steyvers, Robert Hermans
{"title":"Rhabdomyosarcoma of the Maxilla.","authors":"Karel Mercken, Maarten Steyvers, Robert Hermans","doi":"10.5334/jbsr.3797","DOIUrl":null,"url":null,"abstract":"<p><p>Rhabdomyosarcoma is the most common soft tissue sarcoma in children but is less frequent in adults, with the head and neck region as primary site. Magnetic resonance imaging (MRI) is the preferred diagnostic imaging tool, though its imaging characteristics are relatively non‑specific and overlap with other soft tissue sarcomas. The prognosis of rhabdomyosarcoma depends on the primary tumour site and size, with parameningeal head and neck localisations having a less favourable prognosis due to the higher risk of spread. Therefore, further imaging including brain and spinal MRI is recommended. <i>Teaching point:</i> The prognosis of rhabdomyosarcoma depends on the primary tumour site and size, with parameningeal head and neck localisations having a less favourable prognosis due to the higher risk of spread.</p>","PeriodicalId":55987,"journal":{"name":"Journal of the Belgian Society of Radiology","volume":"108 1","pages":"110"},"PeriodicalIF":1.3000,"publicationDate":"2024-12-09","publicationTypes":"Journal Article","fieldsOfStudy":null,"isOpenAccess":false,"openAccessPdf":"https://www.ncbi.nlm.nih.gov/pmc/articles/PMC11639691/pdf/","citationCount":"0","resultStr":null,"platform":"Semanticscholar","paperid":null,"PeriodicalName":"Journal of the Belgian Society of Radiology","FirstCategoryId":"3","ListUrlMain":"https://doi.org/10.5334/jbsr.3797","RegionNum":4,"RegionCategory":"医学","ArticlePicture":[],"TitleCN":null,"AbstractTextCN":null,"PMCID":null,"EPubDate":"2024/1/1 0:00:00","PubModel":"eCollection","JCR":"Q4","JCRName":"RADIOLOGY, NUCLEAR MEDICINE & MEDICAL IMAGING","Score":null,"Total":0}
引用次数: 0

Abstract

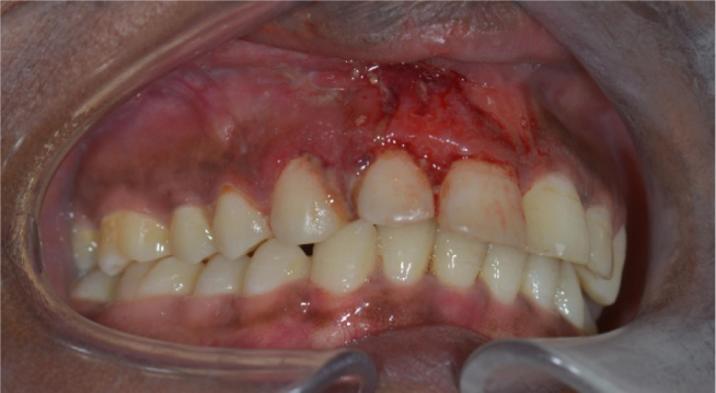
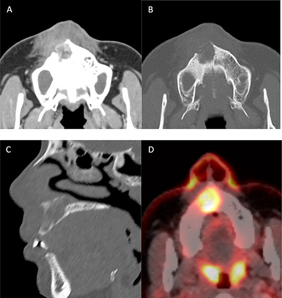
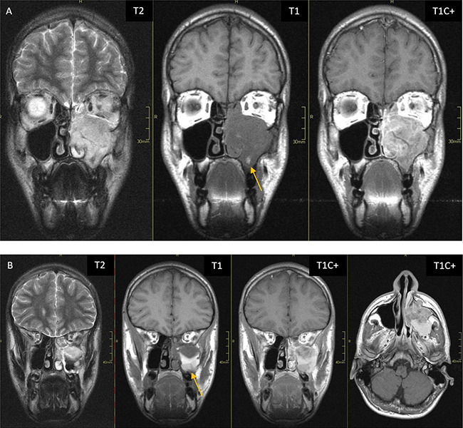
Rhabdomyosarcoma is the most common soft tissue sarcoma in children but is less frequent in adults, with the head and neck region as primary site. Magnetic resonance imaging (MRI) is the preferred diagnostic imaging tool, though its imaging characteristics are relatively non‑specific and overlap with other soft tissue sarcomas. The prognosis of rhabdomyosarcoma depends on the primary tumour site and size, with parameningeal head and neck localisations having a less favourable prognosis due to the higher risk of spread. Therefore, further imaging including brain and spinal MRI is recommended. Teaching point: The prognosis of rhabdomyosarcoma depends on the primary tumour site and size, with parameningeal head and neck localisations having a less favourable prognosis due to the higher risk of spread.

Abstract Image

Abstract Image

Abstract Image

上颌骨横纹肌肉瘤
横纹肌肉瘤是儿童最常见的软组织肉瘤,但在成人中发病率较低,主要发病部位是头颈部。磁共振成像(MRI)是首选的成像诊断工具,但其成像特征相对非特异性,且与其他软组织肉瘤重叠。横纹肌肉瘤的预后取决于原发肿瘤的部位和大小,头颈部周围肿瘤由于扩散风险较高,预后较差。因此,建议进行进一步的影像学检查,包括脑部和脊柱核磁共振成像。教学要点横纹肌肉瘤的预后取决于原发肿瘤的部位和大小,头颈部周围肿瘤由于扩散风险较高,预后较差。
本文章由计算机程序翻译,如有差异,请以英文原文为准。
求助全文
约1分钟内获得全文 求助全文
来源期刊
Journal of the Belgian Society of Radiology
Journal of the Belgian Society of Radiology Medicine-Radiology, Nuclear Medicine and Imaging
CiteScore
0.70
自引率
5.00%
发文量
96
期刊介绍: The purpose of the Journal of the Belgian Society of Radiology is the publication of articles dealing with diagnostic and interventional radiology, related imaging techniques, allied sciences, and continuing education.
×
引用
GB/T 7714-2015
复制
MLA
复制
APA
复制
导出至
BibTeX EndNote RefMan NoteFirst NoteExpress
×
提示
您的信息不完整,为了账户安全,请先补充。
现在去补充
×
提示
您因"违规操作"
具体请查看互助需知
我知道了
×
提示
确定
请完成安全验证×
copy
已复制链接
快去分享给好友吧!
我知道了
右上角分享
点击右上角分享
0
联系我们:info@booksci.cn Book学术提供免费学术资源搜索服务,方便国内外学者检索中英文文献。致力于提供最便捷和优质的服务体验。 Copyright © 2023 布克学术 All rights reserved.
京ICP备2023020795号-1
ghs 京公网安备 11010802042870号
Book学术文献互助
Book学术文献互助群
群 号:604180095
Book学术官方微信