A Rare Case of Autoimmune Pancreatitis in a 9-Year-Old Male Patient: A Comprehensive Diagnosis and Successful Treatment.

IF 0.5 Q4 GASTROENTEROLOGY & HEPATOLOGY
Case Reports in Gastrointestinal Medicine Pub Date : 2024-12-05 eCollection Date: 2024-01-01 DOI:10.1155/crgm/5564385
Hadi Farhat, Christie Dib, Yehya Tlaiss, Ayman Tabcheh, Pierre Hani
{"title":"A Rare Case of Autoimmune Pancreatitis in a 9-Year-Old Male Patient: A Comprehensive Diagnosis and Successful Treatment.","authors":"Hadi Farhat, Christie Dib, Yehya Tlaiss, Ayman Tabcheh, Pierre Hani","doi":"10.1155/crgm/5564385","DOIUrl":null,"url":null,"abstract":"<p><p>Autoimmune pancreatitis (AIP) is a rare and complex condition that can be difficult to identify due to its resemblance to malignancies. This case report presents a unique instance of AIP in a 9-year-old male patient who presented with painless jaundice and elevated liver function test results. His symptoms were persistent even after previous common bile duct stent placement, requiring additional investigation. The possibility of AIP was raised by further serological tests and imaging examinations. The diagnosis was then confirmed by multiple characteristic findings revealed through history, imaging, clinical examination, histology, and lab results. Treatment was initiated with corticosteroids, which resulted in a complete resolution of symptoms and remarkable recovery. This case emphasizes the significance of including AIP in the differential diagnosis of pancreatic disorders, even in pediatric patients.</p>","PeriodicalId":45645,"journal":{"name":"Case Reports in Gastrointestinal Medicine","volume":"2024 ","pages":"5564385"},"PeriodicalIF":0.5000,"publicationDate":"2024-12-05","publicationTypes":"Journal Article","fieldsOfStudy":null,"isOpenAccess":false,"openAccessPdf":"https://www.ncbi.nlm.nih.gov/pmc/articles/PMC11637616/pdf/","citationCount":"0","resultStr":null,"platform":"Semanticscholar","paperid":null,"PeriodicalName":"Case Reports in Gastrointestinal Medicine","FirstCategoryId":"1085","ListUrlMain":"https://doi.org/10.1155/crgm/5564385","RegionNum":0,"RegionCategory":null,"ArticlePicture":[],"TitleCN":null,"AbstractTextCN":null,"PMCID":null,"EPubDate":"2024/1/1 0:00:00","PubModel":"eCollection","JCR":"Q4","JCRName":"GASTROENTEROLOGY & HEPATOLOGY","Score":null,"Total":0}
引用次数: 0

Abstract

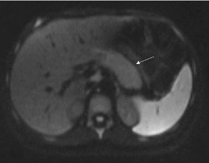
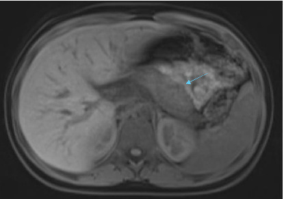
Autoimmune pancreatitis (AIP) is a rare and complex condition that can be difficult to identify due to its resemblance to malignancies. This case report presents a unique instance of AIP in a 9-year-old male patient who presented with painless jaundice and elevated liver function test results. His symptoms were persistent even after previous common bile duct stent placement, requiring additional investigation. The possibility of AIP was raised by further serological tests and imaging examinations. The diagnosis was then confirmed by multiple characteristic findings revealed through history, imaging, clinical examination, histology, and lab results. Treatment was initiated with corticosteroids, which resulted in a complete resolution of symptoms and remarkable recovery. This case emphasizes the significance of including AIP in the differential diagnosis of pancreatic disorders, even in pediatric patients.

Abstract Image

Abstract Image

Abstract Image

一名 9 岁男性患者的自身免疫性胰腺炎罕见病例:综合诊断与成功治疗。
自身免疫性胰腺炎(AIP)是一种罕见而复杂的疾病,因其与恶性肿瘤相似而难以识别。本病例报告介绍了一名 9 岁男性患者的独特 AIP 病例,该患者出现无痛性黄疸和肝功能检查结果升高。即使在之前放置胆总管支架后,他的症状仍持续存在,因此需要进行进一步检查。通过进一步的血清学检测和影像学检查,发现了 AIP 的可能性。随后,通过病史、影像学检查、临床检查、组织学检查和实验室结果发现的多个特征性结果,确诊了该病。患者接受了皮质类固醇治疗,症状完全缓解,病情明显好转。本病例强调了将 AIP 纳入胰腺疾病鉴别诊断的重要性,即使是儿童患者也不例外。
本文章由计算机程序翻译,如有差异,请以英文原文为准。
求助全文
约1分钟内获得全文 求助全文
来源期刊
Case Reports in Gastrointestinal Medicine
Case Reports in Gastrointestinal Medicine GASTROENTEROLOGY & HEPATOLOGY-
自引率
0.00%
发文量
33
审稿时长
14 weeks
×
引用
GB/T 7714-2015
复制
MLA
复制
APA
复制
导出至
BibTeX EndNote RefMan NoteFirst NoteExpress
×
提示
您的信息不完整,为了账户安全,请先补充。
现在去补充
×
提示
您因"违规操作"
具体请查看互助需知
我知道了
×
提示
确定
请完成安全验证×
copy
已复制链接
快去分享给好友吧!
我知道了
右上角分享
点击右上角分享
0
联系我们:info@booksci.cn Book学术提供免费学术资源搜索服务,方便国内外学者检索中英文文献。致力于提供最便捷和优质的服务体验。 Copyright © 2023 布克学术 All rights reserved.
京ICP备2023020795号-1
ghs 京公网安备 11010802042870号
Book学术文献互助
Book学术文献互助群
群 号:604180095
Book学术官方微信