Value of Shear Wave Elastography in the Evaluation of Chronic Kidney Disease.

IF 2.5 Q2 UROLOGY & NEPHROLOGY
Shivarajkumar K Lakshmana, Prakashini Koteshwar, Tanushree Kamath
{"title":"Value of Shear Wave Elastography in the Evaluation of Chronic Kidney Disease.","authors":"Shivarajkumar K Lakshmana, Prakashini Koteshwar, Tanushree Kamath","doi":"10.2147/IJNRD.S480501","DOIUrl":null,"url":null,"abstract":"<p><strong>Purpose and motivation: </strong>Chronic kidney disease (CKD) is a major global public health problem with eventual progression to end-stage renal disease which tends to increase kidney stiffness. Shear wave elastography (SWE) is a recently developed ultrasound based technique which can be used to assess tissue stiffness noninvasively. The aim of this study was to evaluate the potential diagnostic value of SWE to assess renal parenchymal stiffness in CKD and its correlation with estimated glomerular filtration rate (eGFR), which may be used as a marker for detecting and staging CKD.</p><p><strong>Materials and methods: </strong>The study protocol was approved by the Institutional ethics Committee at Kasturba medical college, Manipal and written informed consent was obtained from all participants. The study included 93 control subjects and 108 patients with CKD. SWE imaging was performed to assess renal cortical stiffness, as measured by the Young's modulus (YM). Correlations between SWE and conventional ultrasound parameters with age, serum creatinine, eGFR and serum urea were analysed using Pearson's correlation coefficient (p ≤ 0.05) and receiver operating characteristic (ROC) curves were derived.</p><p><strong>Results: </strong>The diagnostic performance of SWE correlated with serum creatinine levels and eGFR. We found a statistically significant difference in kidney stiffness values between healthy individuals and CKD patients. The Spearman correlation coefficient revealed moderate negative linear correlation between the YM measurements and eGFR. We obtained a YM measurement cut-off value of 4.43 kPa, a value less than or equal to this suggested a no diseased kidney. This yielded sensitivity and specificity of 92.6% and 80.6%, respectively, with an AUROC of 0.92.</p><p><strong>Conclusion: </strong>Our results demonstrated that shear wave elastography may provide a low-cost, non-invasive method for the morphological assessment and progression of the disease status in chronic kidney disease patients with CKD.</p>","PeriodicalId":14181,"journal":{"name":"International Journal of Nephrology and Renovascular Disease","volume":"17 ","pages":"307-317"},"PeriodicalIF":2.5000,"publicationDate":"2024-12-06","publicationTypes":"Journal Article","fieldsOfStudy":null,"isOpenAccess":false,"openAccessPdf":"https://www.ncbi.nlm.nih.gov/pmc/articles/PMC11634788/pdf/","citationCount":"0","resultStr":null,"platform":"Semanticscholar","paperid":null,"PeriodicalName":"International Journal of Nephrology and Renovascular Disease","FirstCategoryId":"1085","ListUrlMain":"https://doi.org/10.2147/IJNRD.S480501","RegionNum":0,"RegionCategory":null,"ArticlePicture":[],"TitleCN":null,"AbstractTextCN":null,"PMCID":null,"EPubDate":"2024/1/1 0:00:00","PubModel":"eCollection","JCR":"Q2","JCRName":"UROLOGY & NEPHROLOGY","Score":null,"Total":0}
引用次数: 0

Abstract

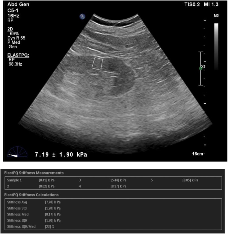
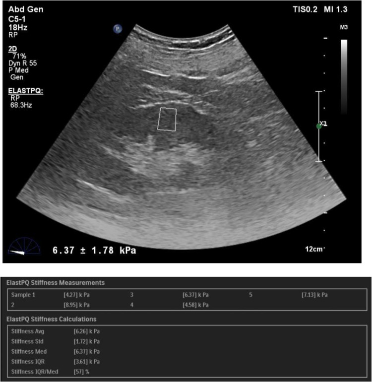
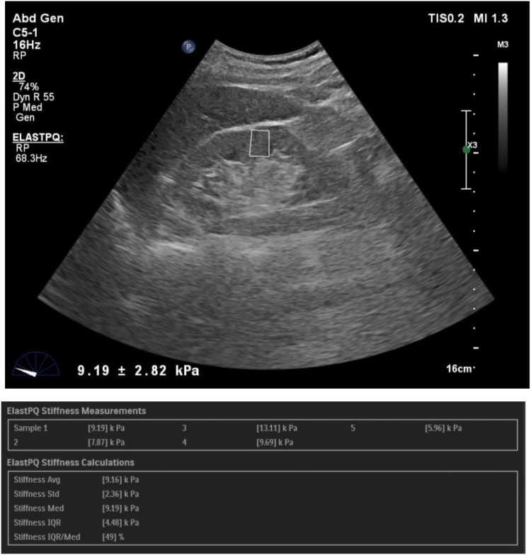
Purpose and motivation: Chronic kidney disease (CKD) is a major global public health problem with eventual progression to end-stage renal disease which tends to increase kidney stiffness. Shear wave elastography (SWE) is a recently developed ultrasound based technique which can be used to assess tissue stiffness noninvasively. The aim of this study was to evaluate the potential diagnostic value of SWE to assess renal parenchymal stiffness in CKD and its correlation with estimated glomerular filtration rate (eGFR), which may be used as a marker for detecting and staging CKD.

Materials and methods: The study protocol was approved by the Institutional ethics Committee at Kasturba medical college, Manipal and written informed consent was obtained from all participants. The study included 93 control subjects and 108 patients with CKD. SWE imaging was performed to assess renal cortical stiffness, as measured by the Young's modulus (YM). Correlations between SWE and conventional ultrasound parameters with age, serum creatinine, eGFR and serum urea were analysed using Pearson's correlation coefficient (p ≤ 0.05) and receiver operating characteristic (ROC) curves were derived.

Results: The diagnostic performance of SWE correlated with serum creatinine levels and eGFR. We found a statistically significant difference in kidney stiffness values between healthy individuals and CKD patients. The Spearman correlation coefficient revealed moderate negative linear correlation between the YM measurements and eGFR. We obtained a YM measurement cut-off value of 4.43 kPa, a value less than or equal to this suggested a no diseased kidney. This yielded sensitivity and specificity of 92.6% and 80.6%, respectively, with an AUROC of 0.92.

Conclusion: Our results demonstrated that shear wave elastography may provide a low-cost, non-invasive method for the morphological assessment and progression of the disease status in chronic kidney disease patients with CKD.

Abstract Image

Abstract Image

Abstract Image

横波弹性成像在慢性肾脏疾病诊断中的价值。
目的和动机:慢性肾脏疾病(CKD)是一个主要的全球公共卫生问题,最终发展为终末期肾脏疾病,往往会增加肾脏僵硬。横波弹性成像(SWE)是近年来发展起来的一种基于超声的技术,可用于无创评估组织刚度。本研究的目的是评估SWE在CKD中评估肾实质硬度的潜在诊断价值及其与肾小球滤过率(eGFR)的相关性,eGFR可能被用作CKD检测和分期的标志。材料和方法:研究方案经马尼帕尔Kasturba医学院机构伦理委员会批准,并获得所有参与者的书面知情同意。该研究包括93名对照组和108名CKD患者。SWE成像通过杨氏模量(YM)来评估肾皮质硬度。采用Pearson相关系数(p≤0.05)分析SWE与常规超声参数与年龄、血清肌酐、eGFR、血清尿素的相关性,并推导受试者工作特征(ROC)曲线。结果:SWE的诊断价值与血清肌酐水平和eGFR相关。我们发现健康个体和CKD患者的肾硬度值有统计学上的显著差异。Spearman相关系数显示YM测量值与eGFR之间存在中度负线性相关。我们得到的YM测量临界值为4.43 kPa,小于或等于这个值表明肾脏没有病变。该方法的敏感性和特异性分别为92.6%和80.6%,AUROC为0.92。结论:横波弹性成像可为慢性肾脏疾病合并CKD患者提供一种低成本、无创的形态学评估和疾病进展的方法。
本文章由计算机程序翻译,如有差异,请以英文原文为准。
求助全文
约1分钟内获得全文 求助全文
来源期刊
CiteScore
3.90
自引率
5.00%
发文量
40
审稿时长
16 weeks
期刊介绍: International Journal of Nephrology and Renovascular Disease is an international, peer-reviewed, open-access journal focusing on the pathophysiology of the kidney and vascular supply. Epidemiology, screening, diagnosis, and treatment interventions are covered as well as basic science, biochemical and immunological studies. In particular, emphasis will be given to: -Chronic kidney disease- Complications of renovascular disease- Imaging techniques- Renal hypertension- Renal cancer- Treatment including pharmacological and transplantation- Dialysis and treatment of complications of dialysis and renal disease- Quality of Life- Patient satisfaction and preference- Health economic evaluations. The journal welcomes submitted papers covering original research, basic science, clinical studies, reviews & evaluations, guidelines, expert opinion and commentary, case reports and extended reports. The main focus of the journal will be to publish research and clinical results in humans but preclinical, animal and in vitro studies will be published where they shed light on disease processes and potential new therapies and interventions.
×
引用
GB/T 7714-2015
复制
MLA
复制
APA
复制
导出至
BibTeX EndNote RefMan NoteFirst NoteExpress
×
提示
您的信息不完整,为了账户安全,请先补充。
现在去补充
×
提示
您因"违规操作"
具体请查看互助需知
我知道了
×
提示
确定
请完成安全验证×
copy
已复制链接
快去分享给好友吧!
我知道了
右上角分享
点击右上角分享
0
联系我们:info@booksci.cn Book学术提供免费学术资源搜索服务,方便国内外学者检索中英文文献。致力于提供最便捷和优质的服务体验。 Copyright © 2023 布克学术 All rights reserved.
京ICP备2023020795号-1
ghs 京公网安备 11010802042870号
Book学术文献互助
Book学术文献互助群
群 号:604180095
Book学术官方微信