Prime Editor Gene Therapy and TREX1 Mosaicism in Retinal Vasculopathy with Cerebral Leukoencephalopathy.

IF 5.7 2区 医学 Q1 IMMUNOLOGY
Samuel D Chauvin, Joe A Holley, Subhajit Poddar, Cathrine A Miner, Lindsay Kumble, Jiayuan Fu, Hanka Laue-Gizzi, Todd A Hardy, Jonathan J Miner
{"title":"Prime Editor Gene Therapy and TREX1 Mosaicism in Retinal Vasculopathy with Cerebral Leukoencephalopathy.","authors":"Samuel D Chauvin, Joe A Holley, Subhajit Poddar, Cathrine A Miner, Lindsay Kumble, Jiayuan Fu, Hanka Laue-Gizzi, Todd A Hardy, Jonathan J Miner","doi":"10.1007/s10875-024-01846-y","DOIUrl":null,"url":null,"abstract":"<p><p>TREX1 mutations underlie a variety of human diseases, including retinal vasculopathy with cerebral leukoencephalopathy (RVCL or RVCL-S), a catastrophic adult-onset vasculopathy that is often confused with multiple sclerosis, systemic vasculitis, or systemic lupus erythematosus. Patients with RVCL develop brain, retinal, liver, and kidney disease around age 35-55, leading to premature death in 100% of patients expressing an autosomal dominant C-terminally truncated form of TREX1. We previously demonstrated that RVCL is characterized by high levels of DNA damage, premature cellular senescence, and risk of early-onset breast cancer before age 45. Here, we report human TREX1 mosaicism causing organ-limited RVCL in the retina, as well as a gene therapy to synthetically create TREX1 mosaicism as a potential treatment for RVCL. In our patient with organ-limited disease, the mosaic TREX1 mutant allele underwent germline transmission to 3 children, who developed severe multi-organ disease at ~ age 40, unlike their mosaic parent, who has organ-limited disease at age 74. Additionally, we describe our TREX1 prime editor gene therapy that corrects the most common RVCL-causing TREX1 variant in cell culture and in mice. Thus, TREX1 mosaicism causes organ-limited RVCL with a normal lifespan, suggesting that a gene therapy to create TREX1 mosaicism in adults may someday become useful as a treatment for patients with RVCL.</p>","PeriodicalId":15531,"journal":{"name":"Journal of Clinical Immunology","volume":"45 1","pages":"54"},"PeriodicalIF":5.7000,"publicationDate":"2024-12-13","publicationTypes":"Journal Article","fieldsOfStudy":null,"isOpenAccess":false,"openAccessPdf":"https://www.ncbi.nlm.nih.gov/pmc/articles/PMC11645301/pdf/","citationCount":"0","resultStr":null,"platform":"Semanticscholar","paperid":null,"PeriodicalName":"Journal of Clinical Immunology","FirstCategoryId":"3","ListUrlMain":"https://doi.org/10.1007/s10875-024-01846-y","RegionNum":2,"RegionCategory":"医学","ArticlePicture":[],"TitleCN":null,"AbstractTextCN":null,"PMCID":null,"EPubDate":"","PubModel":"","JCR":"Q1","JCRName":"IMMUNOLOGY","Score":null,"Total":0}
引用次数: 0

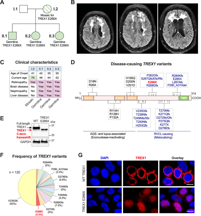
Abstract

TREX1 mutations underlie a variety of human diseases, including retinal vasculopathy with cerebral leukoencephalopathy (RVCL or RVCL-S), a catastrophic adult-onset vasculopathy that is often confused with multiple sclerosis, systemic vasculitis, or systemic lupus erythematosus. Patients with RVCL develop brain, retinal, liver, and kidney disease around age 35-55, leading to premature death in 100% of patients expressing an autosomal dominant C-terminally truncated form of TREX1. We previously demonstrated that RVCL is characterized by high levels of DNA damage, premature cellular senescence, and risk of early-onset breast cancer before age 45. Here, we report human TREX1 mosaicism causing organ-limited RVCL in the retina, as well as a gene therapy to synthetically create TREX1 mosaicism as a potential treatment for RVCL. In our patient with organ-limited disease, the mosaic TREX1 mutant allele underwent germline transmission to 3 children, who developed severe multi-organ disease at ~ age 40, unlike their mosaic parent, who has organ-limited disease at age 74. Additionally, we describe our TREX1 prime editor gene therapy that corrects the most common RVCL-causing TREX1 variant in cell culture and in mice. Thus, TREX1 mosaicism causes organ-limited RVCL with a normal lifespan, suggesting that a gene therapy to create TREX1 mosaicism in adults may someday become useful as a treatment for patients with RVCL.

Abstract Image

Abstract Image

视网膜血管病变伴脑白质脑病的Prime Editor基因治疗和TREX1嵌合。
TREX1突变是多种人类疾病的基础,包括视网膜血管病变伴脑白质脑病(RVCL或RVCL- s),这是一种灾难性的成人发病血管病变,常与多发性硬化症、全身性血管炎或系统性红斑狼疮混淆。RVCL患者在35-55岁左右发生脑、视网膜、肝脏和肾脏疾病,导致100%表达常染色体显性c端TREX1截短形式的患者过早死亡。我们之前已经证明,RVCL的特征是高水平的DNA损伤、细胞过早衰老和45岁之前早发性乳腺癌的风险。在这里,我们报道了人类TREX1嵌合体导致视网膜器官限制性RVCL,以及一种基因疗法来合成TREX1嵌合体作为RVCL的潜在治疗方法。在我们的器官限制性疾病患者中,马赛克TREX1突变等位基因通过种系传播给了3名儿童,这些儿童在40岁左右患上了严重的多器官疾病,而他们的马赛克父母在74岁时患上了器官限制性疾病。此外,我们还描述了我们的TREX1引物编辑基因疗法,该疗法可以纠正细胞培养和小鼠中最常见的引起rvcl的TREX1变异。因此,TREX1嵌合体导致器官受限的RVCL,其寿命正常,这表明在成人中产生TREX1嵌合体的基因疗法有朝一日可能成为治疗RVCL患者的有用方法。
本文章由计算机程序翻译,如有差异,请以英文原文为准。
求助全文
约1分钟内获得全文 求助全文
来源期刊
CiteScore
12.20
自引率
9.90%
发文量
218
审稿时长
2 months
期刊介绍: The Journal of Clinical Immunology publishes impactful papers in the realm of human immunology, delving into the diagnosis, pathogenesis, prognosis, or treatment of human diseases. The journal places particular emphasis on primary immunodeficiencies and related diseases, encompassing inborn errors of immunity in a broad sense, their underlying genotypes, and diverse phenotypes. These phenotypes include infection, malignancy, allergy, auto-inflammation, and autoimmunity. We welcome a broad spectrum of studies in this domain, spanning genetic discovery, clinical description, immunologic assessment, diagnostic approaches, prognosis evaluation, and treatment interventions. Case reports are considered if they are genuinely original and accompanied by a concise review of the relevant medical literature, illustrating how the novel case study advances the field. The instructions to authors provide detailed guidance on the four categories of papers accepted by the journal.
×
引用
GB/T 7714-2015
复制
MLA
复制
APA
复制
导出至
BibTeX EndNote RefMan NoteFirst NoteExpress
×
提示
您的信息不完整,为了账户安全,请先补充。
现在去补充
×
提示
您因"违规操作"
具体请查看互助需知
我知道了
×
提示
确定
请完成安全验证×
copy
已复制链接
快去分享给好友吧!
我知道了
右上角分享
点击右上角分享
0
联系我们:info@booksci.cn Book学术提供免费学术资源搜索服务,方便国内外学者检索中英文文献。致力于提供最便捷和优质的服务体验。 Copyright © 2023 布克学术 All rights reserved.
京ICP备2023020795号-1
ghs 京公网安备 11010802042870号
Book学术文献互助
Book学术文献互助群
群 号:604180095
Book学术官方微信