Utility of F18-FDG PET/CT in the Evaluation of Pituitary Uptake.

IF 0.9 Q4 RADIOLOGY, NUCLEAR MEDICINE & MEDICAL IMAGING
World Journal of Nuclear Medicine Pub Date : 2024-06-25 eCollection Date: 2024-12-01 DOI:10.1055/s-0044-1787967
Adersh Stanly, Saumya Sara Sunny, Justin Benjamin, Hesarghatta Shyamasunde Asha, David Mathew, Junita Rachel John, Julie Hephzibah
{"title":"Utility of F18-FDG PET/CT in the Evaluation of Pituitary Uptake.","authors":"Adersh Stanly, Saumya Sara Sunny, Justin Benjamin, Hesarghatta Shyamasunde Asha, David Mathew, Junita Rachel John, Julie Hephzibah","doi":"10.1055/s-0044-1787967","DOIUrl":null,"url":null,"abstract":"<p><p><b>Introduction</b>  Pituitary adenoma is the most common disease that affects the gland and may be classified as functional/nonsecretory tumors. Inflammatory/infective causes may also affect the pituitary gland. The 18F-fluorodeoxyglucose positron emission tomography/computed tomography (F18-FDG PET/CT) may have an incremental value in assessing these lesions and in determining their clinical significance. <b>Aim</b>  This article assesses the utility of F18-FDG PET/CT in detecting and determining clinical profile of pituitary lesions with abnormal uptake. <b>Methodology</b>  Retrospective analysis of all patients who underwent F18-FDG PET/CT from January 2015 to January 2023 was done. Those with abnormal pituitary uptake (standardized uptake value [SUV] > 2.5) were included in the study. SUV value along with relevant anatomical details, biochemical parameters, histopathological details, and follow-up imaging were analyzed. <b>Results</b>  Among 15,085 studies, a total of 36 patients (21 males/15 females, average age 47.36 years, range: 17-75 years) with pituitary uptake (0.23%) were included. Out of 36 patients, causes are primary pituitary tumor (21/36, 58%), tubercular hypophysitis (3/36, 8%), lymphocytic hypophysitis (2/36, 6%), lymphomatous involvement (2/36, 6%), autoimmune hypophysitis (1/36, 3%), questionable significance/incidental (4/36, 11%), and metastasis (3/36, 8%)-one each from neuroendocrine tumor ileum, chondrosarcoma, and adenocarcinoma lung. There was no difference in the SUV range between the different etiologies. Among 21 patients with pituitary tumor, biochemical evaluation was done in 19 patients. Two patients were lost to follow-up and did not have biochemical evaluation. Among them, 8 underwent endoscopic transsphenoidal radical excision and 1 patient had PET-CT-guided stereotactic radiosurgery alone. In another 8 patients who had prior endoscopic transsphenoidal radical excision, uptake was noted as residual lesion on PET-CT. Of them, 3 underwent subtotal excision and 5 had PET-CT-guided stereotactic radiosurgery. Biopsy was done in 14 patients, of which 11 were macroadenoma and 3 were microadenoma. Overall, magnetic resonance imaging (MRI) brain was performed in 22 of them and the findings were concordant with F18-FDG PET/CT. <b>Conclusion</b>  F18-FDG PET/CT is a useful modality in the evaluation of pituitary uptake. It has an incremental value along with MRI brain and biochemical parameters and is useful for follow-up. Due to its high diagnostic accuracy, it is particularly useful in those with suspected residual/recurrent adenomas.</p>","PeriodicalId":23742,"journal":{"name":"World Journal of Nuclear Medicine","volume":"23 4","pages":"234-241"},"PeriodicalIF":0.9000,"publicationDate":"2024-06-25","publicationTypes":"Journal Article","fieldsOfStudy":null,"isOpenAccess":false,"openAccessPdf":"https://www.ncbi.nlm.nih.gov/pmc/articles/PMC11637635/pdf/","citationCount":"0","resultStr":null,"platform":"Semanticscholar","paperid":null,"PeriodicalName":"World Journal of Nuclear Medicine","FirstCategoryId":"1085","ListUrlMain":"https://doi.org/10.1055/s-0044-1787967","RegionNum":0,"RegionCategory":null,"ArticlePicture":[],"TitleCN":null,"AbstractTextCN":null,"PMCID":null,"EPubDate":"2024/12/1 0:00:00","PubModel":"eCollection","JCR":"Q4","JCRName":"RADIOLOGY, NUCLEAR MEDICINE & MEDICAL IMAGING","Score":null,"Total":0}
引用次数: 0

Abstract

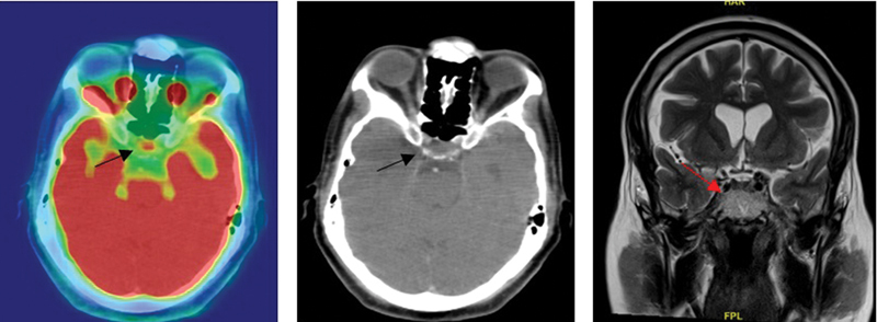
Introduction  Pituitary adenoma is the most common disease that affects the gland and may be classified as functional/nonsecretory tumors. Inflammatory/infective causes may also affect the pituitary gland. The 18F-fluorodeoxyglucose positron emission tomography/computed tomography (F18-FDG PET/CT) may have an incremental value in assessing these lesions and in determining their clinical significance. Aim  This article assesses the utility of F18-FDG PET/CT in detecting and determining clinical profile of pituitary lesions with abnormal uptake. Methodology  Retrospective analysis of all patients who underwent F18-FDG PET/CT from January 2015 to January 2023 was done. Those with abnormal pituitary uptake (standardized uptake value [SUV] > 2.5) were included in the study. SUV value along with relevant anatomical details, biochemical parameters, histopathological details, and follow-up imaging were analyzed. Results  Among 15,085 studies, a total of 36 patients (21 males/15 females, average age 47.36 years, range: 17-75 years) with pituitary uptake (0.23%) were included. Out of 36 patients, causes are primary pituitary tumor (21/36, 58%), tubercular hypophysitis (3/36, 8%), lymphocytic hypophysitis (2/36, 6%), lymphomatous involvement (2/36, 6%), autoimmune hypophysitis (1/36, 3%), questionable significance/incidental (4/36, 11%), and metastasis (3/36, 8%)-one each from neuroendocrine tumor ileum, chondrosarcoma, and adenocarcinoma lung. There was no difference in the SUV range between the different etiologies. Among 21 patients with pituitary tumor, biochemical evaluation was done in 19 patients. Two patients were lost to follow-up and did not have biochemical evaluation. Among them, 8 underwent endoscopic transsphenoidal radical excision and 1 patient had PET-CT-guided stereotactic radiosurgery alone. In another 8 patients who had prior endoscopic transsphenoidal radical excision, uptake was noted as residual lesion on PET-CT. Of them, 3 underwent subtotal excision and 5 had PET-CT-guided stereotactic radiosurgery. Biopsy was done in 14 patients, of which 11 were macroadenoma and 3 were microadenoma. Overall, magnetic resonance imaging (MRI) brain was performed in 22 of them and the findings were concordant with F18-FDG PET/CT. Conclusion  F18-FDG PET/CT is a useful modality in the evaluation of pituitary uptake. It has an incremental value along with MRI brain and biochemical parameters and is useful for follow-up. Due to its high diagnostic accuracy, it is particularly useful in those with suspected residual/recurrent adenomas.

Abstract Image

Abstract Image

Abstract Image

F18-FDG PET/CT在垂体摄取评价中的应用。
垂体腺瘤是最常见的影响腺体的疾病,可归类为功能性/非分泌性肿瘤。炎症/感染的原因也可能影响脑垂体。18f -氟脱氧葡萄糖正电子发射断层扫描/计算机断层扫描(F18-FDG PET/CT)在评估这些病变和确定其临床意义方面可能具有增加的价值。目的探讨F18-FDG PET/CT在垂体摄取异常病变诊断中的应用价值。方法回顾性分析2015年1月至2023年1月所有接受F18-FDG PET/CT检查的患者。垂体摄取异常(标准化摄取值[SUV] > 2.5)者纳入研究。分析SUV值及相关解剖细节、生化参数、组织病理细节及随访影像。结果15085例研究共纳入垂体摄取患者36例(男21例,女15例,年龄17 ~ 75岁,平均47.36岁),占0.23%。在36例患者中,病因为原发性垂体瘤(21/ 36,58%),结核性垂体炎(3/ 36,8%),淋巴细胞性垂体炎(2/ 36,6%),淋巴瘤累及(2/ 36,6%),自身免疫性垂体炎(1/ 36,3%),可疑意义/偶然(4/ 36,11%)和转移(3/ 36,8%)-来自回肠神经内分泌肿瘤,软骨肉瘤和肺腺癌各1例。不同病因间的SUV范围无差异。21例垂体肿瘤患者中,19例进行了生化评价。2例患者失访,未做生化评价。其中8例行内镜下经蝶窦根治性切除术,1例单独行pet - ct引导下立体定向放射手术。在另外8例之前接受过内镜下经蝶窦根治性切除的患者中,摄取在PET-CT上被发现为残留病变。其中3例行次全切除,5例行pet - ct引导下立体定向放射手术。14例患者行活检,其中大腺瘤11例,微腺瘤3例。总体而言,22例患者行脑磁共振成像(MRI),结果与F18-FDG PET/CT一致。结论F18-FDG PET/CT是评价垂体摄取的一种有效方法。它与MRI脑生化参数具有递增价值,对随访很有用。由于其较高的诊断准确性,它是特别有用的那些怀疑残留/复发性腺瘤。
本文章由计算机程序翻译,如有差异,请以英文原文为准。
求助全文
约1分钟内获得全文 求助全文
来源期刊
World Journal of Nuclear Medicine
World Journal of Nuclear Medicine RADIOLOGY, NUCLEAR MEDICINE & MEDICAL IMAGING-
自引率
16.70%
发文量
118
审稿时长
48 weeks
×
引用
GB/T 7714-2015
复制
MLA
复制
APA
复制
导出至
BibTeX EndNote RefMan NoteFirst NoteExpress
×
提示
您的信息不完整,为了账户安全,请先补充。
现在去补充
×
提示
您因"违规操作"
具体请查看互助需知
我知道了
×
提示
确定
请完成安全验证×
copy
已复制链接
快去分享给好友吧!
我知道了
右上角分享
点击右上角分享
0
联系我们:info@booksci.cn Book学术提供免费学术资源搜索服务,方便国内外学者检索中英文文献。致力于提供最便捷和优质的服务体验。 Copyright © 2023 布克学术 All rights reserved.
京ICP备2023020795号-1
ghs 京公网安备 11010802042870号
Book学术文献互助
Book学术文献互助群
群 号:604180095
Book学术官方微信