Influence of gingival margin height variation on perceived aesthetics following absent maxillary lateral incisor-canine substitution.

IF 2.7 3区 医学 Q1 DENTISTRY, ORAL SURGERY & MEDICINE
Catherine M Hershaw, Jadbinder Seehra, Nicola Johnson, Carmel Slipper, Spyridon N Papageorgiou, Koula Asimakopoulou, Martyn T Cobourne
{"title":"Influence of gingival margin height variation on perceived aesthetics following absent maxillary lateral incisor-canine substitution.","authors":"Catherine M Hershaw, Jadbinder Seehra, Nicola Johnson, Carmel Slipper, Spyridon N Papageorgiou, Koula Asimakopoulou, Martyn T Cobourne","doi":"10.1093/ejo/cjae067","DOIUrl":null,"url":null,"abstract":"<p><strong>Background: </strong>Maxillary lateral incisor agenesis is often managed with orthodontic space closure and canine substitution. Anatomic gingival margin heights associated with the maxillary anterior teeth are considered important for achieving aesthetic excellence with space closure, but evidence relating to the perceptions of lay people is poor.</p><p><strong>Objectives: </strong>This study investigated the influence of gingival margin height variation in the maxillary anterior teeth following orthodontic space closure and canine substitution in the absence of maxillary lateral incisor teeth on perceived aesthetics judged by a lay population.</p><p><strong>Material and methods: </strong>Images of a case treated with space closure and bilateral canine substitution were digitally modified to create gingival margin height variation for the substituted lateral incisors and canines. Six variations were created, including one conforming to accepted norms for anatomic gingival margin heights. Lay people represented by parents of orthodontic patients ranked the images based on aesthetics, with data analysed statistically using linear models at 5%.</p><p><strong>Results: </strong>One hundred and twenty responders were included (median age 48.0 years), 50% male and 81.7% Caucasian, with 87% able to provide specific preferences. In absolute terms, the highest-ranking [image C] had substituted lateral incisor gingival margins below the central incisors (considered normal) but substituted canine margins symmetrically below the substituted lateral incisors (considered to be too low); followed by [image D] with symmetrically level gingival margins; and [image F] with asymmetric substituted lateral incisor margins and substituted canine margins symmetrically too low. The lowest-ranked [image E] had normal substituted lateral incisor margins but asymmetric substituted canine margins. Image C was most often ranked first (29.8% of responders) and image E last (22.1%). After adjusting for potential confounding effects, image E received the worse scores.</p><p><strong>Conclusions: </strong>Anatomic norms for gingival margin height in absent maxillary lateral incisor-canine substitution do not correlate with the highest-ranking aesthetic choices of a lay population. Lateral incisor gingival margins symmetrically below the central incisors and substituted canine margins symmetrically below these ranked highest. Vertical asymmetry in the substituted canine position was considered the least aesthetic.</p>","PeriodicalId":11989,"journal":{"name":"European journal of orthodontics","volume":"47 1","pages":""},"PeriodicalIF":2.7000,"publicationDate":"2024-12-04","publicationTypes":"Journal Article","fieldsOfStudy":null,"isOpenAccess":false,"openAccessPdf":"https://www.ncbi.nlm.nih.gov/pmc/articles/PMC11630025/pdf/","citationCount":"0","resultStr":null,"platform":"Semanticscholar","paperid":null,"PeriodicalName":"European journal of orthodontics","FirstCategoryId":"3","ListUrlMain":"https://doi.org/10.1093/ejo/cjae067","RegionNum":3,"RegionCategory":"医学","ArticlePicture":[],"TitleCN":null,"AbstractTextCN":null,"PMCID":null,"EPubDate":"","PubModel":"","JCR":"Q1","JCRName":"DENTISTRY, ORAL SURGERY & MEDICINE","Score":null,"Total":0}
引用次数: 0

Abstract

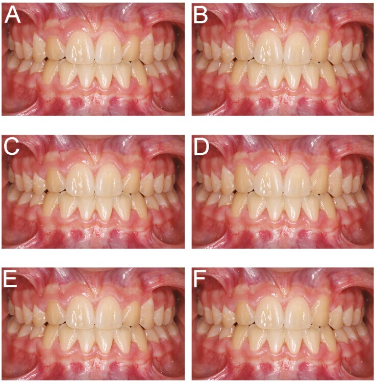
Background: Maxillary lateral incisor agenesis is often managed with orthodontic space closure and canine substitution. Anatomic gingival margin heights associated with the maxillary anterior teeth are considered important for achieving aesthetic excellence with space closure, but evidence relating to the perceptions of lay people is poor.

Objectives: This study investigated the influence of gingival margin height variation in the maxillary anterior teeth following orthodontic space closure and canine substitution in the absence of maxillary lateral incisor teeth on perceived aesthetics judged by a lay population.

Material and methods: Images of a case treated with space closure and bilateral canine substitution were digitally modified to create gingival margin height variation for the substituted lateral incisors and canines. Six variations were created, including one conforming to accepted norms for anatomic gingival margin heights. Lay people represented by parents of orthodontic patients ranked the images based on aesthetics, with data analysed statistically using linear models at 5%.

Results: One hundred and twenty responders were included (median age 48.0 years), 50% male and 81.7% Caucasian, with 87% able to provide specific preferences. In absolute terms, the highest-ranking [image C] had substituted lateral incisor gingival margins below the central incisors (considered normal) but substituted canine margins symmetrically below the substituted lateral incisors (considered to be too low); followed by [image D] with symmetrically level gingival margins; and [image F] with asymmetric substituted lateral incisor margins and substituted canine margins symmetrically too low. The lowest-ranked [image E] had normal substituted lateral incisor margins but asymmetric substituted canine margins. Image C was most often ranked first (29.8% of responders) and image E last (22.1%). After adjusting for potential confounding effects, image E received the worse scores.

Conclusions: Anatomic norms for gingival margin height in absent maxillary lateral incisor-canine substitution do not correlate with the highest-ranking aesthetic choices of a lay population. Lateral incisor gingival margins symmetrically below the central incisors and substituted canine margins symmetrically below these ranked highest. Vertical asymmetry in the substituted canine position was considered the least aesthetic.

Abstract Image

Abstract Image

上颌侧切牙-犬牙替代缺失后龈缘高度变化对审美感知的影响。
背景:上颌侧切牙发育不全通常采用正畸间隙封闭和犬齿替代治疗。与上颌前牙相关的解剖龈缘高度被认为是实现空间闭合美学卓越的重要因素,但与外行人的感知相关的证据很少。目的:研究上颌侧切牙缺失后,上颌前牙补牙后龈缘高度变化对外行人审美感知的影响。材料和方法:对一例采用空间闭合和双侧犬齿替代治疗的病例图像进行数字修改,以创建替代侧切牙和犬齿的龈缘高度变化。创建了六种变体,其中一种符合解剖龈缘高度的公认规范。以正畸患者的父母为代表的非专业人士根据美观程度对图像进行排名,并使用5%的线性模型对数据进行统计分析。结果:纳入120名应答者(中位年龄48.0岁),50%为男性,81.7%为白种人,87%能够提供特定偏好。在绝对意义上,最高级的[图C]取代了中切牙以下的侧切牙龈缘(被认为是正常的),但对称地取代了侧切牙以下的犬缘(被认为太低了);其次是[图D],牙龈边缘对称水平;和[图像F]不对称替代侧切牙边缘和替代犬齿边缘对称过低。排名最低的[图E]有正常的替代侧切牙缘,但不对称的替代犬牙缘。图像C通常排在第一位(29.8%的应答者),图像E排在最后(22.1%)。在对潜在的混杂效应进行调整后,图像E的得分较差。结论:缺失上颌侧切牙-犬齿替代的龈缘高度的解剖学规范与外行人的最高审美选择无关。侧切牙龈缘对称地低于中切牙,取代犬牙缘对称地低于中切牙,排名最高。垂直不对称的取代犬的位置被认为是最不美观的。
本文章由计算机程序翻译,如有差异,请以英文原文为准。
求助全文
约1分钟内获得全文 求助全文
来源期刊
European journal of orthodontics
European journal of orthodontics 医学-牙科与口腔外科
CiteScore
5.50
自引率
7.70%
发文量
71
审稿时长
4-8 weeks
期刊介绍: The European Journal of Orthodontics publishes papers of excellence on all aspects of orthodontics including craniofacial development and growth. The emphasis of the journal is on full research papers. Succinct and carefully prepared papers are favoured in terms of impact as well as readability.
×
引用
GB/T 7714-2015
复制
MLA
复制
APA
复制
导出至
BibTeX EndNote RefMan NoteFirst NoteExpress
×
提示
您的信息不完整,为了账户安全,请先补充。
现在去补充
×
提示
您因"违规操作"
具体请查看互助需知
我知道了
×
提示
确定
请完成安全验证×
copy
已复制链接
快去分享给好友吧!
我知道了
右上角分享
点击右上角分享
0
联系我们:info@booksci.cn Book学术提供免费学术资源搜索服务,方便国内外学者检索中英文文献。致力于提供最便捷和优质的服务体验。 Copyright © 2023 布克学术 All rights reserved.
京ICP备2023020795号-1
ghs 京公网安备 11010802042870号
Book学术文献互助
Book学术文献互助群
群 号:604180095
Book学术官方微信