Fanconi syndrome following administration of oral supplements containing red yeast rice: several months follow-up of three cases.

IF 0.7 Q4 UROLOGY & NEPHROLOGY
CEN Case Reports Pub Date : 2025-06-01 Epub Date: 2024-12-11 DOI:10.1007/s13730-024-00955-2
Reina Matsui-Hosoya, Koji Sato, Motohiro Yagasaki, Hitomi Hirose, Yusuke Fukao, Toshiki Kano, Hiroaki Io, Yusuke Suzuki
{"title":"Fanconi syndrome following administration of oral supplements containing red yeast rice: several months follow-up of three cases.","authors":"Reina Matsui-Hosoya, Koji Sato, Motohiro Yagasaki, Hitomi Hirose, Yusuke Fukao, Toshiki Kano, Hiroaki Io, Yusuke Suzuki","doi":"10.1007/s13730-024-00955-2","DOIUrl":null,"url":null,"abstract":"<p><p>To date, the treatment strategy and long-term prognosis of acute kidney injury (AKI) after taking Benikoji CholesteHelp<sup>®</sup>, a red yeast rice supplement, remains unclear. We present three cases wherein renal dysfunction improved within a few months of supplement discontinuation, without immunosuppressive therapy. Case 1: A 59-year-old woman with a history of hypertension, treated with telmisartan (serum creatinine [sCr]: 0.65 mg/dL; estimated glomerular filtration rate [eGFR]: 71.3 mL/min/1.73 m<sup>2</sup>) and Benikoji CholesteHelp<sup>®</sup> for 7 months, developed Fanconi syndrome (FS) and severe renal impairment (sCr: 2.32 mg/dL; eGFR: 17.7 mL/min/1.73 m<sup>2</sup>). Renal biopsy and gallium-67 scintigraphy revealed no active drug-induced interstitial nephritis. Her condition improved significantly after supplement discontinuation. Her renal function gradually improved, with 3-month follow-up sCr and eGFR values of 0.96 mg/dL and 46.5 mL/min/1.73 m<sup>2</sup>, respectively; however, these were still worse than the pre-onset values. Case 2: A 48-year-old man had mild renal dysfunction (sCr: 1.12 mg/dL; eGFR: 56.76 mL/min/1.73 m<sup>2</sup>) after taking Benikoji CholesteHelp<sup>®</sup> for approximately 2 years; this was reversed upon supplement discontinuation. Case 3: A 47-year-old man with FS and mild renal dysfunction (sCr: 1.09 mg/dL; eGFR: 58.5 mL/min/1.73 m<sup>2</sup>) after taking Benikoji CholesteHelp<sup>®</sup> for approximately 4 months, showed notable improvement in FS after supplement discontinuation; however, the mild renal dysfunction persisted. The primary intervention in all cases was immediate supplement discontinuation, leading to rapid improvement in renal function, without need for immunosuppressive therapy. These findings increase our understanding of renal impairment caused by red yeast rice, with improvement after withdrawal, sometimes after several months.</p>","PeriodicalId":9697,"journal":{"name":"CEN Case Reports","volume":" ","pages":"468-476"},"PeriodicalIF":0.7000,"publicationDate":"2025-06-01","publicationTypes":"Journal Article","fieldsOfStudy":null,"isOpenAccess":false,"openAccessPdf":"https://www.ncbi.nlm.nih.gov/pmc/articles/PMC12126388/pdf/","citationCount":"0","resultStr":null,"platform":"Semanticscholar","paperid":null,"PeriodicalName":"CEN Case Reports","FirstCategoryId":"1085","ListUrlMain":"https://doi.org/10.1007/s13730-024-00955-2","RegionNum":0,"RegionCategory":null,"ArticlePicture":[],"TitleCN":null,"AbstractTextCN":null,"PMCID":null,"EPubDate":"2024/12/11 0:00:00","PubModel":"Epub","JCR":"Q4","JCRName":"UROLOGY & NEPHROLOGY","Score":null,"Total":0}
引用次数: 0

Abstract

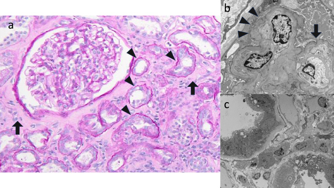
To date, the treatment strategy and long-term prognosis of acute kidney injury (AKI) after taking Benikoji CholesteHelp®, a red yeast rice supplement, remains unclear. We present three cases wherein renal dysfunction improved within a few months of supplement discontinuation, without immunosuppressive therapy. Case 1: A 59-year-old woman with a history of hypertension, treated with telmisartan (serum creatinine [sCr]: 0.65 mg/dL; estimated glomerular filtration rate [eGFR]: 71.3 mL/min/1.73 m2) and Benikoji CholesteHelp® for 7 months, developed Fanconi syndrome (FS) and severe renal impairment (sCr: 2.32 mg/dL; eGFR: 17.7 mL/min/1.73 m2). Renal biopsy and gallium-67 scintigraphy revealed no active drug-induced interstitial nephritis. Her condition improved significantly after supplement discontinuation. Her renal function gradually improved, with 3-month follow-up sCr and eGFR values of 0.96 mg/dL and 46.5 mL/min/1.73 m2, respectively; however, these were still worse than the pre-onset values. Case 2: A 48-year-old man had mild renal dysfunction (sCr: 1.12 mg/dL; eGFR: 56.76 mL/min/1.73 m2) after taking Benikoji CholesteHelp® for approximately 2 years; this was reversed upon supplement discontinuation. Case 3: A 47-year-old man with FS and mild renal dysfunction (sCr: 1.09 mg/dL; eGFR: 58.5 mL/min/1.73 m2) after taking Benikoji CholesteHelp® for approximately 4 months, showed notable improvement in FS after supplement discontinuation; however, the mild renal dysfunction persisted. The primary intervention in all cases was immediate supplement discontinuation, leading to rapid improvement in renal function, without need for immunosuppressive therapy. These findings increase our understanding of renal impairment caused by red yeast rice, with improvement after withdrawal, sometimes after several months.

Abstract Image

Abstract Image

Abstract Image

服用含红曲米的口服补品后的范可尼综合征:三个病例的数月随访。
迄今为止,服用红曲米补充剂Benikoji CholesteHelp®后急性肾损伤(AKI)的治疗策略和长期预后仍不清楚。我们提出三个病例,其中肾功能障碍改善几个月内补充停止,没有免疫抑制治疗。病例1:59岁女性,有高血压病史,用替米沙坦治疗(血清肌酐[sCr]: 0.65 mg/dL;估计肾小球滤过率[eGFR]: 71.3 mL/min/1.73 m2)和Benikoji CholesteHelp®治疗7个月,出现范可尼综合征(FS)和严重肾功能损害(sCr: 2.32 mg/dL;eGFR: 17.7 mL/min/1.73 m2)。肾活检和镓-67显像未见活动性药物性间质性肾炎。停药后病情明显好转。肾功能逐渐改善,随访3个月sCr和eGFR分别为0.96 mg/dL和46.5 mL/min/1.73 m2;然而,这些仍然比发病前的值更差。病例2:48岁男性轻度肾功能不全(sCr: 1.12 mg/dL;服用Benikoji CholesteHelp®约2年后,eGFR: 56.76 mL/min/1.73 m2);这种情况在停用补品后发生逆转。病例3:47岁男性,FS合并轻度肾功能不全(sCr: 1.09 mg/dL;eGFR: 58.5 mL/min/1.73 m2),服用Benikoji CholesteHelp®约4个月后,FS有显著改善;然而,轻度肾功能不全持续存在。所有病例的主要干预措施是立即停止补充,导致肾功能迅速改善,不需要免疫抑制治疗。这些发现增加了我们对红曲米引起的肾脏损害的理解,在停药后有所改善,有时在几个月后。
本文章由计算机程序翻译,如有差异,请以英文原文为准。
求助全文
约1分钟内获得全文 求助全文
来源期刊
CEN Case Reports
CEN Case Reports UROLOGY & NEPHROLOGY-
CiteScore
1.90
自引率
0.00%
发文量
80
期刊介绍: Clinical and Experimental Nephrology (CEN) Case Reports is a peer-reviewed online-only journal, officially published biannually by the Japanese Society of Nephrology (JSN).  The journal publishes original case reports in nephrology and related areas.  The purpose of CEN Case Reports is to provide clinicians and researchers with a forum in which to disseminate their personal experience to a wide readership and to review interesting cases encountered by colleagues all over the world, from whom contributions are welcomed.
×
引用
GB/T 7714-2015
复制
MLA
复制
APA
复制
导出至
BibTeX EndNote RefMan NoteFirst NoteExpress
×
提示
您的信息不完整,为了账户安全,请先补充。
现在去补充
×
提示
您因"违规操作"
具体请查看互助需知
我知道了
×
提示
确定
请完成安全验证×
copy
已复制链接
快去分享给好友吧!
我知道了
右上角分享
点击右上角分享
0
联系我们:info@booksci.cn Book学术提供免费学术资源搜索服务,方便国内外学者检索中英文文献。致力于提供最便捷和优质的服务体验。 Copyright © 2023 布克学术 All rights reserved.
京ICP备2023020795号-1
ghs 京公网安备 11010802042870号
Book学术文献互助
Book学术文献互助群
群 号:604180095
Book学术官方微信