Efficacy of Surgery-First Approach in the Management of Severe Skeletal Class III Malocclusion: A Case Report.

IF 1 Q3 SURGERY
Seyyed Hamidreza Aboutorabzadeh, Mahboobe Dehghani, Amirmohammad Moradpour, Iman Shiezadeh, Ashkan Golabkesh Afshar, Sahand Samieirad
{"title":"Efficacy of Surgery-First Approach in the Management of Severe Skeletal Class III Malocclusion: A Case Report.","authors":"Seyyed Hamidreza Aboutorabzadeh, Mahboobe Dehghani, Amirmohammad Moradpour, Iman Shiezadeh, Ashkan Golabkesh Afshar, Sahand Samieirad","doi":"10.61186/wjps.13.3.96","DOIUrl":null,"url":null,"abstract":"<p><p>The surgery-first approach (SFA) is gaining popularity in orthognathic surgery because it makes treatment duration shorter and more satisfying for patients. However, its effectiveness in complex cases isn't fully understood. Here, we describe a rare case where SFA was used to fix problems caused by missing posterior teeth and a deep bite, which made traditional pre-surgery orthodontic treatment impractical. A 34-year-old woman had facial asymmetry, bite issues, and trouble chewing due to a misaligned jaw. X-rays showed the problem, confirming that orthognathic surgery was needed. Planning for the surgery involved moving the upper jaw forward and the lower jaw backward, using specific bone-cutting techniques. The surgery, done with the patient under general anesthesia, went well. Orthodontic brackets were added during surgery which was aided by an orthodontist to make follow-up orthodontic treatment easier. The patient recovered uneventfully and saw improvements in how her face looked, how her teeth fit together, and how well she could chew. Later, more orthodontic work fine-tuned her bite, making sure the changes lasted and kept her satisfied. This case shows how combining orthodontics with the surgery-first method can be successful in orthognathic surgery. It brings benefits like shorter treatment times and immediate improvements in appearance. Our results match other recent studies that also found good outcomes with the surgery-first approach and quicker recovery times. While more research is needed, our case adds to the evidence that SFA can lead to successful orthognathic surgery results.</p>","PeriodicalId":23736,"journal":{"name":"World Journal of Plastic Surgery","volume":"13 3","pages":"96-103"},"PeriodicalIF":1.0000,"publicationDate":"2024-01-01","publicationTypes":"Journal Article","fieldsOfStudy":null,"isOpenAccess":false,"openAccessPdf":"https://www.ncbi.nlm.nih.gov/pmc/articles/PMC11629759/pdf/","citationCount":"0","resultStr":null,"platform":"Semanticscholar","paperid":null,"PeriodicalName":"World Journal of Plastic Surgery","FirstCategoryId":"1085","ListUrlMain":"https://doi.org/10.61186/wjps.13.3.96","RegionNum":0,"RegionCategory":null,"ArticlePicture":[],"TitleCN":null,"AbstractTextCN":null,"PMCID":null,"EPubDate":"","PubModel":"","JCR":"Q3","JCRName":"SURGERY","Score":null,"Total":0}
引用次数: 0

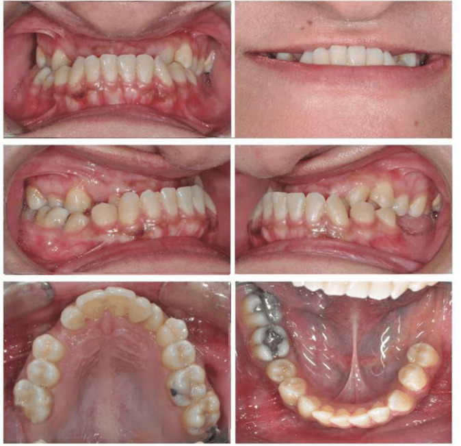
Abstract

The surgery-first approach (SFA) is gaining popularity in orthognathic surgery because it makes treatment duration shorter and more satisfying for patients. However, its effectiveness in complex cases isn't fully understood. Here, we describe a rare case where SFA was used to fix problems caused by missing posterior teeth and a deep bite, which made traditional pre-surgery orthodontic treatment impractical. A 34-year-old woman had facial asymmetry, bite issues, and trouble chewing due to a misaligned jaw. X-rays showed the problem, confirming that orthognathic surgery was needed. Planning for the surgery involved moving the upper jaw forward and the lower jaw backward, using specific bone-cutting techniques. The surgery, done with the patient under general anesthesia, went well. Orthodontic brackets were added during surgery which was aided by an orthodontist to make follow-up orthodontic treatment easier. The patient recovered uneventfully and saw improvements in how her face looked, how her teeth fit together, and how well she could chew. Later, more orthodontic work fine-tuned her bite, making sure the changes lasted and kept her satisfied. This case shows how combining orthodontics with the surgery-first method can be successful in orthognathic surgery. It brings benefits like shorter treatment times and immediate improvements in appearance. Our results match other recent studies that also found good outcomes with the surgery-first approach and quicker recovery times. While more research is needed, our case adds to the evidence that SFA can lead to successful orthognathic surgery results.

Abstract Image

Abstract Image

Abstract Image

手术优先治疗严重骨骼III类错颌合1例。
手术优先的方法(SFA)在正颌手术中越来越受欢迎,因为它使治疗时间更短,患者更满意。然而,它在复杂情况下的有效性尚不完全清楚。在这里,我们描述了一个罕见的病例,SFA用于修复后牙缺失和深咬引起的问题,这使得传统的术前正畸治疗变得不切实际。一名34岁的女性,由于下颌错位,患有面部不对称、咬伤问题和咀嚼困难。x光显示了这个问题,证实了需要进行正颌手术。手术计划包括使用特定的切骨技术将上颚向前移动,下颚向后移动。手术在病人全身麻醉的情况下进行得很顺利。在手术过程中加入正畸托架,在正畸医生的帮助下,使后续的正畸治疗更容易。病人平静地康复了,她的脸看起来有了改善,牙齿变得更整齐了,她的咀嚼能力也增强了。后来,她做了更多的矫正工作,使她的咬合更加完美,确保改变持续下去,让她感到满意。本案例展示了如何将正畸与手术优先的方法相结合,在正颌手术中取得成功。它带来的好处包括缩短治疗时间和立即改善外观。我们的结果与最近的其他研究一致,也发现手术优先的方法效果良好,恢复时间更快。虽然需要更多的研究,但我们的病例增加了SFA可以导致成功的正颌手术结果的证据。
本文章由计算机程序翻译,如有差异,请以英文原文为准。
求助全文
约1分钟内获得全文 求助全文
来源期刊
自引率
11.10%
发文量
41
×
引用
GB/T 7714-2015
复制
MLA
复制
APA
复制
导出至
BibTeX EndNote RefMan NoteFirst NoteExpress
×
提示
您的信息不完整,为了账户安全,请先补充。
现在去补充
×
提示
您因"违规操作"
具体请查看互助需知
我知道了
×
提示
确定
请完成安全验证×
copy
已复制链接
快去分享给好友吧!
我知道了
右上角分享
点击右上角分享
0
联系我们:info@booksci.cn Book学术提供免费学术资源搜索服务,方便国内外学者检索中英文文献。致力于提供最便捷和优质的服务体验。 Copyright © 2023 布克学术 All rights reserved.
京ICP备2023020795号-1
ghs 京公网安备 11010802042870号
Book学术文献互助
Book学术文献互助群
群 号:604180095
Book学术官方微信