Bilateral spontaneous pneumothorax in a patient with rheumatoid arthritis and accelerated nodulosis.

IF 3.4 Q2 RESPIRATORY SYSTEM
Breathe Pub Date : 2024-12-10 eCollection Date: 2024-10-01 DOI:10.1183/20734735.0083-2024
Roshini Kurian, Sajeel Ahmed, Avinash Aujayeb, Ben Thompson
{"title":"Bilateral spontaneous pneumothorax in a patient with rheumatoid arthritis and accelerated nodulosis.","authors":"Roshini Kurian, Sajeel Ahmed, Avinash Aujayeb, Ben Thompson","doi":"10.1183/20734735.0083-2024","DOIUrl":null,"url":null,"abstract":"<p><p><b>One of the respiratory complications of rheumatoid arthritis (RA) is formation of lung nodules, which can rupture to cause pneumothoraces. We present a case of recurrent pneumothoraces due to accelerated RA nodulosis, secondary to biologic therapy.</b> https://bit.ly/3WBhgOe.</p>","PeriodicalId":9292,"journal":{"name":"Breathe","volume":"20 3","pages":"240083"},"PeriodicalIF":3.4000,"publicationDate":"2024-12-10","publicationTypes":"Journal Article","fieldsOfStudy":null,"isOpenAccess":false,"openAccessPdf":"https://www.ncbi.nlm.nih.gov/pmc/articles/PMC11629170/pdf/","citationCount":"0","resultStr":null,"platform":"Semanticscholar","paperid":null,"PeriodicalName":"Breathe","FirstCategoryId":"1085","ListUrlMain":"https://doi.org/10.1183/20734735.0083-2024","RegionNum":0,"RegionCategory":null,"ArticlePicture":[],"TitleCN":null,"AbstractTextCN":null,"PMCID":null,"EPubDate":"2024/10/1 0:00:00","PubModel":"eCollection","JCR":"Q2","JCRName":"RESPIRATORY SYSTEM","Score":null,"Total":0}
引用次数: 0

Abstract

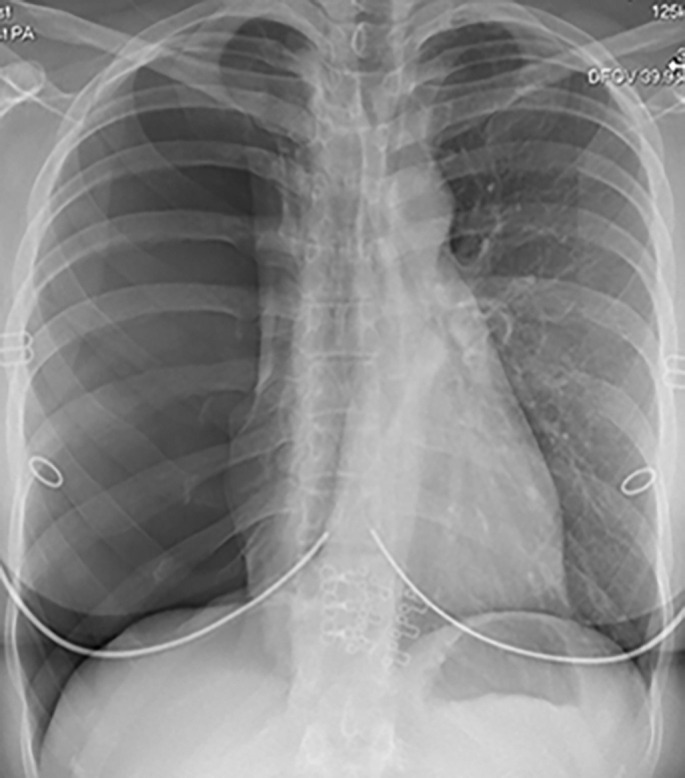
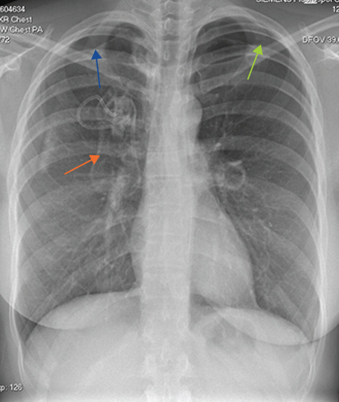
One of the respiratory complications of rheumatoid arthritis (RA) is formation of lung nodules, which can rupture to cause pneumothoraces. We present a case of recurrent pneumothoraces due to accelerated RA nodulosis, secondary to biologic therapy. https://bit.ly/3WBhgOe.

Abstract Image

Abstract Image

Abstract Image

双侧自发性气胸合并类风湿关节炎及加速结节。
类风湿性关节炎(RA)的呼吸道并发症之一是肺结节的形成,肺结节破裂可引起气胸。我们提出一个病例复发气胸由于加速类风湿关节炎结节,继发于生物治疗。https://bit.ly/3WBhgOe。
本文章由计算机程序翻译,如有差异,请以英文原文为准。
求助全文
约1分钟内获得全文 求助全文
来源期刊
Breathe
Breathe RESPIRATORY SYSTEM-
CiteScore
2.90
自引率
5.00%
发文量
51
审稿时长
12 weeks
×
引用
GB/T 7714-2015
复制
MLA
复制
APA
复制
导出至
BibTeX EndNote RefMan NoteFirst NoteExpress
×
提示
您的信息不完整,为了账户安全,请先补充。
现在去补充
×
提示
您因"违规操作"
具体请查看互助需知
我知道了
×
提示
确定
请完成安全验证×
copy
已复制链接
快去分享给好友吧!
我知道了
右上角分享
点击右上角分享
0
联系我们:info@booksci.cn Book学术提供免费学术资源搜索服务,方便国内外学者检索中英文文献。致力于提供最便捷和优质的服务体验。 Copyright © 2023 布克学术 All rights reserved.
京ICP备2023020795号-1
ghs 京公网安备 11010802042870号
Book学术文献互助
Book学术文献互助群
群 号:604180095
Book学术官方微信